[Ответить в тред] Ответить в тред


<<
Назад | Вниз | Обновить тред | Автообновление
192 | 15 | 54

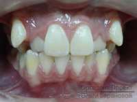
Брекеты Аноним 08/08/18 Срд 20:31:59  2287526  
4ED2E87B-0D52-4[...].jpeg (11Кб, 318x159)
Сисы, запилите стори про то, как носили сабж. Сколько по времени? Стоит ли их носить, если у меня неправильный прикус?
Аноним 08/08/18 Срд 22:50:25  2287666
Носила год, норм. Да, стоит, конечно. Прикус охуеть как влияет на эстетику лица. Бывает, что человек всратенький, но сразу и не понятно из-за чего. А потом фиксит соотношение челюстей, и становится симпатичнее. Алсо, могу поотвечать на вопросы про это, я стоматолог_иня.
Аноним 09/08/18 Чтв 00:31:10  2287750
>>2287666
А если у меня челюсть нижняя массивная, то после исправления прикуса лицо вообще лопатой будет?
Аноним 09/08/18 Чтв 01:03:04  2287755
>>2287666
Скажи, пожалуйста, как поступают, если на нижней челюсти не хватает одного зуба (5 или 6),ставят брекеты на две половинки челюсти или каким образом? Имплант вначале поставить не могу, зуб со временем сдвинулся, там теперь не одна дырочка, а две маленьких.
Алсо, лезет 8,ей мало места, может ли она сдвинуть зубы так, чтобы не пришлось ставить имплант?

Аноним 09/08/18 Чтв 01:16:31  2287759
Вот да, интересно, если лицо квадратное, брекеты на пользу пойдут или наоборот? Нижние зубы забором
Аноним 09/08/18 Чтв 02:26:46  2287778
Ношу сейчас, тянула с этим делом около 10 лет((
Врач рекомендовал удалить все 8-ки, они не особо участвуют в процессе жевания но не у всех так. У меня отсутствует 5 зуб на нижней челюсти, туда в конце лечения буду ставить имплант. Предположительное время лечения 1,5 года.
Аноним 09/08/18 Чтв 02:52:24  2287781
>>2287750
Чтобы дать ответ мне надо знать, какой у тебя прикус сейчас. Алсо, массивная челюсть в твоём случае это выдающаяся вперёд? Уточни или прикрепи фото.
Аноним 09/08/18 Чтв 03:02:48  2287782
>>2287755
На всю челюсть целиком. В процессе ортодонтического лечения создаётся место для импланта, грубо говоря поехавшие соседи потерянного вернутся на место, а после всего ставят имплант.

Насчёт восьмёрки: да, может. Но не советую на это полагаться.
Аноним 09/08/18 Чтв 03:05:07  2287783
>>2287755
Кстати, уточни пятый или шестой
Аноним 09/08/18 Чтв 03:08:11  2287784
>>2287781
Была у ортодонта, у меня довольно крупный подбородок, врач сказал что если будем исправлять прикус, то НЧ выдвинется вперед, соответственно нижняя часть будет еще массивнее выглядеть. Мне это категорически не нравится, он сказал что можно исправить кривые зубы, а прикус останется прежним.
Другая тян
Аноним 09/08/18 Чтв 03:29:19  2287785
145530884619125[...].jpg (27Кб, 604x355)
>>2287781
Прикус глубокий, верхний ряд зубов перекрывает нижний.
>массивная челюсть в твоём случае это выдающаяся вперёд?
Нет, никуда не выдаётся. Своё фото не прикреплю, но она просто большая и квадратная. Как у Николая Баскова.

Боюсь, что в итоге буду выглядеть, как пикрил.
Аноним 09/08/18 Чтв 03:41:40  2287786
>>2287784
А можно одно отдельно от другого фиксить?
Я вот была однажды у ортодонта, и она сказала, что мне брекеты главным образом из-за прикуса нужны, а не кривозубия, так как нижние резцы сточены из-за этого и будут продолжать стачиваться. Но это было несколько лет назад, когда я насчёт своей лопаты не комплексовала, поэтому никаких таких вопросов не задавала.
Аноним 09/08/18 Чтв 03:52:21  2287787
>>2287784
А, дистальщицы значит. Да, можно просто сформировать ровные зубные ряды, а прикус оставить патологический, но тут подводные камни в отдаленной перспективе. Соль в том, что при создании множественных фиссурно-бугорковых контактов (это значит полностью фиксить прикус) результат перемещения получается более стойкий, жевать комфортнее. Алсо, если вторгаться в это все, но не привести к здоровому прикусу, внчс может охуеть, но в клинике вам этого не скажут. Я такой подход не одобряю по многим причинам. Сначала функция, потом эстетика.
Аноним 09/08/18 Чтв 03:54:58  2287788
>>2287785
Так, не увидела это сообщение. Да, нижняя треть лица станет длиннее, если фиксить глубокий прикус. Увы.
Аноним 09/08/18 Чтв 04:11:19  2287789
>>2287786
Да, часть докторов может отдельно «кривозубие» полечить, а прикус оставить. Получается, что зубные ряды становятся ровными, а прикус тот же патологический, что и был. И в чем смысл, спрашивается? Да, пациент по незнанию может такое просить или требовать, но годный ортодонт на такое не пойдет, потому что, повторюсь: функция > эстетика. Так что твоя ортодонт_есса правильно говорила.
Аноним 09/08/18 Чтв 04:16:01  2287790
>>2287787
Мне уже почти 30, мои перспективы уже давно в жопе) Раньше не жаловалась на прикус, все вроде смыкается хорошо, зазор не очень большой. Не знаю как поступить. Я уже привыкла к своему профилю, а тут менять эстетику лица и делать ее хуже.. Какие самые страшные подводные меня ожидают в таком случае?
Аноним 09/08/18 Чтв 04:29:06  2287791
О боги, доктор в треде. Умоляю скажи, брекетам на ВЧ 2 недели, замки стоят на 6 почему-то и с одной стороны, эта 6-ка при смыкании и жевании иногда как-бы хрустит где-то внутри, а иногда побаливает. Мне бежать к врачу в срочном порядке (просто он принимает только 1 раз в неделю, а началось все пару дней назад), или все в пределах нормы?
Аноним 09/08/18 Чтв 04:49:45  2287792
Испортится ли здоровье, если не поставить брекеты?
Прикус неправильный (дистальный), зубы умеренно кривые. Но читала вроде даже тут когда-то, как здоровье по пизде шло наоборот после брекетов. Да и если честно, не привлекает то, что во время носки брекетов вероятность кариеса сильно повышается из-за трудности чистки, а еще то, что потом надо будет, возможно, всю жизнь носить ретейнер или капу, чтобы обратно не разъехались (это же пиздос геморно). Не говорю уж о мелких трудностях типа боль из-за натирания железкой неба.
Аноним 09/08/18 Чтв 04:49:56  2287793
>>2287788
Ок, спасибо за ответы.

Ааа, нахуй так жить, пиздец. Или зубы сточатся до конца и жрать не смогу, или ещё уродливее стану. А из говна не вылезу в любом случае
Аноним 09/08/18 Чтв 04:55:01  2287794
>>2287793
Поддакиваю тебе своим огромным подбородком.
Аноним 09/08/18 Чтв 09:51:28  2287837
>>2287785
кек, сис, у меня наоборот все, подбородок сейчас милипиздрический и очертаний челюсти не видно из-за щек, а когда двинаю нижнюю челюсть вперед перед зеркалом и начинаю выглядеть чуть менее пидорашкой - радуюсь, для фоток еще так делаю.
Я совсем ебанулась, да?
Аноним 09/08/18 Чтв 10:01:57  2287838
>>2287790
Самое неприятное: дисфункция внчс, перенапряжение жевательных мышц. Как следствие, могут мигрени на этой почве возникнуть. Но это если глубоко копать, чаще при таком раскладе зубы просто возвращаются на свои места через несколько лет. Чтобы такой хуйни не допустить, ночное ношение капы могут и пожизненно назначить не каждый день, не пугайся. Нужно будет очень ответственно подойти к рекомендациям после лечения.
Аноним 09/08/18 Чтв 10:06:20  2287839
>>2287791
Да, это нормально, зубы же двигаются. Боль это ок, и хруст чуть-чуть может быть.
Аноним 09/08/18 Чтв 10:07:09  2287840
>>2287837
>а когда двинаю нижнюю челюсть вперед
Всегда так делаю когда выхожу из дома
Аноним 09/08/18 Чтв 10:17:28  2287844
>>2287837

Ты не ебанулась, в стоматологии этот приём называется диагностическая проба Эшлера Битнера. Алсо, на стомфаке дружила с девочкой-дистальщицей, она тоже так делала для фото, хех.
Аноним 09/08/18 Чтв 10:20:21  2287845
Правда ли, что в большинстве случаев после носки зубы идут по пизде? Кариес, камень и все такое. Имею в виду, если соблюдать гигиену, но не щепетильно и супер тщательно, а просто НОРМАЛЬНО.
Аноним 09/08/18 Чтв 10:20:27  2287846
>>2287844
Ты врачиня? Если ятебе скину фото своего подбородка, ты скажешь, что брекеты смогут с ним сделать?
Аноним 09/08/18 Чтв 10:33:02  2287851
>>2287792
Высок риск развития гингивита и пародонтита, как следствие. Во-первых, из-за неравномерной нагрузки на зубы при жевании. Во-вторых, при неправильном положении зубов (повороты, скученность) образуются дополнительные ретенционные пункты для налета, в котором размножаются пародонтопатогены.
Алсо, сустав никогда не щелкал?

Риск развития кариеса высок, когда пациент забивает хуй на рекомендации орта по чистке.
Аноним 09/08/18 Чтв 10:48:36  2287856
>>2287845
Если в твоём представлении НОРМАЛЬНО = чистка v-образной щеткой и ершиками после каждого приема пищи, то все будет хорошо.
Есть ещё индивидуальные особенности: я не всегда чистила, когда питалась вне дома, и проблем не возникло, потому что у меня эмаль резистентная.
Аноним 09/08/18 Чтв 11:07:32  2287865
Ношу брекеты уже второй год. Удалили 4 зуба мудрости и спереди все четыре четверки (вроде так называется, ну короче которые сразу за клыками идут)

И я начала замечать что лицо будто бы опустилось вниз, носогубки стали более выраженны, будто бы начал активно развиваться птоз лица.

Удаление и брекеты могут быть этому причиной? Может кто сталкивался.
Аноним 09/08/18 Чтв 11:19:10  2287875
Ношу брекеты год с небольшим.
Как же я рада, что мне их поставили.
Перед этим мне удаляли 4 зуба мудрости из десны. Приходилось колоть антибиотики и несколько дней дома отлеживаться, терпеть отеки, жуткую боль и невозможность широко рот открыть. Но это того стоило. Уже на полпути зубы просто ОХУЕННЫЕ если сравнивать с тем что было. Однако жаль что мой всратый подбородок это не исправит и я буду всю жизнь похожа на черепаху
Аноним 09/08/18 Чтв 11:19:58  2287876
Почему некоторые носят брекеты несколько лет? Норма же 1,5 года
Аноним 09/08/18 Чтв 11:22:52  2287877
>>2287876
Зависит от сложности того что сделать надо, плюс подвижность зубов. И наверное еще куча факторов, о которых знают стоматологи
Аноним 09/08/18 Чтв 11:29:50  2287880
>>2287865
Какой у тебя диагноз до лечения был?
Аноним 09/08/18 Чтв 11:36:13  2287881
klyki07.jpg (201Кб, 640x480)
>>2287880
Никакого диагноза - у меня была ситуация как на пикче
Аноним 09/08/18 Чтв 11:52:44  2287891
А исправление прикуса сколько времени занимает? Что используют, чтобы после челюсть обратно не уползла
Аноним 09/08/18 Чтв 11:55:55  2287893
>>2287666
Сначала имплант ставить, а потом брекеты?
Аноним 09/08/18 Чтв 12:07:55  2287904
>>2287893
Нет, наоборот.
Аноним 09/08/18 Чтв 22:31:29  2288349
>>2287666
сотонинский трипл
Исправляю глубокий прикус. Ортондонт_ка сразу предупредила, что всё со временем может вернуться. Каковы шансы?
Аноним 09/08/18 Чтв 22:42:32  2288360
>>2287893
Мне так предстоит, потому что корень зуба разрушается прямо в десне и 2-3 года брекетов он не выдержит, выдирать надо сейчас, но вообще конечно это не правильно. Сначала брекеты, потом имплант.
И прикус всратый править бонусом. Как въебать в стоматологию несколько сотен тыщ рублей и охуевать, что 2 пластические операции стоили дешевле, чем вот это все.
Аноним 09/08/18 Чтв 23:17:21  2288401
Зубы смыкаются только спереди, это можно пофиксить брекетами? Сколько стоит вообще поставить самые дешёвые брекеты? Правда, что стоматолог доебется и не будет ничего ставить, пока я все остальные проблемы с зубами не исправлю?
Аноним 09/08/18 Чтв 23:34:14  2288415
>>2288349
Если как следует займешься осанкой, то вполне небольшие
Аноним 09/08/18 Чтв 23:36:44  2288418
>>2288401
Правда, потому что брекеты - тоже своеобразный пиздец зубам. Ну и не полечишь с ними нормально, ежедневный уход усложняется, такими темпами за 2 года можно и до пульпита маленькую дырочку отрастить.
Аноним 09/08/18 Чтв 23:54:35  2288432
>>2287526 (OP)
Носила около 3 лет. Не столько из-за эстетики, сколько из-за того, что задний ряд был смещен, зубы стирали друг друга, это могло с возрастом привести к их саморазрушению.
В процессе исправления и после кариеса не было, хотя до этого мучилась постоянно.
Как бонус, мне кажется, овал лица в целом стал лучше (уже не лошадиный). Но один хуй центровая линия сейчас смещена примерно на 2 мм, хоть и смыкаются правильно. Когда появятся свободные деньги, поставлю брекеты снова.
Аноним 10/08/18 Птн 00:38:27  2288456
>>2287891
Зависит от степени тяжести.

Зубные ряды удерживают от смещения несъёмным ретейнером (тонкая дуга, которая наклеивается на язычную/небную сторону зубов) и съемной капой, которую надевают на ночь: сначала каждый день, потом через день и т.д. Чем ты старше, тем выше вероятность, что капу раз в неделю придётся надевать до конца дней. Естественно, она изнашивается, и по мере необходимости нужно будет заказывать новую.

Обычно кроме этого прикус никак не фиксируется. Если ты о новом положении челюстей относительно друг друга, то в процессе лечения постепенно формируется новый стереотип движения челюсти. Для этого есть межчелюстные тяги, всякие крутые приблуды к брекетам типа distal jet и jasper jumper (погугли). Но чаще просто тяги резинки. В них пациент двигает челюстями правильно, и после снятия брекетов это продолжается по привычке.
Аноним 10/08/18 Птн 00:50:50  2288463
>>2288401
Ортодонт такое пофиксит.
По ценам не скажу, потому что в разных городах варьируют.
Да, нужно санировать полость рта, лечить все зубы, это обязательное условие. Ещё важен уровень гигиены. Выражаясь просто, появится много новых пространств для оседания налёта. И если чухан_есса, это чревато как очевидным кариесом, так и гингивитом.
Аноним 10/08/18 Птн 18:46:01  2289026
>>2287851
Парандонтит уже есть
Сустав не щелкал.
Ну слушай, там такие рекомендации, что невозможно все соблюдать. Постоянно с собой таскать, щетки, уверена что вне дома не смогу каждый раз после еды все идеально очищать, тем более у меня скученность же..
Разве что перейти на питание четко 2 раза в день без перекусов
Аноним 10/08/18 Птн 18:53:05  2289033
>>2288432
Cтавить еще раз брекеты ради 2 мм? Или эти 2 мм вредят зубами?
Аноним 10/08/18 Птн 18:53:20  2289034
>>2287851
У меня сустав щелкает и болит пиздос и 7-ки не в дуге вообще, а сбоку и перепрорезаны, потому что в челюсти места нету. И это я носила брекеты в 13 лет))
Теперь хуй знает че делать. Ортодонты все разное говорят.
Аноним 10/08/18 Птн 18:54:05  2289037
>>2289034
А, ну и смыкаются зубы у меня вообще через хуй колоду, как-то боком, криво, не по центру, хз.
Аноним 10/08/18 Птн 22:13:49  2289232
>>2287851
У меня щелкает челюсть, прям в районе ушей. Что это значит? Ничего не болит. Связываю это с ростом зубов мудрости (растут оч медленно уже несколько лет, с тех пор и щелкаю).
Аноним 10/08/18 Птн 22:40:31  2289253
>>2289232
Дисфункцию внчс это значит. Может стать хуже, как у меня, а может и так же останется. Само не пройдет.
Аноним 10/08/18 Птн 22:54:34  2289260
>>2287526 (OP)
Носить стоит. Мимо кун, снявший брекеты неделю назад. Оставляй дискорд, если хчоешь спросить вопросы.
Аноним 10/08/18 Птн 22:55:44  2289261
>>2287755
>не хватает одного зуба (5 или 6)
Да. Как раз закроют промежуток теми зубами что остались.
Аноним 10/08/18 Птн 23:01:58  2289268
>>2289037
>>2289034
А спереди все выглядит няшненько и почти идеально ровно, я ебала.
Аноним 10/08/18 Птн 23:35:42  2289293
>>2289253
Перешли свою историю, плиз
Аноним 11/08/18 Суб 15:02:22  2289878
Каких последствий от ношения брекетов ожидать в старости? Не выйдет ли так, что за счёт удаления зубов, смены их положения, ты останешься без них раньше времени? Или наоборот отложишь носку съёмной челюсти или установку имплантов?
Аноним 11/08/18 Суб 17:06:04  2290039
>>2289878
Большую роль играет генетика, уход, своевременные походы к стоматологу. Если был исправлен прикус до стачивания зубов, то срок их службы конечно же возрастает. Очень важно, какая ситуация была до начала ортодонтии.
Аноним 11/08/18 Суб 17:25:36  2290054
Много где встречала мнение, что брекеты гроб гроб кладбище -дорого, больно, долго, может стать только хуже. И что если с зубами не очень явный пиздец, лучше оставить как есть. Пожалуйста, поясните, это так? Или проблемы с прикусом в любой степени ОБЯЗАТЕЛЬНО надо фиксить, а то будет все хуже и хуже?
Аноним 11/08/18 Суб 17:37:27  2290075
>>2290054
Ты же понимаешь, что делаешь это для себя. Не тревожит, не ухудшается - не делай.
Аноним 11/08/18 Суб 17:47:33  2290092
>>2290075
Но я же не профессионал, не могу объективно оценить ситуацию
Аноним 11/08/18 Суб 17:51:37  2290099
>>2290092
Сходи к 2-3 ортодонтам, сравни результаты.
Аноним 11/08/18 Суб 17:52:13  2290101
>>2290092
А на двачах мы тут все профессионалы, как известно.
Аноним 11/08/18 Суб 17:53:43  2290105
>>2290101
Неведомый доселе консилиум гинекологов-психологов-стоматологов на одном форуме, так сказатб
Аноним 11/08/18 Суб 18:31:32  2290129
>>2289033
Замечаю эти 2 мм даже когда рот закрыт.
Аноним 11/08/18 Суб 18:32:10  2290130
>>2290092
Ясен хуй. Я о том, мешает ли тебе прикус жевать, испытываешь ли ты дискомфорт со стороны сустава, есть ли косметический дефект. Это я имела в виду под "тревожит"
Аноним 11/08/18 Суб 19:18:54  2290172
>>2290130
Я просто думала, что вне зависимости от того, насколько субъективное беспокойство мне это доставляет, надо ставить обязательно, чтобы предотвратить стираемость и неправильную нагрузку
Аноним 11/08/18 Суб 19:29:58  2290180
просто пизда, носила полтора или два года когда лет 17-18 было - а нахуя?
у меня короче не вырос и не сформировался зуб дальний типа пятёрки и мне поставила их мать перед псевдоимплантацией хотя я была против и в итоге не сделала, чтобы выровнять лыбу
пиздец, всю эмаль стерла, щёки изнутри в рубцах, блядь, а главное в итоге почти всё вернулось на круги своя потому что изначально у меня был плюс-минус нормальный прикус
а эти ежемесячные подтягивания дуги! мммммм!
вот уже пять лет прошло, а ощущения до сих пор свежие
Аноним 12/08/18 Вск 10:25:51  2290493
>>2290180
Очень много вопросов к тебе
А ты не думала что вернулось все как раз из-за того, что не сделала имплантацию?
И вообще, если система натирает существует чудо воск, для заклеивания проблемных мест.
Почему похерилась эмаль, тебе ее на супер-клей крепили или снимали пасатижами?
Аноним 12/08/18 Вск 10:47:43  2290509
j7EvQ7gqn5g.jpg (79Кб, 500x500)
Поставила вчера и это пиздец. Ставила из-за щелей между зубами (спасибо деду с его генетикой), что выглядит крайне ущербно. Уже давно привыкла улыбаться без зубов, разговаривать мало, куча комплексов из-за этого и прочее. В общем отличный способ стать ассоциальным хуйлом.
Так вот поставили вчера, у меня какого-то хуя два молочных зуба внизу сидят (23 лвл) и из-за этого на них не ставится замочек, то есть дуга просто идет над этими зубами. Наклеили еще какую-то пасту на 4 нижних зуба, чтобы привыкнуть быстрее или еще для чего, но болит в этом месте просто нереально. То есть зубы сами по себе болят из-за того, что на них идет давление, так еще и снизу стоит какое-то говно, которое так же давит, голова болит.
Приехала домой, захотела поесть и поняла, что есть вообще ничего не могу. Дома была приготовлена курица, попыталась её покусать и ничего не получилось. Сварила кашу рисовую, есть можно, но суууука все застревает везде, стоишь потом у зеркала прочищаешь 10 минут. Надо блендер покупать и всякие пюрехи готовить.
Надеюсь, что полтора года того стоят и я смогу жить как нормальный человек.
Аноним 12/08/18 Вск 11:07:24  2290526
>>2290509
Сис, привыкнешь, тоже носила. Сняли пару месяцев назад. Был прикус и челюсть узкая. Самый пиздец это по ночам ложиться спать. Анрил больно. Только не сжимай сильно при этом челюсть. Могут брекеты отвалиться
Аноним 12/08/18 Вск 11:18:47  2290536
>>2290509
Знакомые ощущения) поздравляю с брекетами. Зубная боль пройдет в течении недели, максимум 1 5. У меня тоже было 2 молочных зуба в 27, на их месте нужна имплантация. Мой тебе совет, лучше мясо не есть, заебешься чистить зубы после этого, все волокна остаются во всех замках, так же не советую есть холодное и всякие продукты которые будут налипать на систему. Блендер тебе не нужен, недельку можно поесть детское питание)
Аноним 12/08/18 Вск 11:42:15  2290561
Сколько стоит пофиксить дистальный прикус?
Аноним 12/08/18 Вск 11:50:28  2290569
>>2290561
Кривизна зубов небольшая, просто нижняя челюсть как бы немного отъезжает назад. И сколько времени займет исправление?
Аноним 12/08/18 Вск 11:56:30  2290576
>>2290569
Практически всегда от 1,5 лет. И цена зависит от города, врача и клиники
Аноним 12/08/18 Вск 12:12:50  2290586
>>2290576
ну +- сколько
больше 30к?
Аноним 12/08/18 Вск 12:15:20  2290588
>>2290586
Ну на две челюсти 100к будет минимумом для дс, например.
Аноним 12/08/18 Вск 12:22:11  2290593
>>2290588
Мне просто нужно чтобы нижняя челюсть немного выдвинулась вперед и все.
Какие еще варианты кроме брекетов возможны?
Аноним 12/08/18 Вск 12:23:14  2290594
>>2290593
Капы могут прописать. Иди к ортодонту, все зависит от твоего конкретного случая и причины твоего прикуса.
Аноним 12/08/18 Вск 12:50:46  2290607
>>2290593
У тебя дистальный прикус, скорее всего, если ты не подросток, то нужны только брекеты. Это дорого, в ДС дешевле 130к сейчас мало клиник. В ДС-2 можно за 100.
Аноним 12/08/18 Вск 12:52:12  2290608
Ирригаторы, кучи щеток и ершиков нужно покупать дополнительно?
Аноним 12/08/18 Вск 13:18:23  2290621
>>2290608
Да.
Аноним 12/08/18 Вск 14:29:59  2290649
>>2290621
Сколько денег на это все уйдет? Ирригатор на али есть и по 400 ручной и по 2к автоматический, большая разница?
Аноним 12/08/18 Вск 14:36:08  2290653
IMG12406.jpg (11Кб, 320x188)
Вот мой подбородок в профиль, смогут ли брекеты как-то улучшить ситуацию?
Аноним 12/08/18 Вск 15:51:52  2290761
>>2290653
Надо делать ТРГ в боковой проекции, тогда будет понятно, возможно помогут аппараты типо Гербста в купе с брекетами офк. А возможно только ЧЛХ
Аноним 12/08/18 Вск 15:54:14  2290767
>>2290649
Ручной довольно муторно заправлять постоянно, если не хочешь тратиться, посмотри стационарный,но дешевый. У меня aquajet, работает хорошо, без нареканий. Резервуара хватает в аккурат на полную чистку.
Аноним 16/08/18 Чтв 16:21:06  2295431
8189672E-57D5-4[...].jpeg (270Кб, 734x1111)
470532DD-B72F-4[...].jpeg (235Кб, 750x1112)
F091D2B1-2E6D-4[...].jpeg (219Кб, 750x1098)
8C6BD5DC-B3D5-4[...].jpeg (249Кб, 750x1082)
Все, кто старше 16-18 лет, если у вас мезиальный/дистальный/глубокий прикус, то брекеты вам не помогут исправить ситуацию. Мне 22, брекеты я носила с 16 до 18 лет, зубы ровные, но прикус остался такой же, верхняя челюсть выдвигается вперед. Очень забавно, что тянка тут пишет, что ей надо просто челюсть нижнюю немного назад. Малышка, это только ЧЛХ может сделать. Каппы/резинки/брекеты - ничего из этого после 16-18 лет не даст тебе полного смыкания зубов, симметричное ебало и тд. Нужна остеотомия челюсти, во многих случаях двойная остеотомия верхней и нижних челюстей. Это тебе порежут обе челюсти и зафиксируют по-новому с попомощью титана, с которым проживешь всю жизнь.

Охуенно такие операции делают заграницей. Например, в Германии или в США. Но это пиздец дорого. 50к в долларах
В РФ тоже такие операции делают часто, но большой риск. Есть два ходовых хирурга: Глушко и Куракин. Последний считается асом и делает эту операцию либо платно от 300-400к, либо БЕСПЛАТНО по квоте, но квоту придется ждать года 3-4.

Я сама об этом не знала, и мама моя не знала, так бы цже давно сходила к челюстно-лицевому хирургу на консультацию уже давно.
Аноним 16/08/18 Чтв 16:25:00  2295434
>>2295431
Ебать там чудовище на первом пике. Еще и цвет лица...
Аноним 16/08/18 Чтв 16:26:01  2295436
A5089C39-DDDD-4[...].jpeg (109Кб, 750x984)
51B0A70B-E221-4[...].jpeg (130Кб, 749x988)
>>2295431
Конкретно этой девочке вырезали обе челюсти, зафиксировали по-новому (верхнюю чуть назад, нижнюю вперед), выдвинули подбородок. Делали ей это по квоте, которые выделяет гос-во на такие операции, потому что неправильный прикус - это в будущем раннее выпадение зубов, их стирание, боли в суставах, мигрени и тд. Если бы это был лишь вопрос эстетики, бесплатно бы такое никто не делал.
Аноним 16/08/18 Чтв 16:26:32  2295438
>>2295431
А если мне 16?
Аноним 16/08/18 Чтв 16:28:08  2295442
>>2295434
Это одна и та же, лол.
Аноним 16/08/18 Чтв 16:28:22  2295444
>>2295436
К какому врачу вообще идти с проблемами с челюстями? Ортопеду-стомтаологу? Гнатологи и ортодонты нихуя не знают, че делать...
Аноним 16/08/18 Чтв 16:28:50  2295446
>>2295438
Многие допускают с 16 на такую операцию, но надо сходить тебе на консультацию. Алсо, ты можешь сейчас как раз начать носить брекеты у ортодонта, к которому направит хирург, а в 18 на операцию, еще и есть шанс что получишь квоту, но у Куракина до конца 2021 мест нет.
Аноним 16/08/18 Чтв 16:28:54  2295447
>>2295442
И че, это отменяет то, что она выглядит, как персонаж из валькин дед?
Аноним 16/08/18 Чтв 16:29:47  2295449
>>2295446
То есть у меня уже нет шансов с брекетами исправить ситуацию?
Аноним 16/08/18 Чтв 16:31:52  2295451
>>2295444
К челюстно-лицевому специалисту же как раз, идешь на прием и он осматривает тебя, решает, как быть дальше. Оба хирурга, которых я упомянула, ведут прием платный и все такое.
Аноним 16/08/18 Чтв 16:34:12  2295458
>>2295451
Они все в дс наверное. А я в своем дс2 сижу...
Аноним 16/08/18 Чтв 16:34:32  2295459
2F18E623-E2B8-4[...].jpeg (179Кб, 718x903)
>>2295449
Ну смотри, сис, про твои шансы лучше у специалста спросить, но посмотри, твоя челюсть похожа на то, что является дистальным или мезиальным прикусом? Тогда скорее всего нет шансов исправить брекетами, нужна операция.
Аноним 16/08/18 Чтв 16:35:41  2295461
>>2295459
>>2290653
Аноним 16/08/18 Чтв 16:38:46  2295468
>>2295458
В спб это Соловьев, Андреищев, например, но я бы к ним не ходила. Куча негативных отзывов. Последнего и вовсе называют денежной мясорубкой. Он многим лица изуродовал, точно как и Набиев из ДС, например. К нашим, в принципе, рискованно идти. У того же Куракина есть неудачные работы. Например, он сделал остеотомию челюстей одной тян, но забыл после операции сказать, что еще ей скулы сделал )))) она узнала об этом позже на его сайте, куда он выложил ее фотку с описанием манипуляций проводимых на лице
Скулы ее лицо портят, и ну пиздец!

Лично мне страшно даже к нему идти, думаю насчет Глушко и параллельно мечтаю, что заработаю на Германию но верится с трудом
Аноним 16/08/18 Чтв 16:39:32  2295470
>>2290653
Сис, непонятно по этой фотке.
Аноним 16/08/18 Чтв 16:40:01  2295473
>>2295468
(((((((((((((((((((((
Аноним 16/08/18 Чтв 16:40:37  2295476
582711E6-7F43-4[...].jpeg (231Кб, 1063x976)
>>2295431
Сис, подскажи, пожалуйста, что лучше делать с подбородком. Хочу нормальный профиль. Присутствует неправильный прикус (не знаю, дистальный или глубокий), от него думаю поставить брекеты, но вряд ли это особо поможет (я пробую сомкнуть зубы «правильно», и все равно подбородок остаётся такой же). Надо идти к этим хирургам?
Аноним 16/08/18 Чтв 16:41:49  2295478
>>2295458
Ну так оторви жопу от стула и доедь до дс за несколько часов, не из Южно-Сахалинска же капчуешь.
Аноним 16/08/18 Чтв 16:43:35  2295481
>>2295478
Ага, денег бы еще кто дал.
Аноним 16/08/18 Чтв 16:44:33  2295483
>>2295476
Ну я так понимаю, у тебя верхняя челюсть чуть выдвинута? Если будут показания к операции, то получишь профиль идеальный свой, потому что это напрямую зависит от того, в каком положении находятся челюсти. Если у тебя дистальный прикус, к сожалению ты не можешь увидеть, как меняется подбородок, если пробуешь правильно сомкнуть. Тебе нижеюю челюсть вперед выдвинут - в профиль почти у всех хирургов красивые работы получаются.
Аноним 16/08/18 Чтв 16:46:37  2295488
>>2295483
А сколько примерно такая операция стоит? И даже если ее делать, все равно надо ставить брекеты? Читала, что для зубов и связок вредно, когда неправильный прикус.
Аноним 16/08/18 Чтв 16:48:46  2295490
85E7AB7C-64CD-4[...].jpeg (205Кб, 750x1051)
>>2295481
Деньги тебе нужны будут в любом случае, перед такой операция в независимости от кривизны зубов удаляют зубы мудрости и ставят брекеты на обе челюсти. Метод surgery first не рассматривается, сначала тебе зубы приводят в порядок, готовят к операции, а потом уже только челюсть режут. Анализы, брекеты, моделирование - все это тебе никто не оплатит. Вопрос ~150к в лучшем случае
Аноним 16/08/18 Чтв 16:53:09  2295498
Мне нужен совет. Дистальный прикус. Не хватает 2 зубов, просто не выросли, из-за чего верхняя челюсть падает на нижнюю. Ортодонт сказал, что брекеты + импланты сделают своё дело. Но тут пишут, что без операции никак, что у меня аж жопа сжалась.
Аноним 16/08/18 Чтв 16:56:58  2295504
>>2295488
Написала же выше, что в РФ у Куракина и Глушко это от 300 до 500к в зависимости от случая. Прибавляешь к этому обязательное ортодонтическое лечение (брекеты), анализы и прочее. Выходит от 450 до 700 в лучшем случае.
Но можно сделать саму операцию по квоте, однако ждать квоту у этих хирургов придется долго, но есть другие хирурги, к которым могут направить, но увы и ах, это уже совсем на свой страх и риск.
Аноним 16/08/18 Чтв 16:57:39  2295505
>>2295481
Ты так пишешь, будто вся проблема в том, что хирурги в ДС сидят, а не в том, что ты нищенка.
Аноним 16/08/18 Чтв 17:01:03  2295510
>>2295504
О, спасибо за цифры. Рассчитывала на 400к примерно исправить прикус и брекеты, не в ДС в среднем у нас в 1,5-2-2,5 раза дешевле, чем в ДС
Аноним 16/08/18 Чтв 17:01:06  2295511
>>2295504
Спасибо. Дорого, конечно, и главное не факт, что после этого буду собой довольна, эх. Пока деньги только на брекеты есть. Имеет ли смысл их ставить, если в будущем мб накоплю на операцию? А то тут написано >>2295490, что все равно перед операцией будут ставить брекеты.
Аноним 16/08/18 Чтв 17:01:07  2295512
448E2F10-C084-4[...].jpeg (144Кб, 750x633)
>>2295498
Странный у тебя ортодонт. Живешь в провинции? Просто я сама в 16 лет тоже не знала о такой операции, и ортодонт моя тоже не говорила тогда.

Слушай, ситуации, конечно, бывают разные, но все ортодонты в дс сходятся во мнении, что такое нельзя исправить альтернативными способами, если только ты не ребенок.
Аноним 16/08/18 Чтв 17:06:53  2295519
>>2295511
Я думаю, что можешь, но просто когда ставят брекеты перед операцией непосредственно обговаривая с хирургом, то он уже дает специальные рекомендации ортодонту, которые помогут потом челюсть правильно зафиксировать. Ты пока подумай, почитай про это, сходи на прием к хирургу просто на будущее, чтобы понимать, че да как.
Аноним 16/08/18 Чтв 17:07:53  2295521
>>2295512
Мне это говорил ортодонт в ДС, отзывы о нем хорошие.
Выраженной патологии, думаю, нет. Оценить развитость своих челюстей не смогу не килька. Просто адентия. Мне кажется, что логично поставить два импланта + брекеты, разве нет?
Аноним 16/08/18 Чтв 17:10:34  2295522
>>2295519
Спасибо большое за помощь. Я бы сама не нашла этих хирургов и не додумалась, что так можно и нужно.
Аноним 16/08/18 Чтв 17:12:08  2295524
9268F2E9-2747-4[...].jpeg (95Кб, 580x584)
>>2295521
Если ты так считаешь и доверяешь своему ортодонту, то пожалуйста. Это же твои деньги, твое лицо, так что я не знаю, что на это можно ответить. На всякий случай я бы рекомендовала тебе попробовать сходить на консультацию если не к хирургу, то к другому ортодонту. Просто чтобы убедиться, что тебе прописали правильный план лечения.
Аноним 16/08/18 Чтв 17:15:18  2295529
>>2295524
>сходить на консультацию если не к хирургу, то к другому ортодонту
Другой предлагал просто удалить 2 зуба сверху, которых внизу не хватает. Но так профиль будет не очень, поэтому лучше больше денег на импланты отдам. А так, да, к другим еще схожу.
Аноним 16/08/18 Чтв 17:18:19  2295531
>>2295529
Ну да, возможно у тебя и нет патологии какой-то, но вот попробуй в мгмсу сходить, например.
Аноним 16/08/18 Чтв 17:50:38  2295588
А восьмерки прям обязательно удалять нужно? А если выросли норм?
Аноним 16/08/18 Чтв 18:03:33  2295617
>>2295512
Ох уж эта Дементьева.. Была у нее на приеме, наслушалась такого... Интересно, у нее вообще образование есть?
Все ее клиенты с простыми случаями, либо с неограниченным запасом денег.
Аноним 16/08/18 Чтв 18:04:40  2295621
>>2295617
Расскажи поподробнее, пожалуйста.
Аноним 16/08/18 Чтв 18:04:55  2295623
>>2295617
Мне она тоже не особо нравится, я выложила сюда скрины именно тяжелых случаев, в которых оперировал Куракин.
Аноним 16/08/18 Чтв 18:05:55  2295626
Кому-нибудь знаком Сергей Романович Суджаев? Очень положительные отзывы в сети. Хотелось бы негатив почитать.
Аноним 16/08/18 Чтв 18:10:30  2295643
>>2295621
Она хотела удалить мне здоровые зубы, вот и вся история. Увидела какие-то страшнейшие патологии и предложила удалить и заменить имплантами. После нее вышла как ошпаренная, другие ортодонты никаких патологий не нашли. Один врач сказал что некоторые врачи с маленьким опытом на КТ получают гипердиагностику. Я думаю это ее случай.
Единственное что ее оправдывает это относительно низкая цена на лечение. НО я бы 20 раз подумала прежде чем лечиться у врача, который работает не в стоматологии, а в клинике красоты(видимо арендует кабинет)
Аноним 16/08/18 Чтв 18:15:52  2295655
>>2295643
Кстати, я так и не поняла, где она работает. Не подскажешь? Гугл криво ведет на клинику "Улыбнись", но на сайте во врачах ее нет.
Еще интересны расценки. Сколько за брекеты она берет? Насколько цена низкая? Если есть всё на сайте этой клиники, то будет замечательно.
Аноним 16/08/18 Чтв 18:17:22  2295659
>>2295655
У нее это очень дорого. Рублей 200к на две челюсти.
Аноним 16/08/18 Чтв 18:23:01  2295665
>>2295431
Пиздец нахуй. Неужели всем показана ЧЛХ вне зависимости от степени хуевости прикуса? Нихуя мне не светит.
Аноним 16/08/18 Чтв 18:24:17  2295666
>>2295655
Видимо она раньше работала в Улыбнись, сейчас арендует кабинет. Мне насчитала 120 в рассрочку на полтора года.(метал) В своем районе метал обошелся в 150, без ретенции. На сайте той клиники где она принимала ее тоже не было. И в случае каких-либо сложностей, ее кроме инстаграма не найти. Не знаю как в других случаях, но конкретно в моем, она оказалась совсем неквалифицированным врачом. Хотя, пациентов у нее много. Если хочешь к ней попасть, пиши ей в директ, у меня данные не сохранились, давно уж это было.Но принимать ее за вышестоящую инстанцию я бы не стала, луше обойти 2-3 ортодонтов еще
Аноним 16/08/18 Чтв 18:29:18  2295672
>>2295666
Спасибо большое за ответы
Аноним 16/08/18 Чтв 18:29:53  2295673
>>2295524
>пик
Тут ещё кости стачивали, наверное?
Аноним 16/08/18 Чтв 18:40:43  2295680
Как вообще детектить хорошего специалиста? Цена на брекеты в ДС пиздец высокие, не хочется отдать их на хуйню и переплатить. Хоть в Киев отправляйся на несколько лет себе зубы делать. Мне так кажется, что нужно осторожно относиться к тем, кто активно ведет инстаграм. Все эти сомнительные онлайн-консультации в чатике... напоминает прям хирурга Нугаева.
Пока стараюсь читать и доверять отзывам. Читала однажды про ортодонтшу-садистку, про нее прям много было негативных отзывов и пациентов, которым она испортила зубы. При этом она до сих пор работает, хотя негативные отзывы уже годами пишутся.
Аноним 16/08/18 Чтв 18:57:20  2295691
07450E5F-1879-4[...].jpeg (77Кб, 549x726)
>>2295665
К сожалению, да. Если у тебя один из прикусов, о которых говорилось выше, тебе нужна члх. Так во всем мире другого способа нет.

>>2295666
Да она не очень профессионал, я считаю. Повторюсь просто публиковала скрины работ, которые были после ортногнастической операции.
Если честно я вообще не очень доверяю специалистам, которые очень активно ведут странички в интернете, всякие акции-хуякции, есть мнение, что профессионалы своего дела так не ведут себя.

>>2295673
Тут много че может быть, в Корее или в Японии эти операции делают каждый день по десять штук, наверное. Для них же пиздец важно иметь это классическое v образное лицо. Как раз по этой причине многие даже имея деньги не едут оперировать лицо туда, потому что тебе там могут создать идеальное лицо, которое будет выглядеть ненатурально.
Аноним 16/08/18 Чтв 19:05:41  2295696

>>2295431
Мне исправляли дистальный прикус в 25 лет с помощью аппарата Гербста, лицо при этом не было эстетически нарушено, только зубы и прикус выровнялись, без проблем, за 19 месяцев
На пике максимально хуевая ситуация, такая , конечно, только с помощью ЧЛХ
Аноним 16/08/18 Чтв 19:12:05  2295701
>>2295696
То есть, эстетически у тебя не было проблем особо?
Аноним 16/08/18 Чтв 19:13:09  2295702
>>2295696
Неудобно было ходить? На фото выглядит пиздецово.
Аноним 16/08/18 Чтв 19:17:24  2295709
>>2295701
Вообще не было никаких проблем. Видимо ситуация была не очень запущенная. Нижняя челюсть после лечения стала чуть ровнее, и даже носогубки стали менее выражены, огромный плюс)) Только ретенционный период идет дольше обычных случаев.
Аноним 16/08/18 Чтв 19:21:55  2295716
>>2295702
Ходила я в нем 3-4 месяца, потом ровняли обычными эластиками. Неудобства дикие, у меня не очень пухлые губы и край конструкции постоянно тянул губу вниз, слюни текли как у бешеной собаки. Открывать рот было непривычно, чувствовала себя киборгом
Аноним 16/08/18 Чтв 19:30:00  2295727
>>2295431
> Мне 22
> Малышка
Чот обосралась с этой тетки
Аноним 16/08/18 Чтв 19:34:50  2295734
>>2287666
>>2295666
Ох, нихуя число зверя дважды. Всегда думала что в стоматологах есть что-то от сатаны.
Аноним 16/08/18 Чтв 19:47:03  2295749
>>2295691
>Если у тебя один из прикусов, о которых говорилось выше
>мезиальный/дистальный/глубокий прикус
А есть ещё какие-то помимо этих?

Алсо, почему на том же breket.info люди разных возрастов отчитываются об исправлении своего прикуса именно брекетами?
Аноним 16/08/18 Чтв 20:19:56  2295775
>>2295734
Например, адские цены)
Аноним 16/08/18 Чтв 20:21:05  2295778
FE3157B7-2883-4[...].png (413Кб, 750x1334)
>>2295749
наверное, если нет показаний, то в члх никто не направляет? Выше у девушки был дистальный прикус, который эстетически не выдавал себя, и у нее тоже обошлось без операции. Во многих случаях дистальныц прикус себя очень даже выдает, но мезиальный хуже, конечно, смотрится.
Аноним 16/08/18 Чтв 20:23:14  2295782
>>2295775
Жиза, особенно в дс. Брекеты, члх - ок дорого но ок, так еще перед этим надо вылечить зубов 6-7. Кажется, обойдется под 50-80к, страшно думать.
Аноним 16/08/18 Чтв 20:25:18  2295784
>>2295749
>помимо этих
Да, открытый прикус.
Аноним 16/08/18 Чтв 20:56:42  2295799
>>2295778
Не, ну просто до этого говорилось

>Все, кто старше 16-18 лет, если у вас мезиальный/дистальный/глубокий прикус, то брекеты вам не помогут исправить ситуацию.
>К сожалению, да. Если у тебя один из прикусов, о которых говорилось выше, тебе нужна члх. Так во всем мире другого способа нет.

А теперь то, что всё-таки зависит от степени пиздеца.
Аноним 16/08/18 Чтв 21:02:54  2295803
>>2295799
Ну я не беру свои слова назад. Насчет показаний имелось в виду не пиздецовость ситуации, а различие. Очевидно, что брекеты не исправят ситуацию, в которой мезиальный прикус, дистальный прикус, открытый прикус. Вопрос был в том, почему девушки на брекет.инфо исправляют с помощью брекетов - потому что у них изначально нет аномалии такой.
Аноним 16/08/18 Чтв 21:04:28  2295805
>>2295799
Погугли jaw surgery на youtube, очень много историй, фоток до/после.
И да, такую аномалию можно исправить пока не сформировалась челюсть без операции, то есть у детей и подростков.
Аноним 16/08/18 Чтв 21:06:17  2295808
Я думаю, многие были бы счастливы, если эта операция была необходима только в худших случаях, коих, якобы, редко. И ставили бы себе аппарат за 30-40к с радостью. Я в том числе.
Аноним 16/08/18 Чтв 21:45:17  2295842
У меня омежий подборок, прямо такой же, как форсят в /б/.
То есть тупо будто нет части лица.
Я тян, если что.
Выглядит максимально убого, приходится челюсть вперед постоянно выдвигать.
Пикрилы.
Как называется такой прикус и как его исправить?
Аноним 16/08/18 Чтв 22:50:59  2295881
>>2295842
Но у тебя на пике написано
Аноним 18/08/18 Суб 01:36:49  2297567
Стоматологиня ещё здесь?
Есть несколько вопросов, спасибо, если сможешь ответить.

Хотелось бы через несколько лет заняться челюстью сейчас мне 20, а именно: все вылечить, отбелить, поставить брекеты, а лучше прозрачные капы инвизилайн? . В каком порядке это все делается? Сначала отбеливают, лечат, а потом капы? Можете рассказать про капы - это лучше, чем брекеты?

На данный момент: хуевые зубы в плане кариеса всю жизнь, за гигиеной следила всегда. Пломбы практически на каждом зубе, в том числе спереди у одной край блять потемнел на единице, смотрится мерзко, в одной шестёрке стоит два штифта его много раз лечили, потом нерв удаляли и их вставили. . Это как-то влияет на постановку кап или брекетов?
Недавно начала читать на тему стоматологии и поняла, что зубы мне всегда хуево лечили, не правильно. Боюсь, что если сейчас пойду к нормальному стоматологу, то заменить все это влетит мне в очень дохуя.
Прикус выглядит вроде нормально, ни верхняя, ни нижняя не выпирают.
Ещё челюсть кажется мне узкой, ровно только единицы стоят ну они достаточно крупные , а дальше уже скругляется ряд.
Но подозреваю, что все таки нижняя челюсть слегка назад, ибо подбородок выглядит маленьким, но не как на всех пиках, что здесь кидали.
Это все равно фиксится только операцией?

Верхний зубной ряд выглядит ровным, а вот снизу забор кривой. Слева четыре зуба сильно повернуты, клык боком стоит двойка над ним заметно стёрлась из-за этого, единицы и двойки наклонены.

По описанию это все похоже на сильные проблемы с зубами или теоретически я могу отделаться выравниванием зубов и заменой пломб?
Дохуя написала, ещё раз спасибо
Аноним 18/08/18 Суб 01:48:57  2297569
>>2297567
Ещё не написала, что челюсть изредка щёлкает, вроде только с одной стороны. Ничего не болит. Пару раз в жизни было, что её заклинило и пару минут на место не вставала.
Это не исправить?
Аноним 18/08/18 Суб 13:03:08  2297720
>>2297567
Cами по себе каппы стоят раза в 4 дороже обычных брекетов, если обладаешь таким бюджетом, то вперед. По носке намного удобнее, ничего не болит, снимать можно во время еды. Ситуация с зубами описана очень сумбурно, думаю что план лечения составит только орт в очном порядке с наличием всех необходимых снимков.
Если ставить брекеты, то отбеливание зубов перед ортодонтическим лечением не имеет смысла, так же как и замена пломб. И ты же понимаешь, что если у тебя уже сильно пломбированные зубы, то следующий этап это коронки или культи, а то и имплантация.
Аноним 18/08/18 Суб 22:47:55  2298235
>>2297720
Поняла, спасибо
> И ты же понимаешь, что если у тебя уже сильно пломбированные зубы, то следующий этап это коронки или культи, а то и имплантация.
То есть с сильно пломбированными зубами не имеет смысла все это делать?
Я думала, что можно некоторые пломбы просто заменить, если зубы буду отбеливать. И что пломбы достаточно долго будут в нормальном состоянии.
Аноним 19/08/18 Вск 01:15:31  2298280
Бля, это же пиздося, у меня еще на все пломбирования денюжек нет, а тут уже пишут, что потом только импланты. Как дорого иметь проблемы с зубами. Удачные гены, спасибо вам! (в моем случае).
Аноним 19/08/18 Вск 03:17:13  2298297
>>2298280
А я чёт не поняла. То есть, если зубы с пломбами, то после брекетов им пизда обязательно придёт?
Аноним 19/08/18 Вск 17:07:24  2298680
>>2297720
>если у тебя уже сильно пломбированные зубы, то следующий этап это коронки или культи, а то и имплантация.
А сколько лет могут держаться пломбы, если их особенно не трогать брекетированием? Мне 23, у меня сейчас 14 пломб и одна коронка стоят - не знаю, куда деваться сейчас, если ситуация настолько безнадежная.
Аноним 19/08/18 Вск 17:16:46  2298688
>>2298235
Ты не совсем меня поняла, зубы же невозможно пломбировать до бесконечности, при каждом новом пломбировании иссекается часть зуба для композитного материала, для лучшего сцепления. И чем уже больше пломба, тем меньше своего зуба остаетсялогично
Просто так, без каких-либо показаний, старые пломбы лучше не трогать, а то потом придется пломбы заменять коронками.
Маленькие пломбы заменить можно, конечно, но смысла нет перед ортодонтией. Если есть кариес или воспаления их лучше залечить, рот должен быть полностью санирован. Лечить зубы можно и в момент ношения ортодонтических аппаратов, но лучше до. Желательно избавиться от зубного камня, если таковой имеется. Насчет отбеливания - если ты будешь носить капы, то можно сделать, внешний вид зубов останется неизменным. Если брекеты, то я не вижу смысла. Лучше после них. Зачастую гигиена у людей усложняется и зубы могут темнеть от невозможности должного ухода рядом с конструкцией. И под брекетами эмаль останется того цвета, что и была до.
Аноним 19/08/18 Вск 17:25:41  2298697
>>2298680
Брекеты не портят зубы и пломбы, если врач не довен. Если коронковая часть зуба почти полностью закрыта пломбой, то врач может предложить сделать временную пластиковую коронку, которую потом можно заменить керамической. Если сильно меняется прикус и зубы передвигаются на "новые" места, то может быть потребуется реставрация фиссурно-бугорковых контактов.
Пломбы сами по себе стоят по-разному, никто гарантий не дает. Современные материалы получше ессно, чем были лет 10 назад.
Аноним 19/08/18 Вск 17:33:30  2298704
>>2298688
> Ты не совсем меня поняла, зубы же невозможно пломбировать до бесконечности, при каждом новом пломбировании иссекается часть зуба для композитного материала, для лучшего сцепления. И чем уже больше пломба, тем меньше своего зуба остаетсялогично
> Просто так, без каких-либо показаний, старые пломбы лучше не трогать, а то потом придется пломбы заменять коронками.
А, ну это то понятно
Я скорее про то, что при отбеливание пломбы же останутся изначального цвета? А они у меня есть и на передних зубах. То есть зубы будут разного цвета. В таком случае пломбы же нужно заменить?
Аноним 19/08/18 Вск 17:45:17  2298715
>>2298704
Ох.. Эта тема вообще сложная. Ты делала уже отбеливание? Просто обычно оно держится не более 4-5 месяцев с учетом соблюдения полного ухода. Если ты пьешь кофе, куришь, то в отбеливании вообще нет особого смысла, разве что перед каким-то мероприятием. Каждый раз менять пломбы это точно не вариант, либо виниры/люминиры, либо сохранить свой цвет зубов
Аноним 19/08/18 Вск 17:47:20  2298717
>>2298715
а еще, пломбы которые делаются на передних зубах, как правило все равно темнеют со временем, и их нужно менять ну может раз в 5-7 лет
Аноним 19/08/18 Вск 18:01:10  2298722
>>2298715
> Ты делала уже отбеливание?
Нет, никогда
>Просто обычно оно держится не более 4-5 месяцев с учетом соблюдения полного ухода.
Ну бля, хули так сложно. У меня просто цвет эмали прям заметно жёлтый. А кожа у меня бледная, поэтому когда я улыбаюсь, выглядит будто я зубы в жизни не чистила и курила всю жизн.
>Если ты пьешь кофе.
Кофе пью раз в день, после этого зубы и чищу как раз. Не замечала, чтобы от него темнели, я так пью несколько лет, а жёлтыми зубы были всегда
Не курила никогда, да и от кофе могу оказаться, если нужно будет для сохранения эффекта.
>Каждый раз менять пломбы это точно не вариант, либо виниры/люминиры, либо сохранить свой цвет зубов
Про виниры и люминиры много негативного пишут, не хотелось бы
>>2298717
> а еще, пломбы которые делаются на передних зубах, как правило все равно темнеют со временем, и их нужно менять ну может раз в 5-7 лет
У меня одна из них года через 3 отвалилась, а вокруг другой тёмное обрамление года через 2 появилось ей года 4, выглядит не очень. Плохо сделали или это норма?
Аноним 19/08/18 Вск 18:13:44  2298731
>>2298722
Пломба на контакте? Или реставрировали скол?
Если контактный кариес,то за ним нужно тщательно следить, пользоваться нитью,ершиком,ирригатором.
За такое короткое время они не должны темнеть, если делала в нормальной клинике. Может стоит сделать снимок и поглядеть что там.
Да, виниры и люминиры это вынужденная мера, если ты публичная личность,например. В обычной жизни за ними нужно следить очень пристально, чтобы не проебать момент ухудшения. И обычный срок их ношения составляет 10-15 лет.
Аноним 19/08/18 Вск 18:29:00  2298755
>>2298731
> Если контактный кариес,то за ним нужно тщательно следить, пользоваться нитью,ершиком,ирригатором.
Кариес, да. Пользуюсь электрической щёткой которая звуковая, не вращается последние 2 года, нитью и ополаскивателем задолго до этого кариеса пользовалась. Ирригатор хочу, но пока не могу
> За такое короткое время они не должны темнеть, если делала в нормальной клинике.
Клиника частная, но мухосранская, поэтому сомневаюсь.
>Может стоит сделать снимок и поглядеть что там.
Ок, учту.
А если жевательный зуб потемнел под пломбой именно внутри, а не вокруг как на переднем - тоже лучше проверить? Врач, который делал, сказал тип НУ ТАК БЫВАЕТ.
> Да, виниры и люминиры это вынужденная мера, если ты публичная личность,например. В обычной жизни за ними нужно следить очень пристально, чтобы не проебать момент ухудшения. И обычный срок их ношения составляет 10-15 лет.
Ну то есть нахуй не надо всю жизнь на них каждый десяток лет отваливать денег, я ещё слишком молода, лол.
Аноним 19/08/18 Вск 18:41:11  2298770
>>2298755
Видимо тебе просто не очень повезло в генетической лотерее, раз уход хороший, и ты молода, а уже имеются проблемы с зубами. И в твоем случае, я думаю отбеливание вообще не самый лучший вариант. Может появиться сильная чувствительность, а если эмаль слабоватая, то сама понимаешь..
Потемнел сам зуб? Если там лечили каналы, то это может быть реакция на пасту которой пломбировали, так действительно бывает. В таком случае делают внутриканальное отбеливание единичного зуба.
Аноним 19/08/18 Вск 18:51:27  2298783
>>2298770
> Видимо тебе просто не очень повезло в генетической лотерее, раз уход хороший, и ты молода, а уже имеются проблемы с зубами.
Ну у родителей с зубами пиздец полный, но у них и ухода абсолютно никакого. О моих зубах соответственно тоже никто не заботился кариес? Ну не болит же, нехуй деньги тратить по врачам ходить, пока я сама не начала понимать и ухаживать.
>И в твоем случае, я думаю отбеливание вообще не самый лучший вариант. Может появиться сильная чувствительность, а если эмаль слабоватая, то сама понимаешь..
Ну в любом случае по врачам нескольким пройдусь, вдруг там что-то понежнее для отбеливания появится, нет так нет.
> Потемнел сам зуб? Если там лечили каналы, то это может быть реакция на пасту которой пломбировали, так действительно бывает. В таком случае делают внутриканальное отбеливание единичного зуба.
Потемнение в середине зуба с наружной стороны, но не весь зуб. Может и каналы, не знаю, не объясняли.

Спасибо большое за ответы.
Аноним 19/08/18 Вск 18:58:46  2298786
Высрала гору кирпичей когда узнала что мои совковые представления о гигиене рта просто полная хуйня, а нить, которой я никогда не пользовалась, намного важнее щетки. Теперь наслаждаюсь своим межзубным кариесом.
Аноним 19/08/18 Вск 18:59:45  2298788
>>2298783
Могут предложить гигиеническую чистку, она не травматична. Только не ультразвук, а пескоструйную, она может отбелить зубы, если на них есть налет.
Аноним 19/08/18 Вск 19:05:54  2298796
Носила 1,5 лет, был неправильный прикус. Результатом очень довольна. Тщательней ищи стомата, мой попался кидала на деньги, который поставил мне брекеты на зубы мудрости, хотя их по идее стоит удалять. Отказывайся от постоянных частых чисток, мне постоянно предлагали, хотя вроде все норм было - дропай.
Дальше тебе поставят ретейнеры на них несъемные, от капы я отказалась, зубы не разъехались
Аноним 19/08/18 Вск 19:08:26  2298799
>>2298788
А почему не ультразвук?
Пескоструйная - это которая с содой? Её можно для чувствительной эмали?
Аноним 19/08/18 Вск 19:10:03  2298802
>>2298788
А как быть с теми же пломбами на передних зубах тогда? Они же так и будут слегка темнее, ибо перед лечением мне проф.чистку никогда и не делали
Аноним 19/08/18 Вск 19:15:08  2298812
>>2298799
Ультразвук более инвазивный, если гигиенист не очень хороший, то могут быть потом последствия. Обычная чистка стоит дешевле чем отбеливание, можно как раз посмотреть как пломбы будут себя вести. И сама по себе процедура полезная.
Аноним 19/08/18 Вск 19:21:44  2298822
>>2298812
Окей, спасибо
Аноним 19/08/18 Вск 22:03:36  2298939
>>2298812
у меня после чистки зубы все равно желтые.
пиздец.
Аноним 19/08/18 Вск 22:28:56  2298949
>>2287785
Лол, у меня после брекетов подбородок стал как у тролфейса, когда смеюсь. И длинное тощее лицо стало выглядеть ещё более длинным и тощим. Зато улыбка стала няшная и вообще как-то общее впечатление приятнее. Есть теория, что фигня с подбородком это загон и другие люди уж точно его меньше замечают, чем зубы забором.
Аноним 19/08/18 Вск 22:32:17  2298950
>>2298939
Да не отбеливает чистка нихуя, разве что там реально налет от дешевого чая.
Аноним 19/08/18 Вск 22:38:50  2298958
>>2288456
А несъёмный ретейнер всю жизнь носить чтоли?
Аноним 19/08/18 Вск 22:44:03  2298971
>>2298958
Зависит от конкретного случая, некоторым и всю жизнь. Но он незаметен и никак не мешает.
Аноним 19/08/18 Вск 22:45:24  2298973
>>2298939
посмотри свой оттенок по шкале vita, и напиши насколько они желтые
Аноним 19/08/18 Вск 22:53:50  2298980
>>2298971
А он не повышает вероятность кариеса?
Аноним 19/08/18 Вск 22:55:36  2298981
>>2298973
b2
Аноним 19/08/18 Вск 22:59:10  2298984
>>2298973
Монитор должен быть откалиброван для таких вещей.
Аноним 19/08/18 Вск 23:00:23  2298987
>>2298973
Бля, не могу по ней понять какой у меня
Аноним 19/08/18 Вск 23:00:47  2298989
>>2298980
Ну при нормальной гигиене -нет.
Аноним 19/08/18 Вск 23:02:41  2298992
>>2298981
Самый простой способ понять, это посмотреть на фотографию сделанную при дневном свете. И на этом же устройстве сопоставить картинки
Аноним 19/08/18 Вск 23:05:14  2298998
>>2298981
И b2 является нормальным естественным цветом. Я думала все хуже. Попробуй пасту, но не образивную, и желательно не из дешевого сегмента.
Аноним 19/08/18 Вск 23:13:43  2299008
>>2298998
А c3?
Аноним 19/08/18 Вск 23:26:50  2299022
>>2299008
С3 похуже, либо курение и злоупотребление кофе, либо проблемы с жкт или с питевой водой
Аноним 25/08/18 Суб 19:07:57  2303122
>>2287790
Просто посмотри на резульаты
http://drkurakin.ru/doposle/157/71/patsientka-ch
Аноним 25/08/18 Суб 19:12:18  2303123
>>2290593
Челюстно-лицевая хирургия
Смотри вот тут результаты
http://drkurakin.ru/doposle/157/71/patsientka-ch


Топ тредов
Избранное