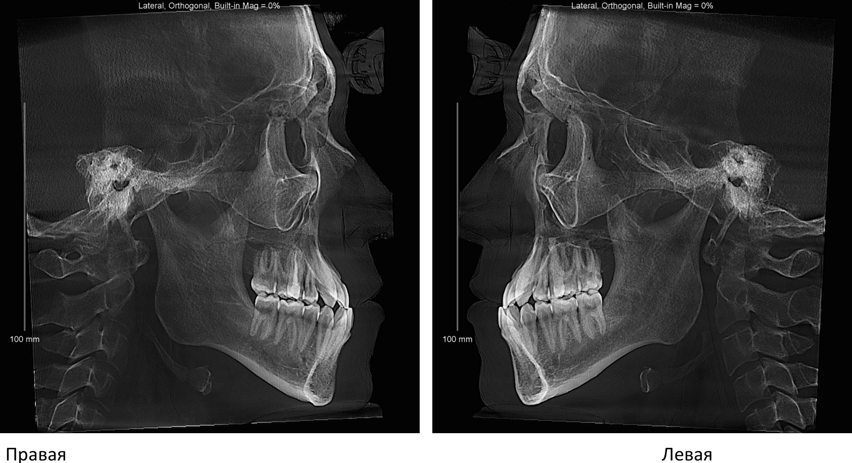
призвыаю всех пиливших челюсти по квоте в тред похоже, мой путь только начинается, чё раскажете инте  
											
										
									
									
										
												Аноним
										
										
										
										
									
									
										24/07/25 Чтв 20:37:43
									
									
										№
										
										1
									
										
										
										
										
										
										
										
										
											
										
										
										
										
										
										
									
									
								
								
									 
									 
									
												
											
												
											
												
											
												
											
												
											
												
											
												
											
