Главная Юзердоски Каталог Трекер NSFW Настройки

Теории заговора

Ответить в тред Ответить в тред
Check this out!
<<
Назад | Вниз | Каталог | Обновить | Автообновление | 29 8 14
антидепрессанты, нейролептики и тому подобное Аноним 25/12/25 Чтв 13:37:22 943042 1
i (4).webp 53Кб, 480x309
480x309
что думаете на счет антидепрессантов, нейролептиков и прочих таблеток "для мозга"? понятно что это корм для гойских баранчиков но хотелось бы поподробнее раскрыть эту тему, как они действуют и т.д
Аноним 25/12/25 Чтв 13:46:56 943045 2
> гойских баранчиков
Ты сам быдло ебанное, не можешь проникнуться чужими проблемами. Попробуй не давать шизу нейролептики - он заовощится и подохнет от психоза даже быстрее, чем если бы его пикчали древним галоперидолом (а сейчас уже есть норм препараты)
Аноним 25/12/25 Чтв 13:49:46 943046 3
>>943045
> он заовощится и подохнет от психоза

Каким образом?
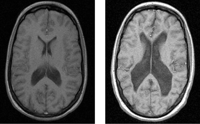
Аноним 25/12/25 Чтв 13:52:46 943049 4
IMG6448.jpeg 53Кб, 600x358
600x358
IMG6449.jpeg 47Кб, 666x413
666x413
>>943046
От психоза мозг умирает. Вообще если тебе так интересно, то пиздуй в /psy/ или на пабмед
Аноним 25/12/25 Чтв 13:53:39 943051 5
>>943049
Про психоз напиши пожалуйста подробрее
Аноним 25/12/25 Чтв 14:05:17 943053 6
>>943049
Жалко написать подробнее?
Аноним 25/12/25 Чтв 14:27:39 943058 7
>>943051
>>943053
Я не шизик и об этом в пабмеде не читал. Но если прям рассматривать банальщину, то это большой выброс дофамина (хотя там и НМДА завязаны и прочее). Вообщем я искал решения для проблем (причем своих, просто я не туда копать начал, надо было в сторону ДРИ), а не то, как эти проблемы работают
Аноним 25/12/25 Чтв 17:32:18 943087 8
Сейчас антидепрессанты назначают все подряд и всем подряд, даже уролог, не взяв на анализы мочу, прописывает антидепрессанты, в аптеках их продают просто так, не спрашивают рецепт.
У меня дважды был опыт с АД и скажу я вам, что эта вещь еще хуже, чем антибиотики, которые тоже прописывают всем подряд, только антибиотики бьют только по телу, а АД еще и по менталке. Овощем больным становишься, короче.
Аноним 25/12/25 Чтв 17:33:59 943088 9
>>943087
> даже уролог, не взяв на анализы мочу, прописывает антидепрессанты
Как это вообще связано? Даже терапевт не может выписать антидепрессанты сейчас
Аноним 25/12/25 Чтв 17:38:19 943090 10
>>943087
> Овощем больным становишься, короче.
Ну кстати да, апатию дает. Как по мне говно без задач, но у меня и тревога выражается лишь мыслями
Аноним 25/12/25 Чтв 17:43:00 943094 11
>>943087
Не двачаю этого, хорошо прописанный комплекс помог мне вылечить паранойю, которая длилась полтора года и в целом убрать тревожность, которая у меня была на протяжении долгого времени. Не нужно их принимать на постоянке и не слезать, но для людей с бедами с башкой это спасение. Просто если вы нормис, которому грустно, то надо начать с чего-то простого и безрецептурного, но рецептурное только по показаниям и конкретным проблемам.
Аноним 25/12/25 Чтв 17:56:15 943099 12
>>943088
Так они либо отправляют к психиатру, а там вообще всем подряд выписывают, либо пишут на квадратной бумажке. Я в аптеке антидепрессанты покупал вообще без рецепта. Мне еще транков к ним предложили купить, тоже без рецепта.
По рецепту, по ходу, продают только сироп от кашля.

>>943090
Проблема в том, что АД купируют просто все мысли и эмоции. Ну, да, тревога исчезает, а то, что исчезает все остальное и человек превращается в НПЦ, никто об этом не говорит. И то, что АД и всякие литии в комплекте с ним ударяют по ЖКТ и просто останавливают его работу, тоже все молчат.
По большему счету, человек просто находится во сне, как лунатик, ему уже пофиг становится и на свою тревогу, и на себя, и на всех вокруг. Идеальный раб.
Аноним 25/12/25 Чтв 17:57:42 943100 13
>>943094
Чел, странно ты пил АД. Чтобы они подействовали, их надо годами пить. А ты, по ходу, просто немного попил и у тебя сработал эффект плацебо.
Аноним 25/12/25 Чтв 19:26:09 943125 14
>>943100
> годами
Для окр (и птср, если правильно помню) вроде самый максимальный срок начала действия это пол года. Если это не помогло - ну значит не поможет вообще
Аноним 27/12/25 Суб 13:03:29 943538 15
>>943042 (OP)

НЛ мне спасли жизнь.
Ребята с реддита обсуждают давно, есть спец группы по этой теме, что есть побочка у фармы, которая не дает стояка, /вялого, проблема с эякуляцией, даже спустя много лет прекращения приема колес.
так же у тянок проблема с оргазмами, и у них и парней есть проблема с убитым либидо
Аноним 27/12/25 Суб 13:07:27 943540 16
>>943538
кстати, на западе особенно, любят тянок подсаживать на оральные контрацептивы, то есть гормоны. большая побочка, от тромбов до хз чего еще там. даже мелких от 14+ лет сажают.
по слухам влияет на количество яйцеклеток, проблему с фертильностью и в долгосрочной проблеме хз что. были посты что не могут иметь детей спустя 10 лет приема колес.
у нас их тоже массово выписывают даже не по левому поводу.
их еще фишка в том, что они не лечат, а маскируют проблемы.

с учетом постом моим выше, вполне возможно депопуляция
Аноним 27/12/25 Суб 15:21:27 943573 17
>>943540
> хз что
Посмотри состав - в контрацептивах всегда этинилэстрадиол + какой-нибудь гестаген. Они очень сильные и уже в малых дозах ломают цикл - поэтому забеременеть не получается. Если эффект не проходит то нужно сдавать анализы на гормоны и выравнивать уровни вручную, возможно даже весь цикл.
Проблема с тромбами есть (от этинилки), но для того чтобы их получить нужно быть либо очень невезучей, либо принимать таблетки постоянно. Впрочем если кто-то боится, то может поджирать микродозы аспирина.
Аноним 27/12/25 Суб 18:22:32 943632 18
>>943540
Их и у нас подсаживают на это. Любую тянку спроси, обращалась ли она с проблемами к гинекологу и что ей прописывали. Они всегда прописывают ОК. Причем я неоднократно был свидетелем разговоров, когда тянки не могли забеременеть и им прописывали ОК.
Аноним 28/12/25 Вск 01:34:58 943753 19
>>943088
>Как это вообще связано?
Мне один уролог прописывал транки, когда по анализам нихуя найти не мог, а у меня был цистит. Так и не понял, нахуя он мне это назначил, но я их не стал пить.

Другой уролог мне антибиотики выписал.
Аноним 28/12/25 Вск 01:38:48 943755 20
фригидность сла[...].mp4 26227Кб, 1280x720, 00:02:59
1280x720
>>943573
Лол, у меня так бывшая гормональную спираль мирену поставила - либидо у нее пропало, она стала нервной ебанашкой и по клубам пошла блядовать и меня хуесосить, в т.ч. натравив на меня своих же подруг - для компенсации недоёба, видимо. Такой кеклол, конечно был, просто пиздец.
Аноним 28/12/25 Вск 02:07:18 943760 21
1766876839474.jpg 193Кб, 1280x1103
1280x1103
>>943042 (OP)
Я сам пил и нахватался проблем. Изучал эту тему, в /psy даже был по теме актив- отдельный трел и посты ю, вроде с копипастой из книг. Тут можно очень много говорить, начиная с того же Фуко.

>>943087
Антидесрессант это депрессант (он подавляет цнс)

>>943540
А ещё они вызывают депрессию. На тему контацептивов и контроля рождаемости см. "Наркокапитализм"

>>943049
Это пиздёж, это не шизофрения а какая-нибудь деменция. От шизофрении не образуются полости в мозге.

>>943058
> пабмед
> пси
Ясн.
Аноним 28/12/25 Вск 08:30:48 943795 22
Короче, аноны, я вам так скажу, не доверяйте слепо врачам, большинство из них безграмотные и им плевать на вас, лишь бы деньги поиметь или лишь бы сбагрить побыстрее и отчитаться перед руководством о количестве принятых.
У меня тетка работала руководительницей местной гинекологии, один из лучших гинекологов страны, вся в медалях ходила, аки Брежнев, лекции читала молодым врачам. Я как-то у нее спрашиваю, зачем она и остальные прописывают оральные контрацептивы тем, кто забеременеть не может (она настойчиво рекомендовала сестре пить контрацептивы, когда та не могла забеременеть и имела кучу гинекологических проблем, спойлер: контрацептивы только все ухудшили), это же нелогично, контрацептивы же наоборот нужны, чтобы не забеременеть. Она ответила: нам так говорили на курсах повышении квалификации. Остальное ее не волнует. Ей так на курсах сказал другой более уважаемый гинеколог, она и побежала распоостранчть эту ересь дальше.

И тут уже вскрывается другой заговор. По ходу, все эти регалии уважаемых и куча звание как раз и нужны для того, чтобы доверчивых разводить на всякую чепуху. Люди вообще не ставят под сомнение информацию, если та идет от уважаемых людей. Зато считают дебильной любую истину, которая исходит от человека простого, без регалий.

Помню, лет 50 назад врачи в США верещали на каждом углу, что беременным очень полезно курево и облучение радиацией.
Так что этих скотов даже слушать не надо. Там, по ходу, кроме хирургов, остальные вообще не обучаются врачебному делу, только всякий кал по заказу сверху выписывать.
Аноним 28/12/25 Вск 11:00:36 943819 23
IMG6509.png 22Кб, 300x300
300x300
Аноним 28/12/25 Вск 12:07:36 943832 24
>>943042 (OP)
Дрянь это, потом становишься додиком и возможности прокормить себя работая дворником/грузчиком/кладменом. На завод уже не берут, слишком медлительный и тугодум
Аноним 28/12/25 Вск 12:07:48 943833 25
>>943042 (OP)
Антидепрессанты это прям вообще последняя инстанция, если ничего больше не помогло, потому что лучше потерпеть, чем иметь такие побочки
Аноним 28/12/25 Вск 13:39:15 943851 26
NL7YPmBg95Q.jpg 112Кб, 807x634
807x634
>>943042 (OP)
>что думаете на счет антидепрессантов, нейролептиков и прочих таблеток "для мозга"?

Этот дядя лучше тебе раскидает чем местные.
Так то мемантинчик топ, правда токсичное гавно.
Аноним 28/12/25 Вск 14:41:32 943864 27
>>943851
Я его смотрел - он только анвифен и рокону пиарит, принципиально нового ничего не услышал, но обозначения вроде ⬆️СнД конечно прикольные.
Мемантин мне не помог, потому что я был долбаеб и жрал его от дейдриминга и диссоциации. Мамка жрала для памяти, но какого-то эффекта не заметила
Аноним 28/12/25 Вск 15:35:04 943872 28
Раньше истерики лечили вибратором или сексом (в том числе женские истерические припадки)
Сейчас секс считается чем-то греховным, хотя это природный дар, чтобы успокоить нервы без лекарств.
Аноним 30/12/25 Втр 01:46:34 944318 29
1767048394695.jpg 326Кб, 1280x1109
1280x1109
Алсо, сегодня мысля пришла. Сразу скажу что я сам несколько лет пил гойблетки и мой круг общения состоял преимущественно из "нездоровых" людей. Сегодняшняя мысль состоит в следующем (мне придётся излагать е5 обрывисто чтобы ввести в курс дела, дочитайте до конца). Есть поверье, что тян с диагнозами безумные/неаерные/шлюхи. Но мы не должны допускать ошибку в соотношении причины и следствия. Говорят мол если тян психически больна — она то-то и то-то. Но психическую болезнь поставят любому человеку, который окажется на консультации психиатра. И тут самый важный момент моего тейка: подумайте, чем сопровождается диагноз, его постановка. Диагноз тащит за собой дискурс. Это дискурс, это сообщество. Верно ли говорить, что человек, у которого начались проблемы — непригоден? А всё бывает так: у обычного человека есть проблемы. Он слушает в интернете (двач, тикток, тг) что оказывается это СЕРЬЁЗНАЯ ПАТОЛОГИЯ и ОНА ЛЕЧИТСЯ. И начинается погружение в дискурс: депрессия, рпп — не существуют без дискурса. Ведомая тяночка идёт к психиатру (сама идея что психиатрические проблемы лечатся это фикция, это чисто фасад, ловушка) и он СТАВИТ ДИАГНОЗ и ВЫПИСЫВАЕТ ТАБЛЕТКИ. Помните, что диагноз это дискурс? Она идёт в сообществе и начинает общаться с "особыми" людьми (которые из тех псиопов кто промывал мозги убийце чарли кирка, в сети левые гораздо лучше и больше представлены), и этот механизм можно понять. Психиатрия даёт искупление. Она говорит: вот тут кроется ответ на твои вопросы, ты такой и такой, и твом проблемы обусловленф этим и тем, ты не виноват, это не ты стерва и хамло, — психиатрия позволяет формировать, конструировать идентичность, это что-то навроде астрологии или тестов на происхождентие, которые опираются на любопытство и вопрос идентичности. И дальше самое важное: поциенд начинает принимать таблетки. Таблетки в психиатрии это такая вещь... Что негласно считается что их надо пить пожизненно. Короче, жертва наша садится на химию и пьёт её месяцами. И тут вновь отсылаю к моногафии Де Суттера. Дальше скажу про свой опыт, который сегодня суммировал подсознательно: эти таблетки незаметно меняют женщину. Нет, и я говорю не про "физиологию" (от пси-таблеток жиреют, начинаются когнитивные изменения, если будет пить подросток то у него мозг останется недоразвитым, короче это очень сильный токсин, который потом она не сможет бросить), а про психику. Путь один и тот же: это олиберашьиванье, отупение, промискуитет, тату, феминизм, ненависть у мужчинам и к идее завести семью. И это очень-очень незаметно. Некоторые так скурвливались на глазах: вчера мы обсуждаем классицизм и романтическую живопись, она говорит о желании жить под мужским началом, проигрывает над всратыми фемками, а сегодня сама становится розововласым монстром, который истезает мужчин и продаёт фото жопы и всё своё достоинство.
Я хотел сказать, что дело не в "заболевании" как таковом, а в том пласте, которое за собой тащит "знание" диагноза и употребление таблеток. Я предлагаю посмотреть на оголтелый феминизм, промискуитет, нестабильность и прочее как на СЛЕДСТВИЕ таблеток и дискурса, который дарит индульгенцию.

сори за сумбурность

>>943795
Психиатры — не врачи. Психиатрия не является медицинской наукой.

Этот >>943819 травокур уже все мозги прокурил
Настройки X
Ответить в тред X
15000
Добавить файл/ctrl-v
Стикеры X
Избранное / Топ тредов