Главная Юзердоски Каталог Трекер NSFW Настройки

Медицина

Ответить в тред Ответить в тред
Check this out!
<<
Назад | Вниз | Каталог | Обновить | Автообновление | 451 64 155
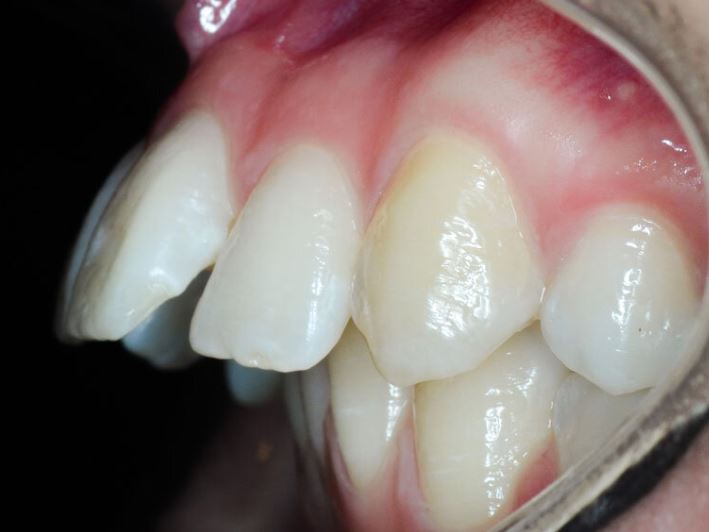
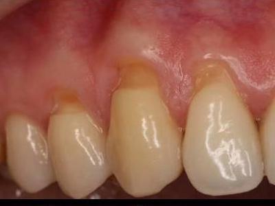
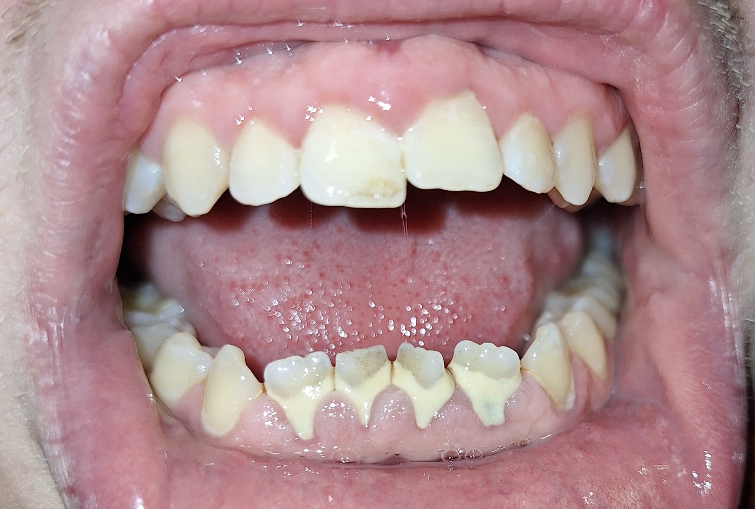
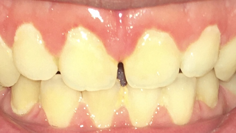
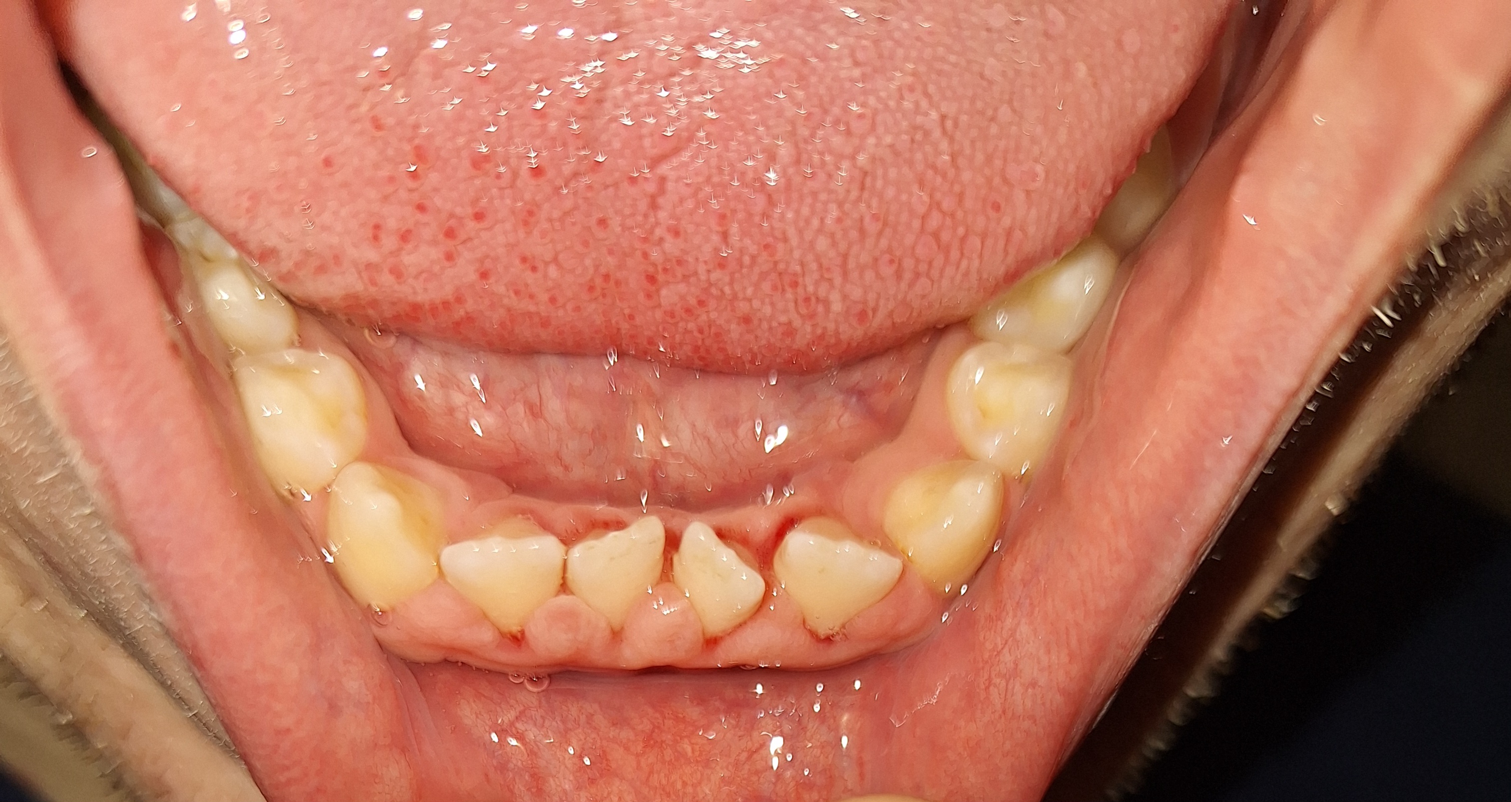
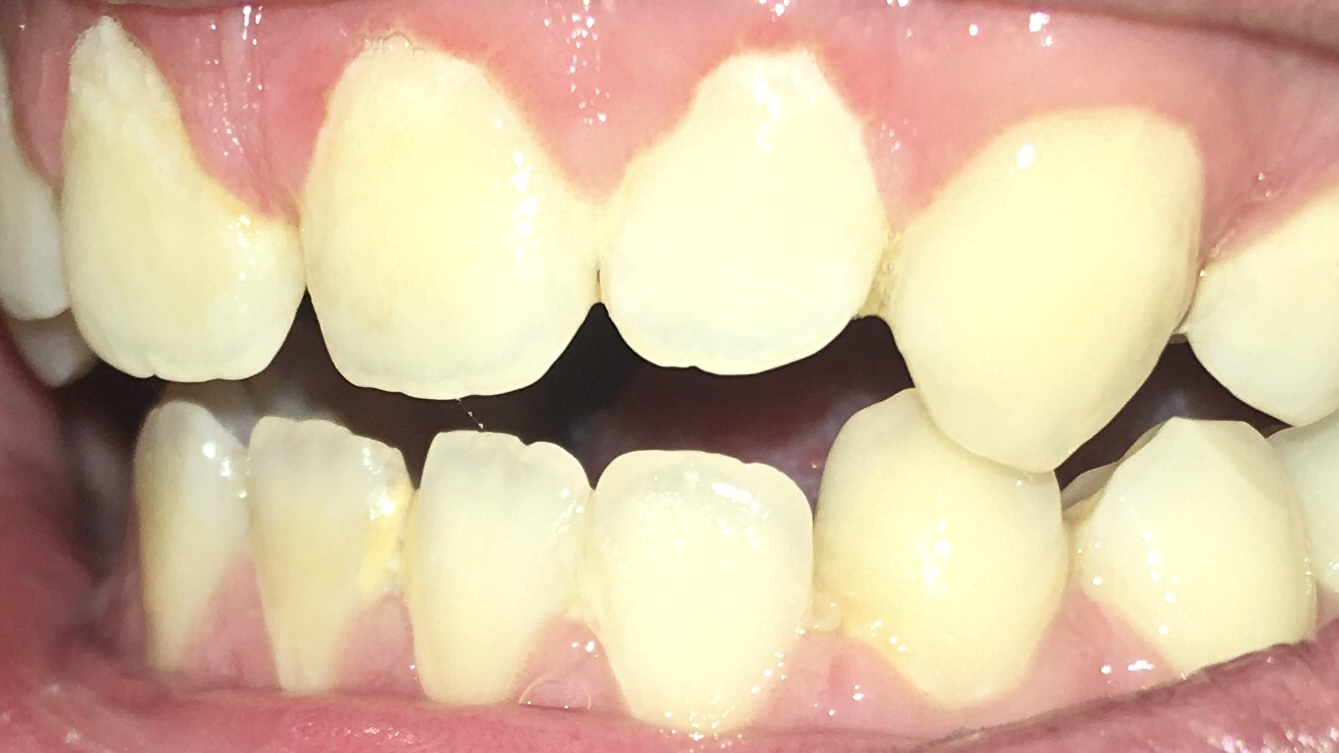
ОПУСТИЛИСЬ ДЁСНЫ, ОГОЛИЛИСЬ ШЕЙКИ ЗУБОВ 18/02/25 Втр 13:35:43 1602618 1
image 17Кб, 300x169
300x169
image 36Кб, 1024x616
1024x616
image 26Кб, 828x828
828x828
image 5Кб, 285x177
285x177
Сап медач.
Опустились дёсны в нескольких местах, обнажились шейки зубов. Чувствительные, болят от прикосновений, могут реагировать на холодное, горячее, сладкое.

Ситуация как примерно на пик2.

Предлагали два варианта:
1) Пластика десны, когда кусок кожи с нёба отрезают и пришивают к десне, чтобы закрыть оголившийся участок
2) Простое заделывание чувствительных мест пломбой/аналогом пломбы без пластики дёсен.
В первом случае меня беспокоит, что будет, если на оголившемся участке зуба есть кариес (сейчас из-за общей более тёмной природной пигментации шеек зубов + налёта не понятно), и я зашью этот кариес под кожу? Кариес будет прогрессировать под десной?
А во втором случае, дохтур сказал, что к заделанным пломбой шейкам зубов десна уже назад не прирастёт, даже если пересадить, то есть пластика дёсен будет невозможна.

ЧТО ДЕЛАТЬ, КАК ЛУЧШЕ ПОСТУПИТЬ?

АЛСО, ЛЕЧЕНИЯ ЗУБОВ И СТОМАТОЛОГИИ ТРЕД СТАРТУЕТ ЗДЕСЬ
Аноним 18/02/25 Втр 15:07:50 1602637 2
Делай пересадку десны. Зачем выдумывать какую-то хуйню с пломбами, когда можно напрямую устранить проблему .
Аноним 18/02/25 Втр 17:49:24 1602706 3
>>1602637
И не забудь устранить причину рецессии десны. Это может быть банальное исправление прикуса и до более серьезных вещей вроде эндокринных заболеваний и заболеваний крови.
Аноним 18/02/25 Втр 23:03:37 1602755 4
>>1602637
Проблема в том, что как сказал стоматолог, не факт что десна приживётся и не опустится снова.

>>1602706
>И не забудь устранить причину рецессии десны.
Причина неизвестна. Прикус не самый правильный, но не критичный. Исправить его до идеального задача не самая целесообразная, по словам ортодонта, затея, т.к. затрат придётся выполнить немало, а в результате могут вылезти другие проблемы.
Аноним 20/02/25 Чтв 13:41:04 1603340 5
>>1602755
1) А может и прижиться. Если так размышлять то можно в этом мире вообще ничего не делать.
2) Причина неизвестна ? Ты же долбоеб еще ни одного анализа не сдал. Ясен хуй пока причина неизвестна .
Аноним 20/02/25 Чтв 14:23:16 1603344 6
А чем такое как у тебя, оп, отличается от кленовидного деффекта?
Аноним 20/02/25 Чтв 14:54:45 1603352 7
>>1603344
клиновидный это повреждение шейки, рецессия убыль десны.
Аноним 20/02/25 Чтв 17:06:53 1603393 8
>>1603340
>1) А может и прижиться. Если так размышлять то можно в этом мире вообще ничего не делать.
Верно

>2) Причина неизвестна ? Ты же долбоеб еще ни одного анализа не сдал. Ясен хуй пока причина неизвестна .
Покажи мне "анализы на зубы", долбоёб потешный)

>>1603344
В душе не ебу. Один стоматолог сказал, клиновидный дефект, другой грит это не он.
Аноним 20/02/25 Чтв 17:07:48 1603394 9
>>1603340
>2) Причина неизвестна ? Ты же долбоеб еще ни одного анализа не сдал. Ясен хуй пока причина неизвестна .
Чисто по этой строчке ты ещё мал и глуп и не видал больших залуп.
Аноним 21/02/25 Птн 07:48:11 1603492 10
>>1602618 (OP)
>1) Пластика десны, когда кусок кожи с нёба отрезают и пришивают к десне, чтобы закрыть оголившийся участок
Недавно сделал с двух сторон сверху.
У меня уже сильно оголились + из-за брекетов убыль костной ткани.
Полностью закрыть не удалось, но ткани десны утолщили, потому процесс должен как минимум замедлиться.
За счёт хорошей гигиены кариеса нет.

Кстати сами смотрите свои снимки перед брекетами и, если мало кости, то это хуёвая затея - можно без зубов остаться в итоге.
Аноним 21/02/25 Птн 11:06:34 1603514 11
>>1603492
1) Недавно это как давно?
2) Почему не удалось закрыть полностью?

3) А как брекеты с костью взаимодействуют?
4) Костную ткань нарастить не пробовал?
Аноним 21/02/25 Птн 11:48:04 1603518 12
>>1603514
Недавно это первая операция в конце декабря и вторая в начале февраля.
Слишком сильное оголение, десна без кости не будет держаться. Пока опухоль была, всё закрывало, даже больше, как сошла, то обратно часть оголилась.

Мне нужно наращивать кость снаружи при наличии зубов - этим единицы хирургов занимаются. Я таких не знаю. Вроде испанец какой-то делает, возможно у армян есть такие.

Брекеты двигают зубы. Там где был зуб частично зарастает новой костью, там, куда зуб двинули кость убывает.
Потому брекеты в зрелом возрасте риск - кости челюсти уже не растут.


Японцы уже тестируют выращивание зубов, надеюсь лет через 10-15 уже начнут.
Аноним 21/02/25 Птн 12:59:44 1603528 13
>>1603518
Сколько отдал за эти операции по дёснам?

>>1603518
>Мне нужно наращивать кость снаружи при наличии зубов - этим единицы хирургов занимаются.
Мне подобное как-то один или два ортодонта предлагали. Дескать, рассекают десну, под десну внутрь вшивают какую-то псевдокостную ткань, ушивают обратно, она там приживается. На словах вот что-то такое, на практике не знаю. При этом я не в ДС, если что.
Аноним 21/02/25 Птн 14:13:09 1603547 14
>>1603528
>Сколько отдал за эти операции по дёснам?
На каждой десне по 4 зуба. 400+400$

>Мне подобное как-то один или два ортодонта предлагали. Дескать, рассекают десну, под десну внутрь вшивают какую-то псевдокостную ткань, ушивают обратно, она там приживается. На словах вот что-то такое, на практике не знаю. При этом я не в ДС, если что.
Хирург сказал, что имплантируемой кости цепляться не за что.
По идее там не просто вшивают, а на винты прикручивают.
Буду ещё хирургов искать, ну а вдруг.
Аноним 21/02/25 Птн 15:14:08 1603557 15
>>1603528
>Мне подобное как-то один или два ортодонта предлагали
И ещё, эти ортодонты были хирургами?
Предлагать кто угодно может, а вот сделать.
Аноним 21/02/25 Птн 15:16:00 1603558 16
image 944Кб, 220x220
220x220
>>1603547
>На каждой десне по 4 зуба
Не понял. Что?

>Буду ещё хирургов искать, ну а вдруг.
Попробуй, успеха. Отпиши сюда, по результатам. Сам из ДС, мухосрань?

>>1603557
>И ещё, эти ортодонты были хирургами?
Этого не помню уже, пару лет прошло.
Но первый док говорил так, что вот это прям здесь же реализуемо и направлял к хирургу что в соседнем кабинете сидит.
Аноним 21/02/25 Птн 15:16:39 1603559 17
>>1603518
Алсо, на нёбе сейчас что в том месте, где кожу отрезали для пересадки?
Быстро заживало?
Аноним 22/02/25 Суб 00:59:51 1603741 18
>>1603558
В дёсны вдоль 4 зубов с каждой стороны вшили лоскуты с нёба.
Дёсны(именно мясо) стали заметно толще. У меня сама ткань на дёснах ещё тонкая. В идеале вдоль всех зубов такие лоскуты вшить, но нёбо так быстро восстанавливаться успевать не будет.
>>1603559
Ставят заплатку на нёбо, швы и заплатку сняли на 10 день.
Аноним 22/02/25 Суб 17:21:13 1603868 19
>>1603547
> На каждой десне по 4 зуба. 400+400$
400+400 баксов?
Или 400 баксов + 400к рублемассы?
Аноним 23/02/25 Вск 09:33:43 1604078 20
Аноним 24/02/25 Пнд 11:47:23 1604430 21
>>1603741
>Ставят заплатку на нёбо, швы и заплатку сняли на 10 день.
А что сейчас на нёбе в том месте, где кожу отрезали для пересадки?
Рубец, шрам, всратая кожа и т д?
Аноним 24/02/25 Пнд 12:54:48 1604444 22
1000008276.jpg 153Кб, 1080x381
1080x381
>>1602618 (OP)
Аналогичная проблема. Больше всего мне интересно разобраться в причинах. По моей скромной теории, это обычная цинга. В интернете никто не говорит об этой болезни, что очень странно.

Такое ощущение, будто у всех в сознании сидит стереотип, что цингой могут заболеть только мореплаватели 18 века, а сейчас это невозможно. Прикинув палец к носу я понял, что реально долгое время мало употребляю продукты в которых может содержаться витамин С, плюс отложения зубного камня на которое долгое время забивал, курение и так далее.

Я до сих пор не принял внутри себя тот факт, что десна опустилась и теперь никогда не будет как раньше. Печально.
Аноним 24/02/25 Пнд 14:54:28 1604475 23
>>1604444
Хуйга. Пойди сдай на витамин Ц (он у тебя будет в норме) и увидишь несостоятельность своей теории.
Аноним 24/02/25 Пнд 14:55:04 1604476 24
>>1604444
>Я до сих пор не принял внутри себя тот факт, что десна опустилась и теперь никогда не будет как раньше. Печально.
Будет если сделаешь операцию, нытик, вон как анон выше.
Аноним 25/02/25 Втр 05:12:06 1604630 25
Вчера разгладел у себя 3 оголенных шейки.
Сколько за 1 зуб в среднем выйдет если шейку тканью перекрывать?
Смотрел прайсы местных клиник, но там хуй проссышь в терминологии, нашел что-то про "закрытие корня материалом СДТ" за 8к, возможно это оно.
Аноним 25/02/25 Втр 16:30:21 1604724 26
>>1603547
Как реабилитация проходила? Небо сильно болело, ставили на небо заплатку из мукографта или капу делали?
Аноним 25/02/25 Втр 18:10:14 1604754 27
image 206Кб, 1100x564
1100x564
image 296Кб, 1100x746
1100x746
>мукографта
Этими мукографтами смотрю пластику десны делают. Кому такое делали, расскажите, как прошло?
Аноним 26/02/25 Срд 01:20:02 1604821 28
Ну че, у самого уже парадонтит, т.е нихуя не поможет, снизу зубы уже пиздец десна опустилась, сверху пару выпало просто что держаться не могут
Аноним 26/02/25 Срд 04:48:31 1604841 29
>>1604724
Даже не болело, так онемение было. Кровило и боль только сразу после операции немного, когда обезбол прошёл.
На нёбе что-то зашивали, но я не уверен, что туда пришили какой-то материал. Когда зашили, сверху нёбо покрыли пломбировочным материалом, так как фиксировали уф лампой.

Поле первой операции опухоль была заметной, но не слишком большой. После второй мне разбарабанило лицо так, что фингал под глазом появился.

Приходилось есть аккуратнее, первые 2-3 дня полоскал ромашкой/фурацилином чередуя каждые 4 часа.

К 10 дню всё зажило.
Аноним 26/02/25 Срд 04:50:28 1604843 30
Аноним 26/02/25 Срд 09:50:25 1604879 31
>>1604754
я читал что им зашивают место откуда аутотрансплонтат забрали. так как берут жесткую десну, а мукографт он тонкий, типа лоскут без объема. Ну и стоит дохуя он.
Аноним 26/02/25 Срд 09:52:23 1604880 32
>>1604754
а место откуда аутотрансплантат забрали потом регенерирует до прежнего объема. Такой источник возобновляемого мясца
Аноним 26/02/25 Срд 12:11:46 1604897 33
Аноним 26/02/25 Срд 12:12:50 1604898 34
>>1604841
>Поле первой операции опухоль была заметной, но не слишком большой. После второй мне разбарабанило лицо так, что фингал под глазом появился.
А чем отличалась первая от второй?
Аноним 26/02/25 Срд 15:30:36 1604935 35
>>1604898
Ничем - сначала справа сделали, потом слева.
Могла сыграть более сильная убыль кости во втором случае, но я не уверен.
Аноним 27/02/25 Чтв 11:13:15 1605149 36
>>1604897
20к за 1,52см
26к за 2
3см
Аноним 27/02/25 Чтв 11:18:42 1605150 37
>АЛСО, ЛЕЧЕНИЯ ЗУБОВ И СТОМАТОЛОГИИ ТРЕД СТАРТУЕТ ЗДЕСЬ
Йоу. Мне удалили последний нижний зуб и сразу поставили имплантат, прошло почти три недели лунка еще не затянулась, (причем у лунки одна стенка низкая изза этого сгусток там получился не выше самой низкой стороны) Какая-та белая поебота внутри вместо сгустка. Ниче не болит, не воняет. Читал в интернете что лунка закрывается за 2 недели, а у меня она как будто вчера зуб дернули. Это норм или альвеолит - гроб кладбище пидор?
Аноним 28/02/25 Птн 15:10:44 1605366 38
>>1604630
Да бля, аноны, скажите сколько будет стоить примерно на 3 зуба десну натянуть? Я нищеброд, нужно бюджет на такие вещи планировать заранее
Аноним 01/03/25 Суб 06:05:52 1605563 39
>>1604430
Рубца нет, просто ткань нёба, но пока ещё тонкая.
Ещё чувствителность высокая у неё, но не критично.
Аноним 01/03/25 Суб 06:06:22 1605564 40
>>1605366
100 долларов зуб в среднем.
Аноним 01/03/25 Суб 12:27:06 1605592 41
>>1605563
Спасибо за ответы анон
Аноним 02/03/25 Вск 03:57:01 1605719 42
>>1605592
Ещё есть подозрение, что сделали немного косячно.
Почитал статьи и там пишут про обработку корня зуба лимонной кислотой, чтобы десна лучше прирастала, но мне нихуя не обрабатывали.
Аноним 02/03/25 Вск 23:17:28 1605840 43
>>1605719
Ты это отпишись потом как время пройдёт. Не забывай тред, окей?
Аноним 04/03/25 Втр 14:41:17 1606110 44
>>1602618 (OP)
Анончики, посоветуйте зубную пасту с высоким содержанием фтора и ополаскиватель. Похоже, что у меня истощилась эмаль, так как зубы желтоватые и болезненно реагируют на изменения температур и сладкое. Пользуюсь колгейтом и листерином пока что.
депульпирование зуба Аноним 04/03/25 Втр 23:59:02 1606234 45
Кому удаляли нерв из зуба, расскажите, как всё прошло.
Прочистка каналов заживление и вот это всё. Как долго депульпированный зуб продержался и что с ним было потом?
Аноним 05/03/25 Срд 03:20:33 1606271 46
>>1606110
Мне сенсодин помогает. В лакалюте тоже много.
Ещё есть гель рокс, но его только с каппой на ночь.
Аноним 05/03/25 Срд 06:43:41 1606286 47
>>1603518
>Брекеты двигают зубы. Там где был зуб частично зарастает новой костью, там, куда зуб двинули кость убывает
А разве убыль кости от брекетов не из-за почти обязательное удаление нескольких зубов перед установкой? Тебе удаляли зубы?
Аноним 05/03/25 Срд 10:01:32 1606306 48
>>1606110
дюрафат, но это паста на курс.
Аноним 05/03/25 Срд 10:03:44 1606307 49
>>1606286
удаление зубов для расширения места в зубном ряду это дилетантство. Лучше так не делать.
Аноним 05/03/25 Срд 10:11:31 1606311 50
>>1606234
а какие нюансы? если нет периодонтита, за один присест почистят канал и зальют горячей гутаперчей. Самое больное это укол. Делов на два часа. Если во время лечить зубы после этого и все нормально с прикусом - простоит долго, у меня стоят больше 20 лет. Можно для надежности поставить коронку, где-то 30к. Лучше делать в нормальной клинике, где есть микроскоп, а не в кабинете на районе. Ибо плохо пролеченый канал может привести к периодонтиту (кисты, гранулемы вот это вот все), а это в лучшем случае повторное прелечивание, в худшем повторное перелечивание и хирургическое удаление верхушки корня/удаление зуба.
Аноним 05/03/25 Срд 10:24:04 1606314 51
>>1606311
>а какие нюансы?
Стоматолог осмотрел кариес, сказал, что если бурить будет, чтобы почистить, может до нерва дойти, а тогда нерв придётся удалять.

Прикус не самый правильный, но не критичный.

Ответь плз
1) У тебя на какой челюсти делали?
2) Коронку ставил или нет?
3) Что портится больше в депульпированном зубе в отличие от здорового? Эмаль быстрее стирается?
Слышал, что при установке коронки могут быть проблемы с десневыми пазухами.
Аноним 05/03/25 Срд 10:43:56 1606320 52
>>1606314
1) У тебя на какой челюсти делали?
На обоих, зубов 5 или 6 не помню точно.
2) Коронку ставил или нет?
На два ставил, потому что там зуба уже почти не осталось.
3) Что портится больше в депульпированном зубе в отличие от здорового? Эмаль быстрее стирается?
При современном грамотном лечении и регулярных осмотрах (на предмет разгерметезации пломб), ничего портится не будет. Разве что у некоторых зубы сереют, у меня такого не было.
>Слышал, что при установке коронки могут быть проблемы с десневыми пазухами.
Это если коронка анатомически не верная, это либо косяк зубтехника, либа адаптация под неправильный прикус, если соседние зубы завалены. И если коронка из металлокерамики место прилегания синеет иногда, делай либо диоксид циркония или керамику.

в целом все это хуйня и не повод для переживания, главное в лечении каналов, не кроить по баблу и делать в норм клинике (микроскоп обязательно (так как глазами можно не увидеть канал и не всегда его видно на кт), горячая гутаперча (а не штифты гутаперчи и тем более не кальцевая паста) для пломбировки канала, опционально лазер для стерилизации канала).
Ну и рекомендую сделать клкт, если не пригодится в этот раз, по крайней мере будет у тебя "паспорт" твоих зубов и каналов цена в пикассо около 3к.
Аноним 05/03/25 Срд 13:00:56 1606342 53
>>1606286
>А разве убыль кости от брекетов не из-за почти обязательное удаление нескольких зубов перед установкой?
Нет, убыль из-за того, что я описал.
Аноним 05/03/25 Срд 13:12:52 1606345 54
>>1606234
Пришёл с болью.
Долго сверлили, почти до пульпы. Чувствительность сохранялась под анестезией немного. Сказали воспаление, надо депульпировать.
Положили мышьяк и сделали временную пломбу.
Через пару дней на приёме всё вычистили, проверяя рентгеном и каким-то глубокомером, запихали гуттаперчу, подплавили её.
К процессу претензий нет - я почитал, как сейчас делают и всё прямо по инструкции.

Уже год как стоит. Хз, что дальше. Коронку пока не ставил.
Аноним 05/03/25 Срд 13:19:36 1606350 55
image.png 95Кб, 284x210
284x210
image.png 22Кб, 82x127
82x127
>>1606345
На снимке зуб вот так выглядит
Аноним 05/03/25 Срд 13:24:20 1606351 56
>>1606320
Спасибо за подробный ответ.

>горячая гутаперча (а не штифты гутаперчи
А тут можно подробнее?
Это про временную пломбу, верно?
Алсо, что туда закладывают сейчас, чтобы убить остатки нерва? Раньше яд какой-то клали, сейчас что? Док сказал какое-то лекарство, я не уточнял.

>>1606345
>Положили мышьяк
Как с мышьяком ходил, какие подводные? Не стрёмно что во рту ебучий яд?
>Уже год как стоит.
Чувствительности у зуба теперь никакой, хоть молотком по нему стучи?
Аноним 05/03/25 Срд 13:52:50 1606357 57
>>1606351
Как с мышьяком ходил, какие подводные? Не стрёмно что во рту ебучий яд?
Вообще пофиг, только временная пломба на соплях.

Чувствительности нет.
Аноним 05/03/25 Срд 15:19:10 1606369 58
>>1606351
>А тут можно подробнее?
Нет это материал типа каучука или резины, им заполняют канал и сверху ставят уже пломбу. Раньше 10+ лет назад каналы заполняли кальциевой пастой, у нее минус что она рассасывается со временем и в пустом канале может начатся жизнь. Потом стали забивать канал каучуковыми прутками, но самый лучший вариант это заливают жидкой резиной, она заполняет все хитрые изгибы канала и затвердевает.
>Алсо, что туда закладывают сейчас, чтобы убить остатки нерв
Ничего, раньше клали мышьяк что бы убить нерв, для безболезненого удаления. современная проводниковая анестезия полностью выключает нерв и его сразу удаляют.
>Чувствительности у зуба теперь никакой, хоть молотком по нему стучи?
На самом деле чувствительность у зуба есть только при повреждении эмали. Депульпированный зуб так же как и не депульпированный передают нагрузку на альвеолярные связки, так что если ты попытаешься грызть камни будет неприятно в обоих случаях.
Аноним 05/03/25 Срд 15:22:55 1606370 59
>>1606357
мышьяк это пиздец древние технологии, может в сельской местности это еще делают или по омс, я бы не стал лечиться в такой клинике. Есть варик что ты путаешь, и закладывали тебе не мышьяк. При лечении периодонтита, канал дизинфицируют и закладывают препарат кальция, а через месяц уже пломбируют канал.
Аноним 05/03/25 Срд 15:58:35 1606379 60
>>1606370
Мышьяк никто не юзает но все по старой памяти называют им любой препарат закладываемый в дырку под временную пломбу, удобно звучно и доходчиво чем объяснять пациенту че это за хуйня. Но по омс разнести тебе полчелюсти, подпилить корни соседних здоровых зубов и оставить в десне осколки кости пополам с дьявольской болью эт хоть сейчас, не вымерла советская школа и бабки с самым лучшим советским образованием сука проклята блядь.
мимокат
Аноним 08/03/25 Суб 04:01:11 1606802 61
>>1606379
Нууу не только бабки, порой и пиздючки, что по ОМС работают
Короч, пришел я тупо лечить кариес. Пока лечили стончили одну из стенок, что она ебнула не выдержав пломбы.
Лан, пришел чтобы залечили. Поставили бля какую-то перегородку, что убила нахуй стенку соседнего зуба и ебнула первый зуб до самого основания. Пошел позже лечить уже на этом зубе нерв (ну тут в платную). лечили-лечили. Недолечили. Нерв недопломбировали так, что случился флюс как раз между этими зубами. Пошел лечить флюс. Зуб рассверлоили, соседний зуб нерв ебнули ибо нехуй. Сказали, у нас по ОМС лапки, так как надо под микроскором, а микроскопа даже по ДМС нет, но зуб рассверлили и поставили гипсовую времянку. В итоге у меня раздолбанный зуб из-за чего у соседнего стеночка таки перестала существовать и я коплю уже год с этим делом на лечение ибо дорого, шо пиздец и ебать его нахуй
Аноним 08/03/25 Суб 04:11:43 1606803 62
НУ и раз уж вылез из ридонли. ДМС имеет смысмл, если уже пиздецомы и я явно буду на весь ДМС лечение делать
Аноним 08/03/25 Суб 11:18:56 1606824 63
>>1606802
Не лечи зубы по омс.
Аноним 08/03/25 Суб 18:54:21 1606931 64
>>1606234
>Как долго депульпированный зуб продержался
Есть один, депульпированный 20 лет назад. В прошлом году врач сказала там у тебя киста, надо пройти каналы повторно. Прошла, коронку сказала можно пока не ставить, костной ткани много. Так что рандом.
Аноним 08/03/25 Суб 20:33:26 1606941 65
>>1606824
По ДМС тоже лучше не лечить. Особенно каналы.
Аноним 08/03/25 Суб 20:36:34 1606942 66
>>1606931
Киста потому что канал пролечили хуево, 20 лет назад делали ещё по советски. Типа если что, вэлком на резекцию или удаление.
Аноним 11/03/25 Втр 19:32:47 1607542 67
>>1606941
Не собирался.

>>1606931
>>1606942
Киста внутри зуба, в канале?
Как то ощущалась вообще?
Как обнаружили кисту эту?
Аноним 12/03/25 Срд 09:49:43 1607675 68
Group-4-5.png 321Кб, 860x355
860x355
>>1607542
>Киста внутри зуба, в канале?
нет, киста за пределами зуба на конце корня. Происходит из-за того что в канале инфекция, она выходит за пределы зуба в кость образуя очаг воспаления, который организм изолирует фиброзной тканью.
>Как то ощущалась вообще?
В большинстве случаев - хронический периодонтит никак себя не проявляет, может годами быть и пидарнуть при ослаблении иммунитета, может произойти дренаж содержимого через десну - т.н. свищ - что-то типа белого прыща на десне, может так же ощущаться при надавливании в области дислокации. Реактивный периодонтит - обычно вызывает, боль, отек, температуру - то что обычно называют флюсом.
>Как обнаружили кисту эту?
Сделать рентген или КТ.
Аноним 12/03/25 Срд 10:13:14 1607679 69
>>1607675
>периодонтит
Спасибо большое за ответы, анон. Дай Бог тебе здоровья.
Аноним 14/03/25 Птн 15:06:56 1608093 70
Со вчерашнего дня (именно резко со вчерашнего) начался странный прикол.

Если определенным хитровыебанным образом надавить щекой на шестой верхний зуб (шестой по счету от переднего), то его простреливает ЕБАТЬ мощной болью. Если не ожидаю этого (задумался и случайно сделал) - разумеется, тут же отдергиваюсь и дальше боль мгновенно пропадает. Если пытаюсь воспроизвести это специально, заранее ожидая боль, и держу щеку в таком положении 2-3 секунды - то после этого (когда уже убрал такое положение щеки) приходит вторая волна боли, которая УХ БЛЯ, мало того, что бьет там комком в этом зубе, так еще и простреливает отголосками / таким "щекочащим эхом" вдоль всей челюсти вперед и даже отдает в нижней челюсти, которая, казалось бы, с верхней совсем не связана, и от этой совокупной острой боли что-то даже сердцу херовато. Ощущения вот этой второй волны очень острые и хуевые, самая сильная зубная боль на моей памяти. Это медленно проходит в течение минуты или около того, после чего в том месте сохраняется такая беспокоящая "чесотка" еще на несколько минут. Но это именно если нажать и держать щекой.

"Надавить щекой ололо" - да, мне тоже смешно, но факт. Не просто надавить щекой, а совершить действия как при выплевывании воды с зубной пастой и вытирании губ пальцами - когда губы вытянуты вперед и ты создаешь во рту такой вакуум, хз.

Ощупываю зуб и десну языком - ноль реакции, ноль боли. Пальцем - то же самое. Зубочисткой - тоже. Едой - тоже, буквально могу этим зубом активно жевать любую пищу и никакой боли, даже намеков. А когда делаю вышеописанное и щека каким-то хитрым образом прижимается к зубу - простреливает мощной болью.

Какого хуя?
Аноним 14/03/25 Птн 22:34:47 1608129 71
>>1608093
Открытый дентинный каналец м.б.
Аноним 15/03/25 Суб 02:43:54 1608145 72
>>1608093
Нууу чел, по описанным ощущениям у тебя походу трещина в зубе, которая открыла канал в ад нахуй к нерву и нажимая ты щекотишь нерв, который позже дает о себе знать
Аноним 15/03/25 Суб 12:59:05 1608194 73
Аноны, каким образом можно продлить жизнь зубу, который уже повидал некоторое дерьмо и готовится к отбытию? Криворукий стоматолог наткнулся на нерв, когда лечил кариес. С тех пор зуб побаливает, но что хуже, будучи передним, потемнел как ни странно полосой по середине. Ходил потом к другому врачу, сделали кт, типа все норм, можно подождать и не выдирать нерв, потому что один хрен потом коронку ставить. Пока на обезболе не сидишь типа не приходи. Не сижу, но серый зуб раздражает. Пробовал холисал, какой-то гель с кальцием от рокс, сука побелел соседний зуб, а этот еще больше выделяется.
Аноним 15/03/25 Суб 13:39:46 1608196 74
>>1608194
Депульпировать зуб в норм клинике и поставить коронку. Если зуб серый пульпе пиздец, нерв нужно удалять. Щабьешь хуй, будешь ещё потом периодонтит лечить.
Аноним 15/03/25 Суб 14:05:18 1608202 75
Раз тут стоматологический тред, поясните, как может быть такое, что у меня дальний зуб медленно, но верно разваливается, там уже части от него откололись и, по ощущениям, середина оголилась дыркой, но он вообще ни разу и никогда в жизни не болел? Разве я не должен был начать выть волком от боли при первых этапах этого?
Аноним 15/03/25 Суб 14:53:19 1608215 76
>>1608196
Не точно выразился, он даже не серый весь, как будто темнее и желтее по центру, сверху и снизу обычный, и поднывает иногда. Хз, два стоматолога уже сказали ждать.

Кт вообще информативный в плане всех этих инфекционных и отмирающих процессов?
Аноним 16/03/25 Вск 00:46:03 1608310 77
image 29Кб, 500x500
500x500
Кому делали СЕДАЦИЮ в стоматологии?
Поведайте, каково это, в каком возрасте вам делали, какие подводные камни? Остаёшься ли в сознании, какие ощущения?
Аноним 16/03/25 Вск 05:45:13 1608344 78
>>1608202
Иди к врачу, вероятно депульпация и коронка, возможно и просто коронка.
Аноним 16/03/25 Вск 05:46:11 1608345 79
>>1608215
Возьми пьезоэлемент от зажигалки и дай искру на этот зуб, если будет боль, то нерв ещё жив.
Аноним 16/03/25 Вск 07:58:54 1608350 80
>>1608344
Да, но я спрашивал не об этом. Почему этот зуб совершенно никогда не болел, даже чуть-чуть, несмотря на разрушение?
Аноним 16/03/25 Вск 08:54:04 1608354 81
>>1608345
Есть нормальная метода - фриз-тест. На ватную палку наносится состав который в моменте охлаждается до -70 если зуб не чувствует холода, то кирдык
Аноним 16/03/25 Вск 08:55:12 1608355 82
>>1608215
КТ покажет пустой канал или полный
Аноним 16/03/25 Вск 11:42:43 1608364 83
> Полирование зубов верхней челюсти Prophyflex - 2100 руб
> Полирование зубов нижней челюсти Prophyflex - 2100 руб
> Снятие зубных отложений с помощью скейлера (с верхней челюсти) - 1800 руб
> Снятие зубных отложений с помощью скейлера (с нижней челюсти) - 1800 руб
> Медикаментозная обработка десен (на одну челюсть) с применением 3% Перекиси водорода, 0,05% Хлоргексидина биглюконата, р-ра Метрогила, Метрогил Дента - 1700 руб
> Медикаментозная обработка десен (на одну челюсть) с применением 3% Перекиси водорода, 0,05% Хлоргексидина биглюконата, р-ра Метрогила, Метрогил Дента - 1700 руб
> Ремотерапия (одно посещение) - 2600 руб

> Сумма = 13800 руб

Это насколько адекватные цены за сеанс проф чистки зубов перед остальными процедурами?
Аноним 16/03/25 Вск 11:45:59 1608365 84
>>1608344
> возможно и просто коронка
Вот за такое я бы въебал. А если че, то че коронку вскрывать и потом опять ставить. лучше в любом случае нерв убирать
Аноним 16/03/25 Вск 11:58:16 1608367 85
>>1608364
Какая-то оверпрайс хуита.
Чистка дороже 5к обдиралово.
Аноним 16/03/25 Вск 12:10:12 1608368 86
>>1608367

А как тебе вот такое про подозреваемый пульпит/периодонтит на жевательном зубе?

Применение коффердама = 600 руб
Лечение пульпита/периодонтита с применением микроскопа (1-е посещение) 4к = 16400 руб
Промежуточное посещение с применением микроскопа = 6800 руб
Лечение пульпита/периодонтита с применением микроскопа и пломбировочными материалами Thermafil, Harmonize (2-е посещение) 4к = 27500

= 51300

СПБ
Аноним 16/03/25 Вск 12:12:10 1608369 87
Кстати, если мне выдали результаты КТ челюстей на диске, я могу с этим прийти в какую-то другую клинику за альтернативным мнением, или у всех свои форматы?

(на диске некий Planmeca Romexis Viewer - Romexis_Viewer_Win.exe для винды, Romexis_Viewer_OS_X.app - и папка data с результатами скана)
Аноним 16/03/25 Вск 12:15:31 1608370 88
>>1608368
Хз.
Мне в Ташкенте депульпацию в два посещения сделали за 7к примерно. Не было микроскопа, но были снимки в процессе и хуита измеряющая глубину, которая пищит.
Коффердам был.
Аноним 16/03/25 Вск 13:17:56 1608376 89
>>1608354
Ну на холод он не особо реагирует, как и все обычные зубы.
У меня вообще семерки задние нижние чуть темнее обычных, ничего там кроме кариеса не было и никак не беспокоят годами. Врач один говорил, типа возрастное, что зуб темнее становится не черным гнилым разумеется
Вот и хз, что там и как на самом деле. Вспоминаю откровения стоматолога на дваче, что он до последнего так же со своим больным нервом ходил. Одно больше раздражает, эстетика, но походу ничего с ней уже не сделаешь.
>>1608355
Бля, ну и нахой разводят на КТ по любому поводу, если снимка достаточно? Еще и не отдают потом снимки. Есть еще врачи, которые не пользуются своими "цифровыми технологиями" без серьезной нужды, где их блин искать?
Аноним 16/03/25 Вск 13:28:21 1608378 90
Есть разрушившаяся запущенная верхняя семерка. Да, долбоеб и сам виноват, но она не болела и у меня была затяжная диагностированная депрессия и мне было поебать. В целом мнения врачей сходятся на том, что ее не спасти и с ней надо будет расставаться.

Рядом с ней есть непрорезавшаяся восьмерка, которая никогда меня никак не беспокоила болью или воспалением тканей, но сканы (от разных клиник, уже не в первый раз) показывают, что если она решит расти, то она будет расти прямо в семерку. А мб уже и пыталась, мб в том числе от этого семерка и разрушилась.

Семерка сейчас мешает лечить шестой зуб и творит там что-то непонятное. Возможно, что проблемы шестого зуба вызваны давлением семёрки. А мб и не вызваны.

Насколько плохой идеей будет удалить семерку и после этого забить на установку импланта? С деньгами у меня не очень. Пусть восьмерка попробует вылезти, если захочет. С удаленным и не имплантированным дальним жевательным зубом норм живут?
Аноним 16/03/25 Вск 15:05:52 1608389 91
>>1608378
У меня похожая история была, восьмерка вылезла почти на место семерки, потом зубы сдвинулись, теперь ее от удаленного зуба не отличить. Но у меня в принципе места для зубов мало.
Аноним 16/03/25 Вск 22:01:08 1608451 92
>>1608376
Мертвый зуб не почувствует ничего при фризтесте, здоровый зуб почувствует холод.
Аноним 17/03/25 Пнд 01:11:20 1608474 93
нижняя восьмерка повернута на 90 градусов. Я вот хз, такое надо удалять или че
Аноним 17/03/25 Пнд 02:29:20 1608478 94
>>1608310
Если ты не какой-то тревожный шиз, то седация тебе не нужна. Дефолтного укола хватает, чтобы ты 98% времени приема не чувствовал боли.
Аноним 17/03/25 Пнд 02:38:55 1608479 95
>>1608368
Ну оверпрайс. Мне четырехканальный зуб от пульпита фиксили тыщ за 35 в 2023 в дс.
Аноним 17/03/25 Пнд 05:37:41 1608487 96
>>1608370
Перепроверил, я напиздел.
Вышло примерно 9к. Чуть меньше 100 баксов на тот момент.
Аноним 17/03/25 Пнд 09:44:34 1608496 97
>>1608364
Перекиси водорода, 0,05% Хлоргексидина биглюконата, р-ра Метрогила, Метрогил Дента - 1700 руб

Перекись 30р балон
Хг 30р балон
Метрогил 300р тюбик
Вот и делай выводы. Правда зачем это все при гигиене не понятно. Как писал Анон выше 5к норм цена.
Аноним 17/03/25 Пнд 09:47:10 1608497 98
>>1608369
Все КТ, МРТ и прочие цифровые снимки делают в одном формате - dicom, если тебе говорят что у нас программа такое не открывает - это развод.
Аноним 17/03/25 Пнд 09:50:34 1608498 99
>>1608368
Цена выше среднего. Не понятна формулировка подозреваемый периодонтит. Он же отчётливо виден на КТ.
Аноним 17/03/25 Пнд 11:43:57 1608507 100
>>1608498
На КТ не увидели. "Подозреваемый" - это моя формулировка.

Ситуация такая: >>1608093 - зуб не реагирует болью на жевание, касание языком, чистку зубной щеткой, НО я могу сделать больно (как будто прямо по оголенному нерву), если прижмусь к нему щекой определенным образом, примерно как если вжать щеки и произнести "ууу", вытянув губы и щеки вперед. Я хз почему я не могу это воспроизвести даже прижиманием щеки к зубам пальцем. У меня впечатление, что внутренняя поверхность щеки в случае таких телодвижений как-то очень удачно заскальзывает прямо в нужную точку зуба, которая и вызывает боль. Со времени того сообщения я, пожалуй, могу сказать точнее, что болит, скорее всего, в области между 6 и 7 зубом, но болит именно 6-й, 7-й не болит. Врач предположила "ну мб у вам там скопился карман застрявшей еды под десной, давайте запишу вас для начала на чистку", но я че-то хз, я знаю, как ощущается воспаление десны от набившейся хуйни (не именно в этом месте у этого зуба, а в другой части рта), и это не оно, тут ощущения именно боли нерва/зуба/пульпы, а не просто некоего давления и болезненного раздражения десны. Никакого опухания десны там тоже нет.
Аноним 17/03/25 Пнд 12:57:58 1608514 101
>>1608496
Единственное что норм - ультразвуковая чистка камня
Аноним 17/03/25 Пнд 13:15:36 1608517 102
>>1608514
да тоже дохуя, скайлером повозюкать 3600. Домашний девайс за рубль можно взять или насадку для уз щетки за 300. Темболее большинство отложений айрфлоу сбивает, скайлером сбивают уже такие конкретные отложения.
Аноним 17/03/25 Пнд 14:04:38 1608521 103
>>1608517
Сейчас чистку даже по ОМС можно сделать
Аноним 17/03/25 Пнд 14:49:01 1608529 104
>>1608478
По сабжу есть что ответить?
У меня не везде артикаин берёт.
Аноним 17/03/25 Пнд 14:49:35 1608530 105
Аноним 17/03/25 Пнд 15:50:54 1608537 106
Йо, завтра иду лечить 7 или 6 пульпит по ОМС. Бабок не успел скопить. А уже чую может хуйнуть следующая стадия
Аноним 18/03/25 Втр 06:19:55 1608640 107
>>1608537
Еба, с 5 по 7 лечить. Хуйнули лекарство, сделали снимок и отправили. Больше а очереди торчал. Теперь только 10 апреля
Аноним 18/03/25 Втр 07:54:17 1608644 108
>>1608640
Лекарство разве не в каналы закачивается после их вскрытия и вычищения?
Аноним 18/03/25 Втр 11:05:08 1608663 109
>>1608644
Ну не лекарство, а типо мышьяк
Аноним 18/03/25 Втр 11:45:36 1608669 110
>>1608644
при периодонтите, кальциевая паста закладывается под временную пломбу.
Аноним 18/03/25 Втр 11:47:31 1608670 111
>>1608663
эбонись, технологии древности. это типа по омс мышьяком нервы убивают? Я думал карательная стоматология почила с девяностыми.
Аноним 18/03/25 Втр 13:30:52 1608687 112
>>1608670
Нет, но по привычке эту хуетень называют мышьяк
Аноним 18/03/25 Втр 17:30:53 1608740 113
Сап.
Есть один ВНЧС. Когда-то давно врачиха-пидараска во время лечения зубов придерживала локотком нижнюю челюсть чтоб она не смыкалась, и так наверное в течение часа-полутора. После этого я ощутил все прелести вывиха ВНЧС. Со временем прошло, но к врачам с тех пор не ходил до 22 года (впервые лет за 8-9). Сходил, охуел от цен и оставил на потом излечение одного из зубов с правой стороны челюсти. Там уже одна стенка откололась, зубу пизда, а денег все нет и нет. В общем, несколько лет я жую в основном на левую сторону. Ну и разумеется сустав слева несколько охуел от этого. На днях во время набивания рта едой и одновременно улыбнувшись я почувствовал какую-то "щекотную" простреливающую боль в районе не то шеи, не то челюсти. Спустя пару дней это повторилось. Пальпацией нащупал угол нижней челюсти и чуть выше нее, сбоку от прикрепления уха, как раз оказалось побаливающее при надавливании место. Это ВНЧС? К кому идти, сколько бабла готовить (которого один хуй нет), как исправлять? Если в суставе артроз окажется, ему пизда безвозвратно? Или может это не в суставе дело? Просветите, кто разбирается, пожалуйста.
Аноним 18/03/25 Втр 18:50:05 1608748 114
implantscategory.png 20Кб, 300x315
300x315
> СТОМАТОЛОГИИ ТРЕД СТАРТУЕТ ЗДЕСЬ
На одном стуле корейские импланты Osstem за полсотни тыщ (с компенсацией десятки от работодателя), на другом - немецкие Impro за сотню, всё из своего кармана.
Дайте советов мудрых.
Аноним 18/03/25 Втр 21:44:18 1608763 115
>>1608748
50 за дентиум дорого. 30 -40 норм цена без мультиюнита.
В целом норм имплантат, но я бы выбрал штрауманн. Хотя криворукий оператор может запороть и то и то.
Аноним 18/03/25 Втр 21:46:17 1608764 116
Аноним 18/03/25 Втр 22:07:39 1608768 117
>>1608763
> 30
Как-то ненадёжно звучит. Это точно простоит всю жизнь?
Я тут полистал свой архив возврата налоговых вычетов, и там мамке ставили какое-то Альфа-Био. Гугл говорит, что оно израильское и дешёвое. И там как раз весь зуб с коронкой в 35к вышел в 2023 году...
> я бы выбрал штрауманн
Чтобы мне такое выбрать, придётся все стоматологии города обойти (по телефону ж они нихера не скажут в подробностях). А я так хотел ограничить выбор двумя пунктами - ближняя, куда я обычно хожу, и вторая, с которой работает моя страховая по ДМС...
Аноним 18/03/25 Втр 22:38:29 1608774 118
изображение.png 185Кб, 516x476
516x476
>>1608768
> Чтобы мне такое выбрать, придётся все стоматологии города обойти
Так_блэт.jpg
То ли врачу настолько похуй на мимокроков, которые заглядывают спросить "а какие импланты у вас ставят", то ли у них разные врачи работают с разными брендами, но в прейскуранте на сайте я нашёл вот это...
Аноним 18/03/25 Втр 22:54:05 1608779 119
gotovye-tipy.jpg 122Кб, 1100x618
1100x618
>>1608768
30 это имплантат без коронки и абатмента, штрауман в полтора раза дороже. Они много где есть, т.к. это одна из лучших систем. Разница в целом не велика, но у штрауман стык с абатментом находится выше уровня альвеолярного отростка, что является дополнительной защитой от попадания инфекции непосредственно между костью и имплантатом. Штрауман это3 на картинке дентиум и осстем второй. Можешь почитать неплохую статью о типах имплантатов https://implant-in.com/2017/01/21/4251/
Аноним 18/03/25 Втр 22:57:07 1608780 120
>>1608740
Если тебе лечили моляры то анестезию вкалывают в ветвь из-за этого несколько дней могут быть неприятные ощущения в области сустава.
Аноним 18/03/25 Втр 23:36:33 1608789 121
>>1608779
> почитать неплохую статью
> Рекомендация #2. (для пациентов). Выбирайте не импланты, а имплантолога.
Ну ё-ё-ёбаный в рот... Чуда не случилось, здесь опять советы стратегического уровня. А как именно пациентам, не крутившимся в этой сфере двадцать лет, стать ёжиками выбирать имплантолога, ни слова не сказано...
Аноним 19/03/25 Срд 00:45:20 1608802 122
Ну раз за импланты. Съёмные или постоянные?
Аноним 19/03/25 Срд 01:51:21 1608809 123
>>1608669
Ну вот я и спрашиваю: что значит абстрактное "под временную пломбу". Какой смысл просто хуйнуть пломбу на зуб с пульпитом/периодонтитом, не удалив каналы/нервы?
Аноним 19/03/25 Срд 02:41:09 1608811 124
>>1608809
Тебе сначала рассверливают до нерва. Потом в нерв закладывают хуйню, которая нерв убивает. Потом уже остальное
Аноним 19/03/25 Срд 07:03:26 1608821 125
>>1608802
Как имплант может быть съемный? Конечно постоянный.
Аноним 19/03/25 Срд 07:06:57 1608823 126
>>1608809
Вскрывается канал, вычитается все остатки разложения и деятельности бактерий, закладывается кальциевая паста (канал нельщя оставлять пустым) и ставится временная пломба, через месяц пломба снимается, убирается паста и если никаких симптомов бактериальной тусовки в канале нет & канал пломбируется гуттаперчей и ставится постоянная пломба на коронку.
Аноним 19/03/25 Срд 07:09:36 1608824 127
>>1608811
Рассверливаюит до нерва и удаляют нерв и чистят канал, удаляют повреждённые ткани пульпы. Если не было осложнений сразу же канал пломбируют. Все в один прием.
Аноним 19/03/25 Срд 07:58:03 1608829 128
>>1608823
>>1608824
Теперь понятно. Меня смутило, почему тот анон выше пишет, что ему в первый же прием "хуйнули лекарство". Это означает, что сразу же высверлили насквозь каналы, залили в них кальций и сразу же поставили временную пломбу?

>и ставится постоянная пломба на коронку.
Пломба (в обычном кариесном понимании), или обязательно коронка, которая, как я понимаю, для спиленных зубов с пиздец поврежденной наружной частью?
Аноним 19/03/25 Срд 09:02:51 1608836 129
>>1608829
>что ему в первый же прием "хуйнули лекарство"
я тоже не понял. у него либо вторичная чистка канала может быть, периодонтит возможно.
>Пломба (в обычном кариесном понимании)
да. на коронку зуба в анатомическом смысле (ну то есть у зуба есть корень и коронка), а не ортопедическая конструкция.
>обязательно коронка
не обязательно, но желательно. В зависимости на сколько были расширены каналы при проходе и на сколько коронка зуба состоит уже из пломбировочного материала (при более 50% желательно). Ну и депульпированный зуб конечно более хрупкий.
Аноним 19/03/25 Срд 10:51:22 1608842 130
Аноним 19/03/25 Срд 11:02:36 1608844 131
>>1608310
Остаёшься ли в сознании
в зависимости от типа седации. При поверхностной назальной седации типа закиси азота остаешься.
При внутривенной седации типа пропофола уходишь в сон.
Аноним 19/03/25 Срд 11:02:39 1608845 132
Какие коронки лучше, циркониевые или керамические?
Аноним 19/03/25 Срд 11:07:50 1608847 133
>>1608845
диоксид циркония (с керамическим покрытием если в зоне улыбки)
Аноним 19/03/25 Срд 11:10:26 1608849 134
Аноним 19/03/25 Срд 11:11:08 1608850 135
>>1608844
Тебе какую делали? Пили подробности.
Аноним 19/03/25 Срд 11:26:21 1608855 136
>>1608849
керамика хрупкая, цирконей крепче и долговечней.
Аноним 19/03/25 Срд 11:28:30 1608857 137
>>1608850
мне делали внутривенную в качестве интро к полноценному наркозу на севоране. Так что мой опыт не показателен.
Аноним 19/03/25 Срд 11:32:14 1608858 138
>>1608857
А в чём смысл, почему сразу общий наркоз не поставили?
Делал где, обычная стоматологическая клиника или крупная больница?
Аноним 19/03/25 Срд 12:07:17 1608870 139
>>1608780
Не, мне сто лет уже ничего не лечили, особенно с той стороны.
Аноним 19/03/25 Срд 12:25:25 1608876 140
>>1608824
>Все в один прием.
Удивительно что все врачи к которым я ходил в последнее время говорили что это редкий случай когда пульпит лечится за один прием, т.к. процедура его лечения требует нескольких заходов с разными процедурами, от 2 до 3, включая лечение каналов, установку временной пломбы, вхуяривание гуттаперчи и финальное формирование поверхности восстановленного зуба. Врачи все были толковые. Че это за суперскорость? Может ты просто говоришь про зуб у которого 1/100 поверхности повреждена и там вмешательств практически не требуется?
Аноним 19/03/25 Срд 12:57:46 1608888 141
>>1608824
>>1608876
Я лечил в один приём. Тебе по сути неживую нерв дёргают и потом каналы чистят. Часть таких зубов скрошилась
Аноним 19/03/25 Срд 12:58:21 1608889 142
>>1608821
Имплант нет, а зуб на нём да
Аноним 19/03/25 Срд 13:05:18 1608890 143
>>1608858
>А в чём смысл, почему сразу общий наркоз не поставили?
потому что интубация "бодрствующему" пациенту не понравится.
>Делал где, обычная стоматологическая клиника или крупная больница?
больница члх
Аноним 19/03/25 Срд 13:09:47 1608893 144
>>1608876
это от того насколько у тебя там все погнило в канале зависит. Ну и от колличества каналов.
Аноним 19/03/25 Срд 13:14:16 1608895 145
>>1608889
Коронка т.е., мыж про имплантаты говорили, а не про ортопедию... Коронка условно съемная (но бывает и не съемная на цементе). Сама коронка приклеена на абатменту вся конструкция притягивается насквозь винтом и сверху отверстие закрывается композитной пломбой. На цемент коронку наверно уже не ставят. этот цемент нужно вычищать что бы он не попал под десну, иначе периимплантит, кладбище, пидор.
Аноним 19/03/25 Срд 14:17:02 1608926 146
Раз зашла речь про коронку, расскажите, какова обычно судьба коронки на своем зубе (на своем корне, не на импланте)?

Имею коронку на втором зубе сверху, уже 6.5 лет. Не помню, из какого материала. Не самая-самая йоба, но выглядит вполне приемлемо натурально. На просвет можно отличить, что коронка. Все это время коронка и этот зуб (естественно, с удаленным нервом внутри) меня никак не беспокоят. Между ним и передним первым зубом иногда забивается налет и иногда приводит к покраснению десны там, но я это вычищаю и дальше снова долго нет проблем. Стараюсь не кусать этим зубом сильно, во всяком случае, твердую пищу.

Что ждет такой зуб? Однажды коронка при очередном укусе мощно треснет, кусок застрянет так, что будет не закрыть рот, распидорасит все во рту рикошетом? Или однажды коронка решит по приколу отклеиться? Или за много лет там все-таки неминуемо когда-нибудь начнет гнить под ней?
Аноним 19/03/25 Срд 14:40:11 1608930 147
>>1608926
>Что ждет такой зуб?
для того что бы ничего не случилось нужно регулярно проходить осмотры у стоматоглога. дискомфорт связан либо с тем что попадает пища изза анатомии коронки, соседних зубов или нарушения контактных пунктов. Коронки из металлов обычно не ломаются, но вот цемент может деградировать, что приводит к подвижности, нарушения герметичности и.т.п, обычно симптоматику выдает состояние мягких тканей вокруг зуба.
Аноним 19/03/25 Срд 14:43:07 1608931 148
>>1608926
ну и гигиена за ортопедическим конструкциями нужна боле тщательная чем за обычными зубами, так как мягкие ткани не прирастают к протезу. Ирригатор, нить флосс, монопучковая щетка, ершики вот это вот все.
Аноним 19/03/25 Срд 15:46:25 1608943 149
>>1608926
А как проходит вообще процесс установления коронки, помимо лечения пульпита? Никогда не делал, но походу грозит прям на передний зуб. Интересно, долго ли я буду шататься с дыркой, как гопота. Снимки, кт много делают?
Аноним 19/03/25 Срд 15:52:16 1608945 150
>>1608943
как бы современные коронки не требует сильной обточки и зуб под них не надо депульпировать. Обтачивают зуб, делают скан, ставят временную коронку (ортопед на месте лепит) пока делают постоянную. Через неделю-две в зависимости от зуботехнической лаборатории ставят постоянную. Так что щербатым ходить не будешь. Если зуб не Сильно ушатан можно сделать керамическую вкладку или накладку.
Аноним 19/03/25 Срд 16:10:16 1608954 151
>>1608943
Сначала тебе сделают слепок твоего родного зуба, чтобы понять, какой формы должна быть будущая коронка. Кусаешь такой спец материал, сильно, сидишь со сжатыми челюстями. Потом тебе обтачивают зуб с удаленным нервом, "спиливая" его до нужной формы под коронку. После этого сразу же ставят временную коронку. Грызть яблоки ею не надо, но ты спокойно проходишь с ней пару-тройку недель. Приходишь на установку постоянной коронки.

Я немного охуел, когда мужик без вкалывания мне обезбола сразу включил сверло и направился стачивать мой зуб. Ээээ, а анестезия? Да все в порядке будет, ничего не почувствуешь, нерва-то нет. Ичсх реально ничего не почувствовал, ну кроме механического давления. Довольно своеобразный опыт. Не бойся, не неприятный, просто для меня было неожиданно, что можно прямо вот так.
Аноним 19/03/25 Срд 16:12:20 1608956 152
>>1608945
>как бы современные коронки не требует сильной обточки и зуб под них не надо депульпировать.
А зачем тогда они нужны, если зуб не настолько убитый, что можно сохранить нерв? Можно как-то умудриться разъебать кариесом всю эмаль, не оставив живого места для пломбы, но не повредить пульпу и нерв?
(и что-то мне кажется, что ставить коронку на зуб с оставшимся в живых нервом - какая-то так себе идея, для любых манипуляций с этим нервом коронку надо будет снимать)
Аноним 19/03/25 Срд 16:14:42 1608959 153
>>1608954
>>1608945
Временную? Я помню как делал полумост на 2 и 3 и с обточенным клыком бегал
Да и во время о точки главное пыль не вдыхать
Аноним 19/03/25 Срд 16:16:21 1608961 154
>>1608956
Мне объяснили что если очень большая пломба или боковая стеночка разрушена
Аноним 19/03/25 Срд 16:21:26 1608963 155
Кстати, а от "проф чистки" всеми этими струями жидкости под давлением и т.п. может ли слететь коронка от этого мощного физического воздействия?
Аноним 19/03/25 Срд 16:21:48 1608964 156
>>1608956
>можно как-то умудриться разъебать кариесом всю эмаль
можно сточить зубы с возрастом например, после брекетов зачастую оклюзии нет.
>любых манипуляций с этим нервом коронку надо будет снимать
если у тебя кариес под коронкой какая разница жив нерв или нет, коронку снимать так и так. А вот плохо пролечить канал и получить периодонтит это запросто.
Аноним 19/03/25 Срд 16:23:04 1608965 157
>>1608964
>А вот плохо пролечить канал и получить периодонтит это запросто.
Ну тем более непонятен аргумент.
Ты о том, что нерв неплохо оставить для того, чтобы зуб своей болью мог вовремя подать сигнал хозяину о том, что под коронкой что-то пошло не так?
Аноним 19/03/25 Срд 16:26:22 1608966 158
>>1608959
>Временную?
Да на обточенный зуб ортопед может сразу вылепить коронку и посадить ее на жидкотекучий композит. Долго она не ходит, но на время изготовления постоянной коронки хватит. Так же waxup/mockup техника, тоже как временный вариант подойдет. Временных мостов я думаю нет там каркас жесткости нужен.
Аноним 19/03/25 Срд 16:26:47 1608967 159
>>1608961
при стенке да, нужна коронка
Аноним 19/03/25 Срд 16:28:47 1608969 160
>>1608963
не должна, там не такой сильный напор. Я делаю гигиену каждые три месяца и дома ультразвуковая щетка. Все коронки на месте.
Аноним 19/03/25 Срд 16:29:54 1608970 161
>>1608945
>>1608954
Спасибо, аноны, как же геморно все, но ничего не поделаешь.
Аноним 19/03/25 Срд 16:35:45 1608973 162
>>1608965
>что под коронкой что-то пошло не так?
интересный вариант, не думал в таком ключе.
Я считаю, что лечение каналов это достаточно серьезная процедура, к которой нельзя относится халатно и экономить на этом деньги. Полечить каналы по хорошему выдет в 20-30к. Если сделать на отъебись в кабинете на районе есть вариант что канал пройдут не до конца, плохо запломбируют или плохо стерилизует, в перспективе это приведет к образованию периодонтита (сиречь кисты и гранулемы), что в лучшем случае повлечет перелечивание канала (и не факт что при повторном проходе корень не треснет), а в худшем помимо прохода канала удаление части корня или всего зуба. Так что если пульпа целая, лучше в нее не лезть.
Аноним 19/03/25 Срд 17:05:09 1608982 163
>>1608973
>к которой нельзя относится халатно и экономить на этом деньги.
Разумеется.
>Полечить каналы по хорошему выдет в 20-30к.
Но от расписанного мне плана лечения каналов на 50+к я что-то прихуел (выше в треде).
Аноним 20/03/25 Чтв 10:59:00 1609163 164
>>1608890
>потому что интубация "бодрствующему" пациенту не понравится.
А зачем интубация? Общий наркоз обычно ставят уколом по вене, не?
Аноним 20/03/25 Чтв 11:07:08 1609165 165
>>1608969
>Я делаю гигиену каждые три месяца
В стоматологии?
>дома ультразвуковая щетка.
Это что за такая щётка? Покажи
Аноним 20/03/25 Чтв 11:09:13 1609167 166
У кого импланты зубов есть, расскажите, как они реагируют на КТ, МРТ, рентген? Были ли какие-то казусы во время этих исследований, какие-то неприятные ощущения?
Желательно, если вы ещё и делали сканирование так, чтобы челюсть попадала в зону исследования, например, МРТ головы, шеи
Аноним 20/03/25 Чтв 13:46:32 1609191 167
>>1609167
Никак не реагируют, если только исследовать челюсть МРТ около имплантата может будут артефакты, МРТ мозга и внчс норм делаются.
Аноним 20/03/25 Чтв 13:47:14 1609192 168
>>1609163
При общем наркозе угнетается дыхание.
Аноним 20/03/25 Чтв 13:52:32 1609194 169
>>1609163
Короче трубка вставлялась в нос, после того как я уже отъехал, через нее подавался севоран с кислородом.
Аноним 20/03/25 Чтв 13:53:59 1609195 170
>>1609165
В стоматологии. Щётка дома soocas x3u
Аноним 20/03/25 Чтв 14:01:58 1609197 171
Аноним 20/03/25 Чтв 14:37:25 1609201 172
Screenshot20250[...].png 1098Кб, 1062x1542
1062x1542
Аноним 20/03/25 Чтв 23:01:21 1609298 173
>>1606802
Не пон, а почему надо под микроскопом?
Аноним 20/03/25 Чтв 23:02:18 1609299 174
>>1606941
А как? Тупо платно? Страховки кал?
Аноним 21/03/25 Птн 01:18:06 1609316 175
Может ли быть что это от того что люди так чистят зубы. Некоторые елозят щеткой вверх вниз, тогда как нужны только выметательные движения в сторону роста зубов, а если в обратном направлении то походу и десну можно распидорасить
Аноним 21/03/25 Птн 01:30:49 1609317 176
>>1606320
что за пикассо
алсо почему вдруг зашла речь о лечении каналов
Аноним 21/03/25 Птн 01:37:19 1609319 177
>>1608521
чет мне не предложила врачиха
И что стоит или они навредить могут колхозом?
Аноним 21/03/25 Птн 07:56:34 1609334 178
>>1609316
Проблемы из-за того что щётка это пол дела, межзубные пространство она не чистит, как и нить, а кариес зачастую на контактах и образуется. Нужно подбирать индивидуально ёршики для каждого зубного промежутка. И пользоваться ими каждый день. Ну и ещё монопучковая щётка.
Аноним 21/03/25 Птн 08:49:44 1609341 179
>>1609317
>что за пикассо
рентгенодиагностический центр, делают клкт зубов/челюстей есть во всех крупных городах.
>алсо почему вдруг зашла речь о лечении каналов
Потому что в сообщении на который я отвечал речь шла о удалении нерва. Удаление нерва это и есть чистка канала.
>может до нерва дойти, а тогда нерв придётся удалять.
Аноним 21/03/25 Птн 08:52:24 1609342 180
>>1609319
>навредить могут колхозом?
вангую там стандартный айрфлоу, а не разработки сумеречных гениев советского "нии эксплотации зубов". Нормально все должно быть, не та процедура где ущерб здоровью можно причинить. В худшем случае почистят так себе.
Аноним 21/03/25 Птн 09:00:47 1609343 181
>>1609299
да платно. вот например условно зуб стоит полечить 12-15к. Страховщик говорит подрядчику платим 7 за зуб, согласны? Ну те соглашаются, либо экономя на материалах, нанимая под контракт терапевтов-новичков или олд-пердунов из советской практики, ну или это изначально кабинет эконом класса где по дефолту ебали современные тенденции медицины. Никаких "ноухау" нормальных клиник там не будет, от омс отличия будут разве что пломбы из светоотверждаемого композита не лучшего качества (хотя и в госке уже где-то ставят светопломбы).
Аноним 21/03/25 Птн 09:03:17 1609344 182
>>1609298
Ну хз, снимок посмотрели и сказали что не можем, надо под микроскопом, а его нет
Аноним 21/03/25 Птн 10:44:58 1609353 183
>>1608969
>Я делаю гигиену каждые три месяца
Зачем так часто?
Аноним 21/03/25 Птн 10:46:26 1609354 184
>>1609334
>монопучковая щётка
В чём профит? В чём функциональное отличие от простой щётки?
Аноним 21/03/25 Птн 13:13:43 1609376 185
>>1609353
брекеты, с ними гигиена затруднена
Аноним 21/03/25 Птн 13:15:41 1609378 186
>>1609354
лучше чистит десневые края и промежутки
Аноним 21/03/25 Птн 16:11:32 1609420 187
>>1608779
Раз зашла речь про импланты. Какой имплант будет наименее травмирующий если в драке прилетит в зубы? Хотелось бы какую-то технологию чтобы зуб тупо легко вылетал, как хвост у ящерицы, а не потенциальный вылом импланта из кости
Аноним 21/03/25 Птн 16:43:08 1609427 188
>>1609420
Ставь мосты в таком случае. У всех имплантатов одинаковый принцип крепления с коронкой.
Аноним 22/03/25 Суб 04:56:24 1609565 189
Вопрос не совсем по стоматологии, но стоматологам
Где купить пульпоэкстракторы, мне они для механической чистки нужны. Не брать же после выкручивания нерва у стоматолога или из ведра
Аноним 22/03/25 Суб 07:06:49 1609569 190
Аноним 22/03/25 Суб 17:30:06 1609643 191
111.png 25Кб, 1108x618
1108x618
Сап медач. Удаляли зуб, дальний жевательный на верхней челюсти. Перенес удаление легко, неделю-полторы вообще ничего не беспокоило. Но потом стал замечать, что на месте разреза появилось уплотнение, как шишка небольшая. Визуально розовая как десна, но разглядеть тяжело нормально. Сама по себе вообще не болит, но разговаривать неудобно и если двигать и прижимать губу в этой выпуклости, ощущается небольшая боль. Слабая, но все же есть. Прошло уже 2.5 недели после удаления. Так и должно быть? Это просто шрам и оно рассосется? Лунка заросла и не беспокоит, во время еды ничего не болит, ночью и утром не болит. Слабая боль непосредственно если только как то воздействовать на эту шишку. По ощущениям твердая, но сильно я не нажимаю. Гноя нет, температуры нет, в целом нормально себя чувствую, но эта шишка мешает.
Приложу примерное объяснение в картинке.
Аноним 23/03/25 Вск 21:25:47 1609988 192
>>1609643
У меня такого не было, сходи к врачу спроси
Аноним 25/03/25 Втр 12:55:39 1610371 193
Интересно, нерв за 3 подхода лечили
Обычно за 2
Аноним 25/03/25 Втр 13:36:35 1610383 194
>>1610371
Чистка канала
Заполнение канала гуттаперчей
Реставрация зуба композитным материалом
Иногда пункт 2 и 3 совмещают, иногда все в один присест делают. Зависит от объема работ.
Аноним 26/03/25 Срд 14:13:16 1610635 195
>>1610383
Ну вот каналы запаили и отпустили
Аноним 27/03/25 Чтв 10:52:33 1610868 196
klindefect1.jpg 10Кб, 400x300
400x300
Klinovidnyiy-de[...].jpg 51Кб, 320x220
320x220
Аноны, а дорого ли и вообще возможно починить вот такой клиновидный деффект? Фото не мое, но один в один. Заупустил я зубы, а теперь боюсь, что потеряю
Аноним 27/03/25 Чтв 11:19:55 1610876 197
>>1610635
Да норм все пломбируется
Аноним 27/03/25 Чтв 11:50:59 1610880 198
>>1610876
Анон, ты постом не ошибся? Как будто бы не туда ответил
Аноним 27/03/25 Чтв 13:44:42 1610952 199
Аноним 27/03/25 Чтв 13:45:36 1610955 200
Аноним 30/03/25 Вск 22:46:26 1611932 201
Сап, медач. Подскажите нормальные клиники в СПб, желательно центр-север города, нужно пролечить пяток зубов + поставить 2 импланта (это только то, что я знаю, возможно больше), до этого ходил в клинику возле дома, но там результат слишком рандомный, некоторые зубы заебись залечили, некоторые пиздец по 3 раза переделывали и все равно херово получилось (а вот восьмерку верхнюю удалили филигранно, она была полностью в десне, начала наружу сбоку проклёвываться, в щеку, мне ее минуты за полторы выковыряли, немного охуел даже). По цене - примерно середина, премиум-класс вряд ли потяну, но и не буду за каждую копейку трястись, лишь бы было дешевле. Ну или подскажите в целом как клиники выбирать, пошарился по отзывам, половина явно купленная что все збс, вторая половина со страшилками про врачей-палачей. Заранее спасибо
Аноним 03/04/25 Чтв 22:28:57 1613081 202
>>1611932
попробуй "космодент" стоматология на марата
Аноним 03/04/25 Чтв 22:38:21 1613084 203
>>1603492
Анон, сколько делали операцию? Как долго потом восстанавливался?
Через сколько дней смог разговаривать и нормально есть?
Аноним 05/04/25 Суб 09:36:40 1613441 204
>>1613084
Минут 50, снятие швов через 10 дней, нормально есть через 4-5, разговаривать сразу, если сильно не открывать.
Аноним 06/04/25 Вск 16:15:32 1613698 205
.png 1189Кб, 2028x1102
2028x1102
Сегодня 3 импланта сделали и костную пластику (чуть-чуть добавили)

Какой же пиздец. Фото старое. Неделю назад делал до операции.

После мне еще коронки делать почти на все зубы... стоимость 700 тыс руб...
Аноним 06/04/25 Вск 16:20:51 1613700 206
.jpg 564Кб, 1000x1000
1000x1000
>>1613698
И кстати. Есть смысл выравнивать зубы в 30 лет? Мне предлагали, но показалось что ходить в брекетах в таком возрасте это уже странно и дискофорт. Учитывая среднюю продолжительность в пидорахии мужчиеы в 50 лет.
Аноним 06/04/25 Вск 17:52:51 1613723 207
>>1613700
>Есть смысл выравнивать зубы в 30 лет?
Я лично 30 лвл и буду ставить. Лучше бы раньше, но я тогда не шарил, что при узком нёбе сначала надо дистракцию челюсти провести (расширить аппаратом), чтоб и зубы удалять не пришлось под брекеты и вообще результат более функциональный и эстетичный получится. Брекеты часто делают ровный, но узыкий зубной ряд, нахуй надо. Челюга даже уменьшается из-за того что рвачи-ортодонты рвут по 2-4-6 зубов перед брекетами, убыль кости происходит

>Учитывая среднюю продолжительность в пидорахии мужчиеы в 50 лет
А ты как средий пидораха мужского пола живешь или нет? Может до 80 доживешь с кривыми зубами, которые выпадут раньше времени из-за неровности и мб неправильного прикуса
Аноним 06/04/25 Вск 19:17:28 1613747 208
.mp4 24431Кб, 1280x804, 00:01:05
1280x804
>>1613723
>А ты как средий пидораха мужского пола живешь или нет?

Чел. Жизнь сложная штука. Завтра проснёшься - а у тебя рак. Война там идёт. Куча урок по улицам ходит.
В общем да. Опасностей много, если в РФ живёшь.
Аноним 06/04/25 Вск 21:12:54 1613767 209
>>1613700
Я вот после 25 поставил и 100 раз пожалел.
Сделали так себе, ещё сильнее опустились дёсны.
Костной ткани изначально было немного, а движение зубов ухудшило ситуацию. Из-за сложностей гигиены появился пришеечный кариес на одном зубе.

Если у тебя не совсем пиздец, а просто хочешь сделать ровно - нахуй это дело или сто раз проверь, что нет проблем с костной тканью. Лучше элайнеры.
Аноним 06/04/25 Вск 21:30:01 1613768 210
>>1613767
Мне сказали что когда коронки будут делать можно будет немного подровнять. Короче думаю уже не буду делать. Всем эти надо было в детстве/подростковом возрасте заниматься.
Аноним 06/04/25 Вск 21:45:14 1613769 211
>>1613441
Спасибо что ответил, добра тебе и быстрого восстановления!
Аноним 06/04/25 Вск 22:02:04 1613770 212
>>1613747
Так выпились превентивно либо ничего не делай, забаррикадируйся в квартире с запасами еды, огнетушителей, оружия и сиди жди беды, долбоеб. Придурок нахуй, привел в пример статистику стекломойных заводчан мрущих в 50 и думает что просто по принадлежности к муж. полу тоже сдохнет так же. Про опасности вообще кекнул, еще раз - тогда смысла нет делать ничего вообще
Аноним 06/04/25 Вск 23:00:24 1613781 213
>>1613769
Уже заросло всё, но корни лишь немного прикрыло. Думаю, доктор накосячил, так как я не помню, что он делал травление корней зубов, а потому мясо не приросло. Однако сама десна стала толще.

Найти бы хирурга, что умеет наращивать кость с наружней стороны челюсти.
Аноним 07/04/25 Пнд 01:16:16 1613815 214
>>1613771
Ты хуйню написал отменную, перечитывай и плачь, олигофрен
Аноним 07/04/25 Пнд 15:42:05 1613909 215
image.png 190Кб, 713x498
713x498
image.png 126Кб, 752x495
752x495
>>1602618 (OP)
заметил вчера такие пятна, я так понимаю это кариес? во сколько примерно встанет лечение в обычной не илитной клинике?
Аноним 07/04/25 Пнд 16:43:06 1613945 216
>>1613700
я в 38 поставил, в 41 снял все норм
Аноним 08/04/25 Втр 02:41:13 1614042 217
Мне, как сейчас сидящему в очереди на приём к стоматологу интересно знать. Вот приём всех и вся начинается в 8. Я припёрся к 7. Чё вы там в кабинетах сверлите бормашиной? Проверка инструмента или чё?
Аноним 08/04/25 Втр 04:20:20 1614051 218
>>1614042
Это ночная смена же, как у таксистов.
Аноним 08/04/25 Втр 06:07:47 1614052 219
пример.png 743Кб, 1024x616
1024x616
>>1602618 (OP)
Не по теме, но нужна экстренная консультация местных экспертов с двача.
Вот корни этого пидараса могут к пазухе примыкать?
Аноним 08/04/25 Втр 09:59:00 1614066 220
>>1614052
Да похуй, к хирургу на завтра записался
Аноним 08/04/25 Втр 10:41:58 1614076 221
Аноним 08/04/25 Втр 19:33:31 1614159 222
>>1614076
Еслиб прям в пазухе был, то яб наверное уже от менингита сдох, за 5 то лет
Аноним 08/04/25 Втр 19:37:46 1614160 223
>>1614076
БТВ как это клык мимо пазухи попадает? Слышал там корни ебейшие
Аноним 08/04/25 Втр 19:43:44 1614161 224
2 часа поспал. Я уже не человек нахуй
Аноним 08/04/25 Втр 20:02:50 1614164 225
Так, в пизду. Какие там антибиотики жрать надо при хроническом одонтогенном синусите?
Аноним 08/04/25 Втр 20:34:49 1614176 226
>>1614076
В смысле корни с 4-6 зуб либо находятся под пазухой либо в ней (отделение слизистой) при имплантации этих зубов надо поднимать дно гайморовой пазухи.
Аноним 09/04/25 Срд 08:14:44 1614270 227
>>1609343
>композита не лучшего качества
Словно ты разбираешься какой хороший, лол. В клинике тебе никто не скажет, что будут устанавливать
Аноним 09/04/25 Срд 08:17:41 1614271 228
>>1608748
>Osstem
>Impro
Зачем? Либо Штрауманн, либо АстраТек - Нобель Биокэр. Все!
Аноним 09/04/25 Срд 08:22:13 1614272 229
>>1613768
>>1613767
Ты просто нищий и тупой. Еще про элайнеры спизданул, лол. Хорошо, что у тебя зубы по пизде пошли после брекетов))
Аноним 09/04/25 Срд 08:53:14 1614276 230
.png 11Кб, 898x140
898x140
>>1614272
Если кто тут и тупой, то это ты. Раз не смог заметить что ответы были от разных людей.
Аноним 09/04/25 Срд 09:17:15 1614278 231
>>1614270
обычно в нормальных клиниках в прайсе написано что за композит ставится и не редко есть выбор коррелирующий с ценой. Из хороших Ivoclar Vivadent, 3М, Coltene, Tokuyama из удовлетворительных Te-Econom Plus, Charisma. Если нет перечня производителей то указывают фотополимер - подешевле, нанокомпозит - подороже.
Аноним 09/04/25 Срд 09:19:19 1614282 232
>>1614271
может у него денег нет. Вообще, важна не система, а оператор.
Аноним 09/04/25 Срд 09:34:42 1614291 233
Untitled-1.jpg 231Кб, 419x1000
419x1000
>>1614160
Корни ебейшие, но пазухи там нет уже
Аноним 09/04/25 Срд 09:42:55 1614294 234
>>1614291
Охуеть у тебя кости много. Завидую.
Аноним 09/04/25 Срд 11:07:59 1614306 235
>>1613767
Брекеты — это не только долго, дорого и мучительно, но ещё и очень опасно для здоровья зубов.
Повреждение эмали, рецессия десны, подвижность зубов и даже рассасывание корней.

По-хорошему, нужно законодательно запретить брекеты в России.
Аноним 09/04/25 Срд 12:29:38 1614321 236
>>1614278
>в прайсе написано
Прихожу лечить зубы в клинику. Там собственный томограф планмека из финки, лечение под микроскопом зумакс, на рот раббердам, работа с ассистентом. В чеке просто - лечение глубокого кариеса. Какой композит ставят - хуй знает. Пару раз видел тюбик с какими-то иероглифами
Аноним 09/04/25 Срд 12:36:46 1614322 237
Пидарнул наххуй мертвый зуб. Облегчение моментальное, больше никаких тебе хронических синуситов. Лишь бы этот пидор остальные не успел заразить
Аноним 09/04/25 Срд 12:41:05 1614323 238
Как свинью.mp4 16970Кб, 720x406, 00:01:01
720x406
Контент ножевой завезли, снова
Аноним 09/04/25 Срд 12:41:35 1614324 239
Аноним 09/04/25 Срд 21:05:22 1614393 240
image 538Кб, 850x540
850x540
>>1614306
>Брекеты — это (...) повреждение эмали, рецессия десны, подвижность зубов и даже рассасывание корней.
Пиздец, а если сначала сделать пикрил - расширение челюстей дистракторами, а уже потом с расширенной челюстную (костной) дугой и без (!) удаления зубов как при брекетах, уже ставить брекеты на это все - высокие риски зубных пиздецом?
Аноним 09/04/25 Срд 21:07:00 1614394 241
У меня как раз такой план, отговорите или одобрите, а то я заебался метаться
Аноним 09/04/25 Срд 22:14:32 1614407 242
>>1614393
Чё за костные дуги? Брекетами нельзя расширить челюсть. Я делал расширение вч дистрактором и потом ещё сегментацию на три части, ничего не отвалилось. Ну брекеты тоже были. Из побочек в области клыка у губы изменилась чувстветельность.
Аноним 09/04/25 Срд 23:41:32 1614422 243
>>1614407
>Чё за костные дуги?
Ну кости под деснами я так назвал ненаучно, те, что по опасениям многих от брекетов рецессируются

>Брекетами нельзя расширить челюсть
Я потому про дистракцию пикрил и упомянул

>Я делал расширение вч дистрактором и потом ещё сегментацию на три части, ничего не отвалилось
Найс, какие улучшения заметил по здоровью (дыхание, жевание, состояние ВНЧС мб) и внешке после всего?
Аноним 09/04/25 Срд 23:42:05 1614423 244
>>1614407
>и потом ещё сегментацию на три части,
Это как и зачем? Что именно сегментировали?
Аноним 10/04/25 Чтв 08:48:20 1614454 245
Снимок.JPG 29Кб, 709x532
709x532
Снимок2.JPG 19Кб, 416x368
416x368
>>1614423
протрузия - резцы вперед торчали, типа на три части челюсть пилят и куски поворочавиют и в ужное положение ставят.
Аноним 10/04/25 Чтв 08:55:22 1614456 246
>>1614422
после дистрактора я заметил только щель почти в сантиметр между резцами =), с дыханием у меня не было проблем. Через год уже выровняли зубы брекетами и сделали ортогнатическую операцию на обе челюсти и подбородок, вот тут уже значительно ебыч поменялся, исчез двойной подбородок, пропорции ебла сильно изменились - нижняя треть стала именно третьей.
Аноним 10/04/25 Чтв 22:24:15 1614596 247
>>1614454
>>1614456
Понял, ну и муки ты конечно прошел. Что хуже было по боли/восстановлению - дистракция челюстей (не считая сегментации) или ортогнатическая операция? Брекеты я так понимаю самое лайтовое. Кстати тебе же не удаляли зубы ни на одном этапе, т.к зубные ряды и так расширили достаточно? Я просто все то же самое хочу делать, кроме сегментации, на мне видимо ни к чему
Аноним 11/04/25 Птн 10:08:46 1614634 248
>>1614596
>Брекеты я так понимаю самое лайтовое
Они как-то вообще не парят, только при смене дуг дискомфорт 1 день, тяжко жевать.
>Что хуже было по боли/восстановлению - дистракция челюстей
Дистракция это лайтовая опперация, меньше часа, уже в этот день гулял по больнице, отек полностью сошел на четвертый день, через 2 недели я уже жрал привычную пищу.
А вот при опке хавать нормально, наверно, начал через полтора месяца (шприцов никаких не использовал, просто заливал в рот из чашки, брал трубки для смузи не пригодились - не смог), и все лицо заморожено было по глаза месяца три. Отек сходил две недели, первую неделю адово текли слюни, денно и нощно, такие густые и тягучие, изза этого не получалось говорить, приходилось обкладывать ебыч салфетками.
Боли не было, в больнице кололи обезбол, потом пил ибупрофен и этого хватало.
Самое жесткое это первые сутки после операции в интенсивной терапии, лежишь смотришь в потолок, боршка болит, вставать нельзя ссышь в утку, а у меня парурез, слева тянка, справа тянка, впереди медсестра, это пиздец китайская пытка.
>Кстати тебе же не удаляли зубы ни на одном этапе
удаляли все восьмерки. И на нижней 47й, но там отдельная история не связанная с недостатком места. Я бы даже сказал верхнюю перерасширили, теперь надо как-то закрывать тремы Изначально сегментация не планировалась, но как я понял орт не смог полностьб исправить протрузию брекетами и после дистракции левая половина децл наклонилась относительно правой.
В общем, все это переживается не сложнее какого -нибудь орз, ожидания пиздеца и опи-репорты пугают больше чем фактические неудобства.
Аноним 11/04/25 Птн 13:59:39 1614666 249
>>1614634
А зачем ты оперировался по квоте?
Аноним 11/04/25 Птн 15:58:10 1614674 250
>>1614666
типа по квоте отек дольше держится?
Аноним 11/04/25 Птн 18:20:34 1614683 251
>>1614674
Типа по квоте рукожопые денегераты делают, а норм члх онли платно
Аноним 11/04/25 Птн 18:47:02 1614690 252
>>1614634
Спасибо анон, успокоил. Дистракцию, я так понимаю, тебе на верхнюю делали только, потому что за час обе челюсти вряд ли сделали бы. Сколько все твои приключения длились, года 3? Дистрактор полгода, брекеты год наверное до и год после ортогнатии. Хотя от возраста зависит, мне вот 30

>удаляли все восьмерки.
Сказали зачем? У меня норм вылезли восьмерки сверху, снизу вот только с одной стороны криво проклевывается, думал дистракцией челюсти и брекетами получилось бы сохранить их, хотя походу их брекетами никак не сдвинешь если они под десной все еще спрятаны, хотя может когда зубы начнут сдвигаться к новообразовашейся щели, зубы мудрости прорежутся в освободившемся месте
Аноним 11/04/25 Птн 20:08:47 1614705 253
1000008876.jpg 887Кб, 2400x1617
2400x1617
1000008877.jpg 1245Кб, 3060x1868
3060x1868
1000008878.jpg 797Кб, 2351x1576
2351x1576
1000008879.jpg 1133Кб, 3026x1606
3026x1606
Оцените степень пиздеца. Наконец-то решился на чистку зубного камня, пикрил до и после. Какие шансы, что опустившаяся десна восстановится? Врач сказал, разглаживать зубной щёткой движениями снизу вверх, а во сне десна напитается кальцием из слюны и якобы всё будет заебись, но что-то мне так не кажется.
Аноним 11/04/25 Птн 20:29:43 1614710 254
>>1614705
>Какие шансы, что опустившаяся десна восстановится
Скорее всего нет, но у тебя и так с запасом её было, так что не парься.
Аноним 11/04/25 Птн 20:41:42 1614716 255
>>1614705
>>1614710
А чем полоскать свою ротовую полость теперь? Содой может или раствором лимонного сока, что лучше выбрать/купить в аптеки для дёсен? Когда слюну сплевываю все ещё заметны частички крови, по хорошему надо ведь полоскать чем-то?
Аноним 11/04/25 Птн 22:18:51 1614739 256
>>1614716
Раствором ромашки и фурацилина чередуя раз в 3 часа
Аноним 11/04/25 Птн 22:23:36 1614740 257
>>1614705
Ебать камень, каменоломня целая прям. Молодец что сходил
Меня заебал камень образовываться, до 20 лет как-то не было его совсем, потом раз в полгода после чистки уже необходимость в повторной чистке стала появляться, но делаю раз в 2-3 года. Что замедляет образования камня кроме тщательной чистки зубов? Ибо чищу как могу хорошо. Забавно, до 20 лет как раз на отъебись чистил и ничего
Аноним 12/04/25 Суб 00:31:59 1614772 258
>>1614690
> так понимаю, тебе на верхнюю делали только
Да, только верх
>Сколько все твои приключения длились, года 3
4 года. Поставили бреки, через год дистр, через год основная, через год снятие пластин
>мне вот 30
Я думаю возраст не столь важен, ну если не брать в расчет крайности. Типа у детей все быстро, а у пожилых зубы выпадут.
>Сказали зачем?
Это вроде стандартная практика, типа 8ки создают компрессию зубного ряда.
Аноним 12/04/25 Суб 00:33:18 1614773 259
>>1614740
>Что замедляет образования камня кроме тщательной чистки зубов?
Скалер ультразвуковой купи, стоит косарь
Аноним 12/04/25 Суб 05:42:13 1614794 260
>>1614772
>Это вроде стандартная практика, типа 8ки создают компрессию зубного ряда.
Да, но если сначала делать дистракцию (расширение) зубного ряда, а потом уже брекеты, то не понятно как 8ки мешают, места под них уже должно хватать после расширения
Аноним 14/04/25 Пнд 11:46:55 1615254 261
Тут один анон говорил о запрете брекетов и так далее. А если мне нужно исправить всего 3 нижних резца, которые чуть развёрнуты в стороны на несколькоградусов, что создаёт щели между ними, это все ровно может быть опасно для ВНСЧ и формы лица в целом?
Аноним 14/04/25 Пнд 14:55:28 1615312 262
>>1615254
все равно дуги ставятся на обе челюсти и на все зубы.
Аноним 14/04/25 Пнд 16:26:24 1615348 263
>>1615254
Можно пластиковыми зубами исправить, которые носят 1 год перед установкой коронок. Сам себе такое буду делать.
Аноним 15/04/25 Втр 08:20:03 1615508 264
Аноны помогите, я хотел поставить брекеты решил сначала придти в гос-больницу за бесплатно на консультацию. Врач наговорила то что это вообще сложно и тд и тепе и зубы у меня норм ну и назначила чтобы я сначала делал упражнения для лица/рта, и то что это вообще всю мою жизнь изменит и рост моего лица в правильном положение т.к. я mouth-breather. Вроде как результаты по тихоньку присутствуют пришёл к второму приёму она осмотрела ну и говорит "Результаты есть но продолжай упражнения и купи вот эту штуку, онли у этого человека".

Штука это - какой-то корректор арсениной. Ну так я не понимаю это какая-то наебка? За корректор этот сраный просят несколько тысяч, это что ли скам от гос-врачей и я теряю свою время? Я не хочу деньги напросто терять когда я могу просто брекеты дорогие поставить. Хелп.
Аноним 15/04/25 Втр 08:34:04 1615510 265
>>1615508
Так а лет тебе сколько? Если до 18-20 конечно делай мьюинг и прочие упражнения, а дальше не особо поможет.

>корректор арсениной
Почему именно он а не любая другая такая капа? Аноны неплохо себе капами с алика зубы ровняли, видал фото до/после
Аноним 15/04/25 Втр 08:52:39 1615511 266
>>1615510
Мне 17.

Я из-за этого и начал сразу сомневаться т.к она с первого же раза начала гнуть свою линию, то что покупать только у "нас" и дала номер какого-то продавца. Цена для нашего мухосранска солидная, собственно не понятно лучше на какую то пластинку деньги потратить или сходить в платную клинику? Или же мне скажут тоже самое?
Аноним 15/04/25 Втр 10:16:34 1615526 267
>>1615508
>придти в гос-больницу
Не слушай этих пидарасов, мне сказали брекеты для идиотов и модников. Сделали аппарат который не давал закрываться рту в привычном положении. В итоге привет двнчс.
Аноним 15/04/25 Втр 10:17:46 1615527 268
>>1615510
>Если до 18-20 конечно делай мьюинг
а если до 18-20 за нос себя тянуть каждый день это может заменить ринопластику? А если за хуй тянуть больше станет?
Аноним 15/04/25 Втр 11:57:04 1615558 269
>>1615527
Ты мозги включи немного. Язык (мышца) должен примерно 90% времени находиться присосанным к небу, оказывая тем самым постоянное легкое давление на кость (максиллу), нивелируя силу гравитации, не давая ей со временем, микрон за микроном наклоняться вниз. Чем ты моложе, тем кость податливее к давлению, теоретически если не мьюил, а лет в 18 начал - можно не только не допустить опущения максилы, но и очень постепенно ее поднять, если она была опущена.

Надо объяснять что хуй (мягкие ткани) и нос (хрящ) это другое и что не нормально их оттягивтаь 90% времени, а язык давящий на нёбо - норма?
Аноним 15/04/25 Втр 12:02:03 1615560 270
>>1615511
>Мне 17
Ебашь все что только можешь, распил челюсти и брекеты успеешь после 20, если не помогут другие методы - мьюинг, фейспуллинг, жевание твердой пищи, капы. И проблему mouth-breather-ства надо решать конечно. Не сосудосуживающими каплями конечно. Может у тебя аллергия на домашнюю пыль там, ну либо крайне кривая носовая перегородка.
Аноним 15/04/25 Втр 13:20:14 1615582 271
У мальчика лет 35 режется зубик
Восьмерка мать её нахуй, десну потихоньку начинает царапать и ведь сука все эти годы не было нихуя
Аноним 15/04/25 Втр 15:35:06 1615606 272
>>1615558
>максиллу
хуилу =)
старину Мью ассоциация ортодонтов ссаными тряпками погнала на мороз, вестимо от чудодейственности его методы.
>микрон за микроном наклоняться вниз
Ебобо, масксила твоя приделана к черепу, куда она блять уползает.
Аноним 15/04/25 Втр 15:37:43 1615607 273
>>1615558
>18 начал
хули там начинать, когда зоны роста кости закрылись, тут уже кончать пора.
Аноним 15/04/25 Втр 17:04:50 1615617 274
йоу ананоы, ноющая боль в зубе после лечения сколько длится в норме? купируется кетановом, на холодное горячее жесткой реакции нет.
Аноним 15/04/25 Втр 18:24:39 1615635 275
image 344Кб, 600x400
600x400
image 394Кб, 1240x683
1240x683
>>1615606
>старину Мью ассоциация ортодонтов ссаными тряпками погнала на мороз, вестимо от чудодейственности его методы.
Кого ебет что некое стадо догматичных баранов говорит? Ты мне лучше просто сам в лицо скажи сейчас, что по твоему или мнению каких-то моченых язык не должен в норме вне приема пищи и разговора располагаться прижатым к нёбу. Попробуй, обоссу так, что череп по частям развалится

>Ебобо, масксила твоя приделана к черепу, куда она блять уползает.
Я хуй знает как такое вопиющее невежество разбирать. Ты в курсе что кость при всей своей твердости - подвижная структура? Что с возрастом они двигаются и гнутся только так например? Про силу гравитации слышал?

>>1615607
>хули там начинать, когда зоны роста кости закрылись, тут уже кончать пора
Может еще нет, у кого как. Во всяком случае анекдотические пруфы для изменений в таком возрасте имеются. В детстве конечно все куда подвижнее.
Аноним 15/04/25 Втр 18:33:29 1615636 276
>>1615606
Алсо, про доктора Мью vs коллеги. У тебя вообще не щелкает почему они на него взбугуртили? Ну подумай, ортодонты зарабатывают практически ИСКЛЮЧИТЕЛЬНО на том, что у современных людей из-за уебско мягкой пищи, поехавшей гормоналки и дыхания ртом вырастают кривые челюги. Он распространяет очевидную базу про то, что если в детстве заметить что ребенок дышит ртом и не держит язык на нёбе, а так же жрет только мягкую пищу и предпринять простые меры, то можно избежать ортодонтического "лечения". Им неприятно, что во-первых тогда они получается зря детей-клиентов брекетами мучали-колечили все это время, а во-вторых, что если он будет признан научным сообществом, то это в офф рекомендации войдет и работы попросту не станет, не считая редких консультаций и особых случаев. Что-то вроде тряски возникшей у художников на почве нейросеточной генерации картинок
Аноним 15/04/25 Втр 23:00:44 1615674 277
>>1615635
Или таблетки пей, баран
Аноним 15/04/25 Втр 23:02:25 1615675 278
>>1615636
Да, да ещё мочи попей, тоже говорят помогает от многих недугов.
Аноним 16/04/25 Срд 04:28:58 1615732 279
Это зубной тред? Мне только спросить
Почему у меня на зубах такое неприятное чувство, после того как выпью Колу или Пепси? У меня эмаль слабая? Как укрепить, без тысяч баксов?
Аноним 16/04/25 Срд 06:53:39 1615738 280
>>1615732
Лел, может потому-что в таким напитках много чего замешано? того от чего у тебя печень может сломаться, как на зубы это должны реагировать по твоему? Самое обычная база, это если зубы при холодном или горячем неприятно ныть начинают, у меня у самого несколько пломб на зубах стоит когда был в своём прайме-кариеса я столько всякого дерьма пил и ничего не чувствовал до момента самого кариеса.
Аноним 16/04/25 Срд 08:15:57 1615746 281
>>1615636
Озубенно? Ты? Кривые челюги правит ЧЛХ на ортогнатической операции. Брекетами челюсти не изменяются
Аноним 16/04/25 Срд 09:42:51 1615758 282
>>1615674
>>1615675
10 IQ ответы

>>1615746
20 IQ ответ. Тут хотя бы имитация разумности присутствует

Я хуею, в какой момент с двача массово сбежали адекваты и пришла нормискотная гойская биомасса?
Аноним 16/04/25 Срд 10:42:38 1615768 283
Аноним 16/04/25 Срд 12:36:48 1615778 284
>>1615768
Mouthbreather в отрицании здравой биомеханики, спокуху и срыг оформи
Аноним 17/04/25 Чтв 16:41:42 1616048 285
Хелп, заболел зуб. Посмотрел в зеркале, а у меня все пломбы стали какими-то коричневыми! Еще год назад такого не было. Зуб который болит выглядит совсем плохо, там трещина какая-то, вроде на пломбе. Но я хз наверняка, т.к. не помню все свои зубы с пломбами. И у соседнего зуба вроде десна опустилась. Щас просто трясусь, что попаду на бабки, ведь лечить зубы это очень дорого.
Аноним 17/04/25 Чтв 18:09:51 1616072 286
>>1616048
Хорошо живешь. У меня 28 зубов кариесные. Вот и кто из нас попал на бабки?
Аноним 17/04/25 Чтв 21:15:48 1616104 287
Посоветуйте капу для реминерализации я только сегодня узнал, что такое капа
Аноним 19/04/25 Суб 14:53:43 1616497 288
1745063622658.jpg 487Кб, 1512x772
1512x772
Это норма что такие зубы внутри жёлтые? Как убрать налёт этот или похуй
Аноним 19/04/25 Суб 17:19:22 1616547 289
Аноны скажите плез, а результатов этой операции (пересадка тканей с нёба на оголившиеся основания зубов) надолго хватает?
Аноним 21/04/25 Пнд 10:16:12 1616837 290
>>1616547
фейл частый, как правило десна уходит из-за резорбции альвеолярного отростка (сиречь кости), и компенсировать лоскутом этот объем не всегда получается, даже при условии приживаемости лоскута.
Аноним 21/04/25 Пнд 10:17:23 1616839 291
Купил себе ирригатор за 5к.
Теперь буду успешным зубогосподином :3
Аноним 21/04/25 Пнд 10:42:30 1616847 292
Снимок.JPG 26Кб, 431x458
431x458
>>1616839
ирригатор не панацея, он только вымывает хавку меж зубов, а налет нет. Хочешь сохранить зубья обязательно возьми ершики например как на пике и объемную нить типа oralb super floss
Аноним 21/04/25 Пнд 14:25:43 1616876 293
>>1602618 (OP)
> кариес под кожу
По идее кт/рентген должен показать. У меня ОПчик позожая проблема. Но стоматологи даже платные говорят мол ну окей, тебе бы прикус поправить и всё. У меня ка на 2 ОП пике, но не передний совсем пиздецовый, а как на клыках. Ещё налёт лезет жутко быстрою
Аноним 21/04/25 Пнд 15:45:21 1616899 294
>>1616497
> Как убрать налёт
Чистка у стоматолога. База это аирфлоу с эритритолом и потом реминерализацию эмаль герметизирующим ликвидом.
Аноним 21/04/25 Пнд 17:59:52 1616935 295
>>1616899
Понял. Думал в домашних условиях можно
Один хуй ещё три кариеса насчитали, буду в другие клиники ходить для подтверждения диагноза
Аноним 28/04/25 Пнд 16:55:28 1618570 296
image.png 2366Кб, 2560x800
2560x800
>>1616899
Сходил к врачу в клинике подешевле уже два кариеса только насчитали.
По своему опыту, лучше сначала на читску сходить полости рта и потом на лечение кариеса, или похуй в какой последовательности?
Уже два стоматолога сказали похуй в какой последовательности
Аноним 28/04/25 Пнд 19:49:20 1618616 297
Уже долгое время загоняюсь по поводу пломб. Ещё в школьные годы, нас водили всем классом на осмотр зубов в гос стоматологию, там насчитали несколько кариесов. Я долго забивал на них, потом мне в голову стукнуло, что зубы надо "лечить" - казалось, что они уже болят, хотя сейчас ясно боли особой и не было. Ну и повели меня в местную клинику около дома по "блату" - без какой-либо регистрации, нашлёпали несколько пломб и рассчитались на месте.

Сейчас же, когда я хорошо вскрыл зубную тему, понял какой пиздец творится в этой сфере. Мне стало страшно, неизвестно требовалось на самом деле лечение тогда, сколько хорошей здоровой ткани зуба было удалено, которую мог спасти профессионал. Или вдруг врач вообще решил еще залечить и здоровый зуб, чтобы положить дополнительнын деньги в карман мимо кассы.

Всего этого мне уже никогда не узнать, потому что тогда мне было максимально похуй, а сейчас эти мысли меня периодически съедают.

Когда уже зубы научаться выращивать, а стоматологов попустят?
Аноним 28/04/25 Пнд 20:42:59 1618627 298
.mp4 16069Кб, 520x720, 00:02:02
520x720
>>1618616
Добро пожаловать. Пломбы это еще фигня. Хуже когда они лечат корни, а потом у тебя зуб отваливается. Мне одна тётя срака так удалила зуб, чтобы мне пришлось 2 раза наращивать костную ткань с перерывом в полгода.


Большинство стоматологов это неграмотные пидорасы.
Аноним 29/04/25 Втр 00:40:03 1618669 299
>>1618616
>>1618627
>Когда уже зубы научаться выращивать, а стоматологов попустят?
Лучше подумай что вызывает кариес, почему его не было у древних людей, а сейчас есть у абсолютного большинства, еще и с малых лет. Ту же логику также примени на другие болезни современности

>Большинство стоматологов это неграмотные пидорасы
Не только стоматологи, все врачи. Система такая, учат так, да и рядовой пациент, точнее теперь уже правильно называть клиент, не против делегировать ответственность за свое здоровье специалисту и получить быстрый понятный фикс, будь то пломба или таблетка или хирургическая операция.
Аноним 29/04/25 Втр 10:14:39 1618694 300
>>1618627
>Хуже когда они лечат корни, а потом у тебя зуб отваливается
Просто надо лечится не в кабинете на районе, а в нормальной клинике у нормального эндодонтолога с микроскопом. Тогда периодонтита не будет. По цене это выйдет как имплантация.
>Мне одна тётя срака так удалила зуб, чтобы мне пришлось 2 раза наращивать костную ткань
Охуеть, при удалении зуба рассасывается альвеолярный отросток, вот это новости...(так и должно быть, поэтому рекомендуют одномоментную имплантацию с удалением, если там не было периоднтита. Если был то через три месяца имплантация. Ты походил поди год-другой и удивляешься, где кость).
> с перерывом в полгода.
И пошел к другому рукожопу, протокол направленной костной регенерации - 8 месяцев сохранения мембраны при отсутствии экспозиции. Но вообще НКР эта геморойная хуйня, она фейлится регулярно. Графт не приживается, мембраны экспонируются, инфекция прицепляется. А все потому что НКР испльзуют не по назначению, так как это просто (но дорого для пациента изза цены графта), нормально же поскреб стружки смешал с порошком насыпал, закрыл мембраной и зашил. Это тебе не пьезоскальпелем выпиливать трансплантат и пересаживать его, вкручивать винтики чтобы трансплантат не повредился. Такая метода травматичнее, но приживаемость значительно выше чем при НКР.
Аноним 29/04/25 Втр 10:17:54 1618695 301
>>1618669
>Лучше подумай что вызывает кариес, почему его не было у древних людей
Кариес вызывает, бактериальный налет. Древнию люди не хавали сахар, не пили кислотосодержащие газявы, а жрали мясо нахуй которое чистит зубы. Как у собак.
Еще древние люди дохли нахуй в 25 лет, зубы еще не успевали разъебаться.
Аноним 29/04/25 Втр 10:23:47 1618697 302
>>1618616
пломбы служат лет 10, если вокруг пломбы видишь контур, пломба разгерметизировалась, ее пора менять, пока под ней не начался пиздец. Что бы сохранить пломбы нужно поддерживать гигиену полости рта. И щетки недостаточно. Нить, межзубные ершики, ирригатор, монопучок и регулярная проф чистка раз в пол года. Оценить степень засратости зубов и надрочить технику чистки можно при помощи индикатора зубного налета. Налет становится красным/фиолетовым и сразу понятно, что руки что держат щетку,
из жопы растут.
Аноним 29/04/25 Втр 11:23:10 1618716 303
>>1618694
Стоматолог, это ты? А как тогда различать не рукопожопов? Становиться самим стоматологом? Ведь сука, стоматологические корочки у всех у вас есть и не понятно как мерить вас.
Аноним 29/04/25 Втр 11:27:07 1618720 304
>>1618716
ну так же как и любого другого специалиста, автомеханика, слесаря, парикмахера. По народной молве об дельце оном или артели его.
Аноним 29/04/25 Втр 20:00:29 1618851 305
>>1618695
>Кариес вызывает, бактериальный налет. Древнию люди не хавали сахар, не пили кислотосодержащие газявы, а жрали мясо нахуй которое чистит зубы
Верно

>Еще древние люди дохли нахуй в 25 лет
Любимый коуп "прогрессо"-дебилов. Ничего, что статистику портили высокая детская смертность (естественный отбор, от чего все выигрывают) и банальные травмы и острые инфекции (современный чел от куда более легких мрет если АБ не дать, потому что слаб). А не то что по щулчку пальца вот здоровые особи с нихуя все мерли в 25-30. А щас кстати найди полностью здоровых 25-30 лет людей, спасибо прогрессу, зато в детстве не сдох, будешь мучаться всю жизнь теперь)) А в пожилых черепах предков тоже все с зубами заебись было
Аноним 29/04/25 Втр 20:02:50 1618852 306
>>1618697
>И щетки недостаточно. Нить, межзубные ершики, ирригатор, монопучок и регулярная проф чистка раз в пол года.
Современнопроблемы. А можно просто не жрать современнокал, убивающий здоровье, включая зубы
Аноним 29/04/25 Втр 23:32:48 1618905 307
>>1618852
ну глодай мослы, кто ж запрещает. не все же такие аскеты.
Аноним 30/04/25 Срд 12:16:53 1618986 308
>>1618905
Мослы тебе в жопу пихал, клоун. Причем тут аскетизм, речь о ЗОЖ, здравом смысле
Аноним 30/04/25 Срд 14:19:46 1619031 309
>>1618986
>Мослы тебе в жопу пихал, клоун
хентай сэнпай
Аноним 30/04/25 Срд 14:21:28 1619032 310
abce4a3bc3a9f34[...].webp 1347Кб, 4096x2731
4096x2731
>>1618905
собачки например зубы не чистят, глодают мослы и никакого налета, так -то.
Аноним 30/04/25 Срд 14:39:33 1619036 311
>>1619032
Не видел ты собачих зубов.
Аноним 30/04/25 Срд 16:12:36 1619057 312
>>1619032
Кошечки тож кстати.
Аноним 30/04/25 Срд 21:18:51 1619087 313
>>1619036
>>1619057
Каких собак, питающихся собачьей псведоедой из пакетиков?
Аноним 30/04/25 Срд 21:34:52 1619091 314
.jpg 141Кб, 1080x1119
1080x1119
>>1619087
Главное сахар не употребляют.
Аноним 30/04/25 Срд 23:16:29 1619112 315
image 120Кб, 1698x408
1698x408
image 136Кб, 1538x388
1538x388
>>1619091
>Главное сахар не употребляют.
))))))))))))))))))
видел кто как волк в природе злаки жрет? нет?а это необходимые для хищника углеводы!!!!!! (с) бигфуд
Аноним 30/04/25 Срд 23:19:04 1619114 316
Овощи не подчеркнул, что тоже печально конечно

Ну вы это, ирригатор за 5к купите, зубную нить, пасту с фтором и на проф чистку каждые полгода гоняйте вместе со своей псиной а кариес все равно будет хехе
Аноним 01/05/25 Чтв 16:00:16 1619262 317
>>1619036
как не видел, у меня 2 собачки. чищу им зубы пару раз в месяц, если мослы грызут налета нет, если корм едят то есть
Аноним 01/05/25 Чтв 17:26:29 1619279 318
>>1619114
он там траву, кору грибы хуярит и всяких грызунов со шлаками внутри.
Аноним 01/05/25 Чтв 17:27:25 1619280 319
>>1619057
кстати кошачий стоматолог это ваше пздц по бабосикам.
Аноним 02/05/25 Птн 01:40:03 1619359 320
>>1619279
Вопрос в каких количествах и как часто. А блядский углеводный корм хозяева домашних собак дают им по несколько раз в день, думай.
Аноним 02/05/25 Птн 16:09:00 1619493 321
.jpg 297Кб, 1365x2048
1365x2048
>>1619280
>>1619112
Кошки живут макс 20 лет. У меня как раз где-то к 26 стали все зубы разваливаться, поскольку не ходил к стоматологу, имел плохую гигиену и много сладкого жрал.

Проще говоря они просто физиологически не могут дожить до такого момента когда у них зубы начнут выпадать.
Аноним 02/05/25 Птн 16:47:11 1619536 322
>>1619493
Вообще-то у кошек год за 4.
Аноним 02/05/25 Птн 22:15:29 1619659 323
>>1619536
не все так однозначно, первый год к них типа сразу за 15. типа за год и детство и отрочество и юность проходит, а потом уже взрослая жизнь начинается размеренная. работа, ипотека
Аноним 02/05/25 Птн 22:17:40 1619660 324
>>1619493
а вот у шиншил например, зубы растут всю жизнь, и живут они как кошки. но бывает что корни растут вверх, тогда пиздос
Аноним 02/05/25 Птн 22:19:39 1619661 325
>>1619087
у меня собака жрет веганский корм из сои и огурцы, зубы нормас
Аноним 03/05/25 Суб 01:12:58 1619698 326
>>1619661
Ты живодер ебаный, совсем от сои одебилел? Огурцом бы тебя трахнуть, хотя тебе понравится, ебанько
Аноним 04/05/25 Вск 04:28:05 1619956 327
>>1619032
Ну в дикой природе они кости глодают, сорт оф чистилка зубов. А домашним собакам зубы таки периодически чистят. Я даже больше скажу, им иногда брекеты ставят, как бы это смешно не звучало.
Аноним 04/05/25 Вск 04:29:50 1619957 328
>>1618570
В целом положняк такой, что сначала чистка, потом вмешательства, если нет ничего экстренного типа пульпита.
Аноним 04/05/25 Вск 10:37:59 1619980 329
>>1619698
у него непереносимость животного белка любого. пробовал корм из морских гадов, насекомых, страусов, один хер начинается дрисняк и панкреатит. был корм на каком-то очищенном белке испанский, дорогой уууу, но потом Россельхоз надзор запретил ввоз кормов из Испании, типа свой сделаем, ага. а огурцы он любит, типа лакомство, ебать.
Аноним 04/05/25 Вск 14:05:41 1620031 330
>>1619980
Нихуя. Ну тогда ты продлеваешь страдания псу-инвалиду, усыпить гуманнее наверное, он же полюбому больной весь от соевого питания
Аноним 04/05/25 Вск 16:48:59 1620072 331
>>1620031
как это ни удивительно, никаких проблем у него нет, 5 лет как на таком рационе.
Аноним 05/05/25 Пнд 19:29:14 1620279 332
Отвалился кусочек зуба, от шестого верхнего (моляр получается). Со стороны выглядит так, будто я щетку туда суну и пиздец развалится всё, но боли нет никакой, даже пообедал нормально после. Что делать? Срочно к врачу? Как меня заебало, прикус хуикус, десны слабые, теперь зубы развалились. Блять мне 20 лет. Я даже не курил ни разу, газировку не пил уж лет хуй знает. Ну пиздец.
Аноним 05/05/25 Пнд 19:49:38 1620283 333
Тут бывают аноны ортодонты? У меня планируется внеплановый и внезапный переезд в ДС, я уже хожу с брекетами. В связи с этим написал в какую-то возможно оверпрайснутую хачеклинику в ДС (охуел с разницы цен в своих пердях и ДС) и они ответили что ни в коем случае не возьмутся за долечивание и вообще это незаконно, и мои брекеты непригодны для повторного использования, я с этого особенно поржал. Скажите что мне просто не повезло и в ДС можно найти норм ортодонта который возьмет поциента после переезда.
Аноним 06/05/25 Втр 00:40:45 1620312 334
>>1620279
Чистить зубки надо. Разумеется идти к врачу.
Я всегда, если появился кариес, заболел без кариеса (самое опасное), или откололся кусок - сразу иду по ОМС. За 3к управляюсь. И охуеваю от людей, которые 300к отдаются за зубы в платны хклиниках. Все простые случаи делаются бесплатно, не надо ждать пульпито, отвала корней и кист в челюсти.
Аноним 06/05/25 Втр 08:58:36 1620348 335
>>1620283
большинство ортов скажет, нужно делать новый план, менять брекеты хуе-мое, короче фуллпрайс и снятие. Долечивать мало кто возьмется, а если накосячат скажут это ваш предыдущий док - ебалай делов наворотил.
Короч, катайся на родину раз в месяц - два, допиливай.
Аноним 06/05/25 Втр 11:04:35 1620363 336
>>1620283
Никто не станет тебя долечивать на брекетах, которые ставили в другой клинике. Да, цены выше, но и специалисты онли в ДС. Поэтому отдать условные 700к-1кк за исправление прикуса на брекет-системы ок для ДС
Аноним 06/05/25 Втр 12:28:01 1620384 337
>>1620363
>Поэтому отдать условные 700к-1кк за исправление прикуса на брекет-системы ок для ДС
Это просто какой-то инфернальный пиздец.
Нужно законодательно запретить рекламу красивой жизни!
Аноним 06/05/25 Втр 12:28:52 1620385 338
>>1620348
>>1620363
Надеюсь вы рофлите и я найду хоть подпольного ортодонта. Какая же это мерзкая хуйня для гоев что нужно покупать новые брекеты для нового лечения. Должен же найтись хоть один нормальный человек который понимает что это ебучая коммерция
Аноним 06/05/25 Втр 14:26:27 1620421 339
>>1620385
можно попробовать какие-нибудь студенческо-практикантсие клиники. У меня корешь с бруксизмом забашлял кучи нефти гнатологам, в итоге покой он нашел в такой лечебнице, за какие-то скромные деньги.
Аноним 06/05/25 Втр 14:44:31 1620432 340
>>1620421
Ну просто будет так невероятно тупо платить еще за новые брекеты. Это выглядит неслыханно наглым наебаловом. Мое тело разложится, тела этих ортодонтов разложатся, а эти железки останутся какими были
Аноним 07/05/25 Срд 12:34:25 1620594 341
>>1620283
А зачем было переезжать в ДС, если денег нет?
Аноним 07/05/25 Срд 13:31:41 1620607 342
>>1620594
Чтобы появились деньги. В ДС же все богатые.
Аноним 07/05/25 Срд 14:43:14 1620621 343
>>1620283
>>1620385
>Какая же это мерзкая хуйня для гоев что нужно покупать новые брекеты для нового лечения
Абсолютно. Ортодонты — риелторы от мира медицины. Конченные охуевшие мрази, калечащие людей за колоссальные деньги и выкидывающие такие трюки с отказом принимать чужого клиента
Аноним 07/05/25 Срд 15:13:06 1620631 344
йоу! Надо закрыть треугольники между зубами,кто-нибудь бустил десневые сосочки гилауронкой? Работает? Долго держится?
Аноним 07/05/25 Срд 19:15:32 1620686 345
1000009263.jpg 185Кб, 1136x544
1136x544
У меня зуб мудрости не пойми как растёт, а недавно обратил внимание на припухлость в зоне его роста. Сейчас решил все-таки заглянуть в рот и вот что вижу: две тёмные дырочки на десне, похожие на глаза. На пике плохо видно, тяжело удачный кадр сделать. Что это может быть и стоит переживать?
Аноним 07/05/25 Срд 19:39:54 1620690 346
>>1620686
Сущность какая-то рвется наружу, не иначе

Вроде под нехилым углом зуб у тебя проклевывается. Но что гадать, на рентген бы сходить или хотя бы просто осмотр
Аноним 07/05/25 Срд 20:24:32 1620704 347
>>1620594
Ну не 500к на такие же брекеты. Ты в курсе что они стандартные, они ведь не делаются индивидуально для каждого. Приходит стандартный набор из Омерики. Я ставил свои за 150к, базовые американские, по сути мне при переустановке наклеят абсолютно такие же брекеты. Так смысл платить за новые?
>>1620621
Да хуй с ним с отказом перенимать чужого клиента. Хотя я честно с трудом могу представить чтобы кто-то реально подавал в суд на ортодонта. Меня вот эта коммерция с новыми брекетами удивила, хуйня хуйней что старые брекеты непригодны для лечения. Снимаешь, дезинфицируешь, клеишь заново, и я найду нормального, обычного русского ортодонта который это мне сделает.
Аноним 08/05/25 Чтв 03:47:31 1620797 348
>>1620704
Сама брекет система и сменные дуги это копейки. За весь курс лечения это тысяч 80 или 100 от всей суммы. Ты платишь за работу ортодонта. В перди нет нормальных спецов и все едут в ДС. Мету я палить не стану - сам ищи ортов.
Аноним 08/05/25 Чтв 07:09:41 1620807 349
>>1620704
>Так смысл платить за новые?
Ты же в курсе, что в конце лечения на брекетах тебя в 90% случаях ждет тотал от ортопеда где тебе все зубы спилят под пеньки и поставят коронки?
Аноним 08/05/25 Чтв 13:07:40 1620851 350
>>1615636
Дыхание ртом разве не исключительно муриканская проблема? Впервые об этой хуйне на реддите прочитал, там пластырями рот на время пробежек и сна заклеивали. На двоще до этого не встречал.
Аноним 08/05/25 Чтв 22:22:36 1620907 351
>>1620851
Ага, муриканцы отдельный вид маусбризеров. Да они просто на здоровье помешаны больше чем наш народ, если тут чел даже не ебет что такое ночное апноэ, там покупают аппараты CPAP и прочими пластырями маются. Всраточелюстных ротодыхателей у нас не меньше. Спасибо кстати во многом как раз муриканской культуре питания мягоньким говном и хим. промом токсичным, то есть + астамы-аллергии и т.д, уроды ебаные, ядерку бы туда, одни беды от этих пидарасов людоедских
Аноним 09/05/25 Птн 11:40:12 1620944 352
>>1620686
Я не могу поверить, что единственный выход это удаление зубов мудрости, особенно, когда каждый стомотолог активно убеждает это сделать. Любой рудимент должен нести какую-то функцию и не мешать жизни, тот же аппендикс, который одно время удаляли детям превентивно, выяснилось, что может играть роль в поддержании микрофлоры кишечника. И так далее, уверен при отсутствии копчика мы тоже страдали в какой-то степени. Неужели зубы настолько непродуманы?
Аноним 09/05/25 Птн 16:27:25 1620983 353
>>1620944
>рудимент
>аппендикс
>копчика
С зубами мудрости немного другая история. Зубы мудрости это скорее атавизм, а не рудимент. Люди перестали есть твердую пищу и тем изменили условия для формирования челюсти и роста зубов мудрости. Теперь зубы мудрости не вырастают как положено, а встают в промежуточном положении, под углом упираются в остальные зубы. От чего возникают проблемы.
Аноним 10/05/25 Суб 05:54:18 1621086 354
>>1620944
Зубы продуманно расположены. Проблема в инфантильном развитии. Ну то есть, в тебе в каждом ядре клетки расположена картография строения тела. При условии, что ты не будешь есть говно и будешь двигаться, твое тело станет тем, что прописано в g-коде. Ты и твои родители просто не исполнили требования и всё. Это как если ты 3д-принтер неверно эксплуатируешь, а потом жалуешься на что угодно - кривые руки, плохой несушенный пластик, на головки, на стол с подогревом, но не на то, что ты его при работе трясешь как бешельме и ареш
Аноним 10/05/25 Суб 15:14:08 1621147 355
image 1597Кб, 3005x2994
3005x2994
Тоже интересуюсь темой спасения восьмерок. Снизу одна проклюнулась чутка, очень постепенно уже года 3-4 вылазит. Вариант только расширение нижней челюсти операцией? Хотя это сильно надо расширить, у меня же и другие зубы скученные. С другой стороны на фото видно, что места под проклевывание восьмерки и того меньше. Боюсь короче что восьмерки заставят треснуть уже сильно скученные зубы. бля надо бы кариес пролечить, а то на и восьмерке уже походу появился
Аноним 10/05/25 Суб 21:43:50 1621215 356
Какой выбрать ополаскиватель, если кровоточат десны?
Аноним 10/05/25 Суб 21:57:17 1621219 357
>>1620797
>В перди нет нормальных спецов и все едут в ДС
А что там звезды с неба нужно уметь хватать чтобы подтягивать какие-то дуги на брекетах? Меня спец из пердей избавил от пиздеца на подбородке, что в ДС мне сделали бы лучше? В ДС просто все дороже, а стоматология самая коммерческая отрасль медицины
>>1620807
Ты что-то путаешь
Аноним 11/05/25 Вск 02:19:44 1621237 358
IMG5739.JPG 76Кб, 780x439
780x439
IMG5740.JPG 135Кб, 1043x587
1043x587
IMG5741.JPG 195Кб, 1339x753
1339x753
Аноны, насколько всё плохо? Мне кажется дёсна уже нихуёво так опустились у меня. Может есть какое то разделение по стадиям чтоб примерно понимать? Последние 3 года не ухаживаю за зубами вообще, чищу пару раз в месяц.
Аноним 11/05/25 Вск 08:46:23 1621247 359
Сап. Был кариес у стенки нижней семерки, сначала откололся небольшой кусок, спустя года полтора откололась еще часть и в итоге низ чуть ниже десны. Зубу пизда? Бюджету на лечение пизда?
Аноним 11/05/25 Вск 12:09:25 1621259 360
>>1621147
зачем их спасать? удали, делов нак пол часа.
Аноним 11/05/25 Вск 12:11:28 1621260 361
>>1621247
10-15 кариес пооечить, коронка 30-40
Аноним 11/05/25 Вск 15:41:33 1621291 362
>>1621260
>коронка 30-40
А есть какой-то гайд как выбирать клинику где поставят коронку?
Аноним 11/05/25 Вск 15:47:46 1621294 363
>>1621259
Ты видел что с челюстями стариков потерявших все зубы становится? Тут будет то же самое, только в милипиздрической степени, и тем не менее, у меня и так нижняя челюсть маловата, борюсь за каждый миллиметр.

Вообще думаю, а если поставить брекеты сразу после удаления восьмерок, можно ли будет пока на местах быхавших восьмерок еще не убыла костная ткань туда сместить остальные зубы?

>удали, делов нак пол часа.
Сомневаюсь. Там могут быть сложные случаи, типа не подобраться, надо дробить зуб, еще осколок зуба какой-нибудь оставят и пизда.
Аноним 12/05/25 Пнд 03:59:38 1621415 364
>>1620851
Чья угодно проблема. Я лет в 5 перегородку сломал, дыхание пиздец, врачи-палачи родителям сказали мы лечить не будем пусть вырастет, там операцию сделаем. В итоге я с открытым прикусом.
Аноним 12/05/25 Пнд 08:55:28 1621428 365
>>1621294
>а если поставить брекеты сразу после удаления восьмерок, можно ли будет пока на местах быхавших восьмерок еще не убыла костная ткань туда сместить остальные зубы?
Теоретически можно, но сложно, моляры двигаются медленно, лет за 6 справишься, нужно будет поставить опорный минивинт за последним зубом перпендикулярно альвеолярному отростку с щечной стороны, за него зацепить чейн и тащить по одному зубу. Винт конечно будет дербанить щеку только так, причем никакиме воски на нем держаться не будут, ну разве что шляпку покрыть жидкотекучкой.
>Ты видел что с челюстями стариков потерявших все зубы становится?
У стариков альвеолярный отросток уходит повсеместно, а не только на восьмерках. Никак это не отразиться на эстетике, единственное что если у тебя зубной ряд не в компресии могут тремы появиться, но это маловероятна.
>Там могут быть сложные случаи, типа не подобраться, надо дробить зуб, еще осколок зуба какой-нибудь оставят и пизда.
если зуб нужно будет распилить +15-20 минут, у тебя тревожное расстройство, чел, тут не к стоматологу надо.
Аноним 12/05/25 Пнд 08:58:15 1621429 366
>>1621291
коронки как правило делает аутсорс лаборатория по сканам/слепкам клиники. Тут посоветовать что-то сложно, как и в любом деле сарафан, отзывы вот это все.
Аноним 12/05/25 Пнд 09:00:29 1621430 367
>>1621291
попробуй поискать несетевую клинику, где главврач/владелец сам стоматолог, и не кабинет на два кресла на первом этаже жилого дома. Обычно там парятся за репутацию и всяких проходимцев не берут.
Аноним 12/05/25 Пнд 09:01:59 1621431 368
>>1621247
не факт что пизда, в крайнем случае поставят культевую вкладку, на нее коронку.
Аноним 12/05/25 Пнд 10:15:46 1621442 369
>>1602618 (OP)
Аноны, подскажите, если пульпа медленно подыхает, есть шанс довести корень зуба до состояния, когда только удаление и имплант поможет? Врачи все еще советуют ждать, потому что на снимках ничего не видят, ну и зуб не сильно беспокоит. Все началось с того, что врач при лечении кариеса наткнулся на нерв. Не могу никак понять, стоит ли спешить с коронкой.
Аноним 12/05/25 Пнд 15:48:57 1621492 370
image 343Кб, 750x345
750x345
>>1621428
>моляры двигаются медленно, лет за 6 справишься
Блять, серьезно? Тогда очевидно надо пилить челюгу типа BSSO или пикрил

>Никак это не отразиться на эстетике
Ок, другой момент: у меня относительно ровно вылезли восьмерки сверху. Если не будет восьмерок снизу, то со временем из-за нехватки механического воздействия от смыкания восьмерок при жевании, я так понимаю, верхние станут быстро разваливаться, не от кариеса, а больше по десневым причинам наверное. Тогда получается и верхние удалить надо. Рот ебал 4 зуба удалять

>если зуб нужно будет распилить +15-20 минут, у тебя тревожное расстройство, чел, тут не к стоматологу надо.
Нет, я просто настрадался уже с медициной и хирургией в том числе, у вас на словах все просто и безопасно, а на деле далеко не всегда.
Аноним 12/05/25 Пнд 16:05:17 1621495 371
>>1621492
>Блять, серьезно? Тогда очевидно надо пилить челюгу типа BSSO или пикрил
Что бы что? У тебя микрогнатия? несовпадение верхних и нижних зубов или протрузия? Или зубы не умещаются в ряд?
>BSSO
BSSO она же двухсторонняя межкортикальная остеотомия это вообще другое. Это запил за восьмерками что бы выдвинуть вперед или задвинуть назад нижнюю челюсть. ДЕлают при 2 и 3 скелетных классах.
>Тогда получается и верхние удалить надо
Все верно, спешить не обязательно, но проще дергать за раз два зуба верх и низ. Причем верхнии идут вообще легко из заживают быстро.
>я просто настрадался уже с медициной и хирургией в том числе
да все эти истории они скорее страшные, чем реально мучительные и болезненные. Готовишься к пиздецу, а потом стараешься не уснуть в кресле..
Аноним 12/05/25 Пнд 16:36:27 1621498 372
Парни, посоветуйте ёршики, чтоб между зубов чистить пространство.
Нить цепляет ебучие пломбы, боюсь сорвать
Аноним 12/05/25 Пнд 18:42:00 1621543 373
image 1773Кб, 3021x3089
3021x3089
>>1621495
>Что бы что? У тебя микрогнатия? Или зубы не умещаются в ряд?
Ну так да, немного недоразвитая нижняя челюсть, в т.ч из-за чего зубы не вмещаются в ряд, жуткая скученность в передних 4 зубах и тем более нет места восьмеркам >>1621147
BSSO по идее создает свободное место между молярами (6 и 7). Правда погоди, наверное та жу проблема остается, что моляры двигать годами надо, то есть 6-ку к 7-ке в этом случае

Я хз что с этим пиздецом делать. Вот это >>1621492 + лефорт для выдвижения и поднятия максиллы как минимум, помимо брекетов. Кстати что-то из этого по квоте реально сделать еще?
Аноним 13/05/25 Втр 07:40:17 1621651 374
images (6).jpeg 6Кб, 235x214
235x214
>>1621543
>SSO по идее создает свободное место между молярами (6 и 7)
не создаёт, там никоим образом не затрагивается альвеолярный отросток и зубы. тебе нужно расширение нижней челюсти
Аноним 13/05/25 Втр 08:41:58 1621654 375
Аноним 14/05/25 Срд 02:24:52 1621806 376
image 783Кб, 2745x1396
2745x1396
>>1621651
Бля, реально, я спутал с редкой операцией IMDO, вот там как я сказал, см пикрил. Значит мне как тут точно надо >>1621492

>>1621654
Лучше сдохнуть
Аноним 14/05/25 Срд 07:25:14 1621833 377
>>1621806
то что на пике с дистрактором , не видел в живую таких случаев, крутилка дистрактора возможно" на улицу" выводится, придется с пластырем ходитьь.
Аноним 25/05/25 Вск 05:28:25 1623932 378
1000009438.jpg 141Кб, 1080x556
1080x556
>>1618616
Я оп-хуй этого поста. В продолжение своих мыслей хочу показать пикрил. Подобные мысли у меня тоже бывали и есть, особенно сейчас, после недавней чистки зубного камня. Неизвестно какие лайфхаки могли применяться в процессе для удержания клиентов.

Считаю необходимым, придумать метод видеофиксации любых стоматологических манипулций внутри ротовой полости.

Особенно удивило число клиентуры местной клиники. Когда я пришёл на чистку, меня попросили завести амбулаторную карту - её номер был около 500. Если я правильно понял, выходит, у клиники на балансе около 500 людей, которых надо доить всеми силами и методами.

Страшно все это.
Аноним 25/05/25 Вск 10:06:30 1623952 379
Почему такая большая разница в цене брекетов? Где-то за 50к ставят, а где то за 27. Аидел вообще смешные цены типа 14к. Как выбрать клинику для установки брекетов?
Аноним 25/05/25 Вск 18:24:02 1624035 380
>>1623952
Это белорусские рубли или что? Почему я постоянно слышу как люди ставят брекеты за 300-500к? (видимо за все от начала до конца)
Аноним 25/05/25 Вск 19:55:57 1624049 381
>>1623932
Испытывать лет желудка не рака не откиснуть снизу чтобы от и слева через болей например.
Аноним 25/05/25 Вск 22:41:35 1624066 382
>>1621430
Ну я вот думаю ставить коронку там же, где лечу, а она находится буквально первый этаж жилого дома, лол. Правда, клиника семейная, с главврачом ортопедом на которого тьма хуевых отзывов в отличие от дочки-терапевта, кек. А в чем минус таких клиник? Типа мИкРоСКоПа не будет потому что мелкая?
Аноним 25/05/25 Вск 23:29:35 1624069 383
>>1624049
Что за бот в me орудует последнее время? Хуйню шизофазическую пишет
Аноним 26/05/25 Пнд 00:01:43 1624073 384
Это пизда... Удалили нижнюю восьмерку неделю назад - до сих пор болит половина лица, постоянно туман в голове с мигренью, из лунки сочится кровь с гноем. На промывания в стоматологию хожу через день, пью антибиотики - всё похую, мне как будто не становится менее больно. Только отек спал. Почему так? Это нормально вообще? Мой стоматолог долбоёб что ничего не делает кроме просто промываний?
где у вас тут стоматология тред вообще. На нулевой сразу 2
Аноним 26/05/25 Пнд 08:32:30 1624087 385
>>1623952
за 27 это лигатурные брекеты ноунейм, видимо сама цена брекетов, потом каждую месяц еще будешь бащлять по 10-15к за активации. за 50 это наверно какие-то безлигатурные и тоже будешь башлять 10-15к но чуть пореже. Цена под ключ не в спб и мск примерно 250-300к только на брекеты.
Аноним 26/05/25 Пнд 08:36:16 1624089 386
>>1624066
врачи так себе, потому что хорошие не пойдут в такой кабинет работать за гроши. Если только сам владелец будет лечить, но это тоже такое себе. Экономия на материалах, коффердамах и оборудовании. И да микроскоп это не роскошь, а необходимый инструмент, даже при лечении кариеса.
Аноним 26/05/25 Пнд 08:36:42 1624090 387
>>1624066
врачи так себе, потому что хорошие не пойдут в такой кабинет работать за гроши. Если только сам владелец будет лечить, но это тоже такое себе. Экономия на материалах, коффердамах и оборудовании. И да микроскоп это не роскошь, а необходимый инструмент, даже при лечении кариеса.
Аноним 26/05/25 Пнд 08:38:26 1624092 388
>>1624073
выпал сгусток похоже, начался альвеолит. Промывай, скоро пройдет.
Аноним 26/05/25 Пнд 13:32:24 1624121 389
>>1624090
Там вроде только двое работают, отец и дочь.
Гуглил все когда посещал в прошлый раз, там были норм и материалы, и технологии, единственное, чего в той клинике не было, это микроскопа. А в другую идти как-то опасаюсь, везде ж наебалово на наебалове и наебаловом погоняет, не факт что не разведут на еще большую гору бабла, чем тут (сравнительно бюджетно, в 22 лечил четверку с отвалившейся стенкой за 15). Плюс нравится подход терапевта у которой лечусь. Алсо ее прогноз на мои зубы по кт которое делал в прошлый раз несколько лет назад подтвердился, сначала у одного пульпитного зуба стенка отвалилась, потом у другого. Жду и готовлюсь че произойдет с оставшимися 5 или 6 пульпитчиками.
Аноним 26/05/25 Пнд 16:50:39 1624162 390
>>1624121
кариес в целом -то можно полечить. Но каналы ковырять я бы не стал. По своему опыту, горя хапнул после лечения каналов на районе. Пришлось лечить периодонтит за дорого ибо по дешману никто не брался и говорили что надо удалять, а на одном зубе после лечения не дешевого еще и резекцию корня делать, так как гранулема не регрессировала.
Аноним 26/05/25 Пнд 18:21:41 1624170 391
аноны, как там по пастам. пользуюсь с хлоридом стронция, без фтора. вообще, пасты без фтора - это зогщина или нет?
Аноним 27/05/25 Втр 00:47:51 1624229 392
>>1624170
хуй знает я чистил без фтора всю жизнь вечером и утром в итоге сегодня 10 кариесов насчитали
Аноним 27/05/25 Втр 06:02:03 1624237 393
>>1624170
>пасты без фтора - это зогщина или нет?
Это база. Фтор не является необходимым для человека + токсичен
На черепах датированных до 10-12к до н.э нет кариеса вообще, и это без зубных паст и щеток в принципе, а сейчас у детей, у подростков, у юношей кариес нескольких зубов норма, даже если они чистят зубы. Верить что фтор решит проблему это пиздец. Проблема в том, что такое кариес в принципе - это разрушение зубной эмали (и далее) патогенными бактериями, кормящимися углеводами. Думай
Аноним 27/05/25 Втр 21:10:26 1624363 394
>>1624162
>Но каналы ковырять я бы не стал
Хуй знает, у них же пищалка эта есть. Да и до хайпа на микроскопы как-то лечили так что все было ок. Так что думаю и без него можно нормально вылечить зуб если врач не рукожопый.
Алсо сходил на первый прием, отдал десятку за сложный зуб, там на КТ кариес был почти до уровня кости. Удалось восстановить.
Аноним 28/05/25 Срд 00:32:27 1624398 395
>>1624170
>пасты без фтора - это зогщина или нет
Где-то месяц чистил без фтора, зато с ксилитом и кучей минералов - появились белые пятна и на них дикая чувствительность.
Вернулся на сенсодин и и пятна быстро реминерализовались и ушла чувствительность буквально за 2-3 дня - это я у стоматолога подтвердил, даже двух.
Ебал я пасты без фтора.
Аноним 28/05/25 Срд 01:09:10 1624401 396
>>1624237
>до 10-12к
А возраст примерный этих? Чо там танзанийскому и грузинскому чиаэку с возрастом млн лет?
>паст и щеток в принципе
Ещё скожи, что пломб не делали и не сверлили жубы с помощью кремниевого сверла, не исключаю, что с местными обезболами эндемиками. А ещё воск не жевали со смолой, которая очищали зубы на подобии гуммиарабика и с антисептикой и обильным слюноотделением.
>нескольких зубов нор
Если жрёт сладкую рафинированную мочу с булками. Если родители пиздят регулярно ремнём, заставляют чистить зубы, а не на ночь нибуду, после еды нмбуду, не кормят отравой, заставляют по врачам ходить, заставляют молочку с кисломолочкой потреблять и без шизодиет, то с зубами проблем нет.
>кормящимися угл
И какой вывод ты из этого делаешь?
Аноним 28/05/25 Срд 07:19:28 1624410 397
>>1624401
>А возраст примерный этих?
Разный, от детей до 60 лвл, кариес редкость

>Ещё скожи, что пломб не делали и не сверлили жубы с помощью кремниевого сверла, не исключаю, что с местными обезболами эндемиками. А ещё воск не жевали со смолой, которая очищали зубы на подобии гуммиарабика и с антисептикой и обильным слюноотделением.
И палеостоматология и жевание смол были не повсеместны.

>Если жрёт сладкую рафинированную мочу с булками
Почти все жрут, в этом проблема. а в принципе много углеводов жрут вообще все.

>И какой вывод ты из этого делаешь?
Очевидно, сокращать потребление углеводов насколько возможно. Не только ради зубов, вообще ради здоровья. Углеводы человеку не нужны ни для чего другого кроме как готовиться (обычно осенью к зиме) к голодовке и запасти жира. Вот блять литералли на этом все.
Аноним 28/05/25 Срд 11:43:20 1624426 398
>>1624410
>Разный
Пруфов бы с фото, что все зубы на месте и без рытвин.
>не повсеместны
С чего это? Ещё скажи, что палочки от антисептических деревьев и растений не пользовали для чистки зубов.
>Почти все
Это если не пиздить исключительно в образовательных целях.
>принципе много
И что? Пролы десятками тысяч лет едят зерна, бобовые всё это в готовом виде и не страдали болезнями знати, которая ела бриоши и не только.
>не нужны ни для чего
А угли в крови, а гипогликемия, а сахар в молочном для тех же зубов?
>литералли на этом все
Оно было с того поста понятно о намёке шизодиету и каким-то черепам хэ его зэ откуда, какого возраста, какого вида, какого количества дентисов, что стало с остальными дентисами, может их вырвали из-за болей, но зато чодкий и дерзкий отрезок ориентировочный отрезок, офк, времени.
Аноним 28/05/25 Срд 18:04:35 1624500 399
photo2025-04-07[...].jpg 144Кб, 1278x861
1278x861
Завтра второй поход к стоматологу. Уже к другому, потому что первый, кого посетил около полутора месяца назад, оказался дебилом, не заметившим очевидных проблем - таких как зубной камень, заприметить который, простым самообследованием у зеркала, смог даже я.
Четверть века меня, аутиста и интроверта, который ни с кем не общается, обходила стороной информация о необходимости регулярных чисток. Кошмар, блин. И что в результате? А то, что несколько часов назад я, елозя языком по внутренней стороне зубов, обнаружил, что в нижнем переднем ряду, слева, настолько открылся, из-за куда-то съебавших десен, зуб, что я чувствую его БАЗУ, которая немного острая и негладкая - в отличие от всего остального.
Думал у. себя, на протяжении минут десяти после злосчастной находки, потому что мне было лень мыться и куда-то идти, но потом я передумал, обрел энергию, и вот уже сижу чистенький - и с записью в куда надо.
Exposed Tooth Root это. Очередное говно, которое не лечится и будет портить мне жизнь.
Аноним 28/05/25 Срд 21:02:02 1624517 400
image.png 188Кб, 366x755
366x755
>>1624500
Во, об эту хрень, об эту негладкую перемычку между желтым и белым, я, видимо, начал постоянно спотыкаться своим языком.
Скажите, это навсегда, ведь так? Понятное дело, что десны никуда не вернутся - но, может, выйдет подточить, чтобы, в плане осязательном, было не так мерзко? Ведь это нижний боковой резец, и язык просто не может по нему не елозить...
Чего? Не слышу!? Либо удаление, либо терпи? Я так и знал, ссссуууукаАААААААААААаа!!!!!!!!!!
Аноним 29/05/25 Чтв 08:10:18 1624552 401
>>1624500
>>1624517
Без фото зуба панику тут развел. Может ты по зубному камню у основания зуба и елозишь, пиздй на чистку, товарищ аутист
Аноним 29/05/25 Чтв 16:56:01 1624622 402
>>1624500
>>1624517
Окей, мне сделали чистку, и это, вроде бы, прошло. Эта стоматолог оказалась нормальной и сделала все, как надо. Ну, мне так кажется. Не просто там пошебуршала, чего боялся, а полноценные 40 минут - ультразвук, какой-то там порошок, продувки, полировка, пидорение между зубов - в результате которых камня в зеркале более не наблюдаю.
Можно ещё пожить пару понедельничков, так что.
Запрашиваю помощь по новому вопросу : как понять, что тебя не наебли с диагностикой кариеса? Мне вот, на консультации, вместе с которой шла чистка, сказали, и сам процесс обследования выглядел много компетентнее, чем у предыдущего олуха, что на одном хуевая пломба + два зуба требуют лечения, и я даже записался на месяц вперед, но таким человеком являюсь, что не могу не подозревать - потому что знаем же мы их брата, сцукк!
Аноним 30/05/25 Птн 00:08:27 1624704 403
Ношу элайнеры уже почти месяц, перед этим в нижнюю десну вкрутили минивинты с двух сторона, которые на двух резиночках тянут зубы. С одного их них слетела резинка, насколько срочно надо менять? 3-4 дня хотя бы ждёт?
Аноним 31/05/25 Суб 08:49:51 1624972 404
>>1624622
>как понять, что тебя не наебли с диагностикой кариеса?
Ну сходи в пикассо. Там есть услуга КТ + аналитика по кариесу и прочим проблемам. Стоит копейки
Аноним 03/06/25 Втр 09:48:18 1625423 405
Сходил полечить зуб впервые за долгое время и охуел с цены, 25к (не ДС) с пломбированием двух каналов. Это нормально, или развод? Врач сказал, что нужно другие зубы лечить, много кариеса. Какой примерно порядок цен на один зуб? Есть ли смысл простой кариес без всяких микроскопов делать?
Аноним 03/06/25 Втр 16:21:16 1625470 406
>>1625423
>Это нормально, или развод?
Обычная цена. Пломба 10-15 стоит и каналы столько же.
>Есть ли смысл простой кариес без всяких микроскопов делать?
Есть, во первых это снижает количество препарируемого дентина, во-вторых, снижает вероятность оставить кариозную ткань.
Аноним 05/06/25 Чтв 03:03:15 1625686 407
>>1625423
Для дс думаю норм, я в Ташкенте год назад за 3 канала и пломбу отдал где-то 130 баксов.
Аноним 05/06/25 Чтв 09:13:44 1625697 408
>>1625423
клиника где я лечусь в Казани
12 полечить кариес, 15 если зуб разрушен на 50%
и примерно столько же каналы. Ну и допы всяки, типа анкер поставить, штифт или временную пасту в канал положить тыщи по 3.
Аноним 05/06/25 Чтв 17:47:49 1625792 409
Это теперь стоматред?

Вырвал верхние зубы мудрости, все норм заживает. Когда можно возобновлять прием BLISS? Там стрептококки, они не приведут к заражению, при наличии заживающей раны?
Аноним 05/06/25 Чтв 20:05:54 1625816 410
>>1625792
Ну естественно дождись полного заживания, прям полного. Не тупи
Аноним 05/06/25 Чтв 20:23:31 1625819 411
Аноним 05/06/25 Чтв 22:42:56 1625838 412
>>1625819
Их нет, загоняй через кровоток бактерии прямо в мозг, долбоеб
Аноним 06/06/25 Птн 14:07:41 1625920 413
>>1625838
Понял, иди готовься, скоро в школу
Аноним 07/06/25 Суб 00:59:03 1626074 414
>>1625920
Короче, распидорь еще сильнее свежую рану во рту, и наноси туда как можно чаще различные пробиотики, включая блис. Чтобы чудесные бактерии точно взяли верх, принимай иммуносупрессанты. Таким образом, надеюсь ты сдохнешь от бактериального энцефалита, хотя ты микроцефал, может там нечему заражаться особо. Ну в любом случае, мамке рака пизды желаю)
Аноним 07/06/25 Суб 14:30:16 1626117 415
Аноним 07/06/25 Суб 15:50:21 1626131 416
>>1625792
Да, можно принимать (можно было и не прекращать), в bliss патогенов нет. По крайней мере в k12/m18. Я бы сказал, что они за счет конкуренции с патогенами даже снизят риск заражения, но это правдоподобная гипотеза, исследований не накину.
Аноним 07/06/25 Суб 18:33:51 1626163 417
image.png 660Кб, 604x604
604x604
Аноним 07/06/25 Суб 18:54:32 1626164 418
>>1626117
Чел, уже нассано тут >>"в твой рот, маму твою тоже задел, не нарочно... бедная аж оторопела, но пока золотые струйки бежали по зрелой, несколько обвисшей груди, легкая искрящая ухмылка озарила её лицо. Тысячи будоражащих сердце и греющих душу воспоминаний в миг охватили уже отнюдь не молодую, но все ещё вожделенную, женщину..." — фантазия юного бедолаги резко обрывается; насквозь промокший, уже совсем один, недоумевает — "Что это было? Где матушка? Неужто мой больной разум всё это породил? Но моча никакая не придуманная, а самая настоящая, мерзко прижимает пропитанную ею одежду к моему рыхлому телу... А может быть, я тайно для себя всегда об этом мечтал?"
Аноним 07/06/25 Суб 18:59:23 1626165 419
>>1626131
>>1626163
>в bliss патогенов нет
Прикинь, почти все микроорганизмы условно патогенны. Все от контекста зависит. Например, какие-нибудь бифидобактерии находясь в кишечнике - дружественны, но только до той поры, пока они, из-за нарушенного слизистого слоя кишечника не попадают в кровоток и оказываются где не должны быть. То же и с пастью и стрептококками блисс, через открытую рану во рту они могут попасть через кровоток даже к мозгу, особенно если ГЭБ по какой-то причине ослаблен. Надо объяснять какие могут быть последствия?
Аноним 07/06/25 Суб 19:00:32 1626166 420
Аноним 08/06/25 Вск 12:09:49 1626266 421
Как сыч к стоматологу ходил
Ну короч, с апреля чето пропал, чето вот вспомнил и записался. Прихожу - а записи нема, мою отменили, только зря отпрашивался по работе
Ну лан, записался еще раз.... И сука перепутал день, записан был на четверг, а думал что на пятницу. Даже отпросился на это число и опять проебал. Ну хуль че, теперь только через может недели 2 смогу, так как следующая короткая, может и не запишут так быстро, а потом челик один в отпуск и я как бы частично за него ебашу
Аноним 12/06/25 Чтв 10:51:04 1626833 422
.mp4 1238Кб, 320x320, 00:01:14
320x320
8 лет ходил в одну стоматологию за углом (которую мамка посоветовала). Короче Рога и Копыта. Мне там так налечили зубы, что я лишился 2 зубов, а на все остальные пришлось ставить коронки.

При попытке получить выписку из медкниги этой клинике - тётка сперва по телефону потерялась и бросила трубку. Когда пришёл лично - мне дали неправильный бланк для заполнения формы (запроса). Пришлось потом еще раз через неделю переписывать. Главврач надменный тип с постоянной улыбочкой, который разговаривает с тобой как с пациентом психбольницы. Все время докапывался зачем мне нужна выписка.

В полученной выписке не было написано о удалении зубов, которые мне проводили. А мне удаляли маляр и кучу зубов мудрости. К сожалению по строкам давности всем зубам уже больше 3 лет. Там только один зуб по срокам подходит чтобы в суд обратиться. Но там лишь кариес.

Короче не будьте как я. Всегда берите чеки, смотрите чтобы вам выдавали акты о выполненной работе.
А еще не ходите к тем, у кого ассистенты плохо разговаривают по-русски, а оборудование барахлит прямо во время операций.

Сейчас стал ходит в другую клинику. Уже 2/3 зубов поставили пластиковые коронки для коррекции прикуса.
У меня просто зубы в таком ужасном состоянии были, что они кусками от ирригатора сыпались. Я уж молчу о некачественном лечении зубных каналов, которых были отлично видно нал любом КТ снимке.

Стоматология в РФ это настоящая рулетка. Там полным полно ублюдков. Причём я говорю даже не о их моральных качествах, а о их компетенциях.
Аноним 12/06/25 Чтв 10:54:56 1626834 423
>>1625423
Ты под развод попал. Если там у тебя глубокий кариес был с лечением каналов - тебе надо было уже коронки ставить. Пломбы - это очень временная хуита. По тем деньгам сколько ты заплатил в Краснодаре тебе могу циркониевую коронку поставить.
Аноним 12/06/25 Чтв 13:55:24 1626854 424
>>1626833
>Всегда берите чеки, смотрите чтобы вам выдавали акты о выполненной работе.
В чеке написано максимально абстрактно "лечение твердых тканей зуба". Акты о выполненной работе? Что это? Ты думаешь тебе на каждый вылеченный зуб дадут распечатку где начиная от кофердама и заканчивая материалом использованного для пломбы укажут?
Аноним 12/06/25 Чтв 15:49:30 1626874 425
.jpg 111Кб, 1440x1440
1440x1440
>>1626854
Я в курсе. Жаль что понял это только после того как все зубы потерял.

Не знаю есть ли даже смысл тратить свои нервы и время чтобы настрочить жалобу в роспотребнадзор. Поскольку в этой стране вор на воре и погоняет. В худшем для них случае взятку им небольшую заплатят и те отвалят.

Этой на минуточку Краснодар. Тут только связи и крыша решает.

Жаль не родился чеченом. Там бы этот русачок-главрач уже бы в коленях валялся. Но у нас как говорится "Мы срусские друг друга не обманываем".
Аноним 13/06/25 Птн 14:25:38 1627016 426
>>1626833
Я вообще не понимаю, какая у пациентов нынче может быть защита от некачественного лечения, сознательного навязывания лишних услуг, порчи здоровья пациента прибыли ради. Вот даже если челик заразится гепатитом в стоматологии, как он в суде это может доказать? Разве что проверяющие органы мб бдят, а так удивительно, что врачи еще не пошли в разнос.
Аноним 16/07/25 Срд 19:21:26 1632078 427
Как вообще врачей выбирать в ДС(и не только), на что смотреть? У меня чет зуб как то странно выглядит один. Спросил у знакомого сколько делал пломбу на зуб, сказал 25к, я аж ахуел(я зубы ласт раз делал лет 7 назад). Я чет ебал этим отзывам верить, одни говорят что у них зубы выпали все, другие что врач-чудо зубы отрастил все. Кароче как фактически проверять инфу по стомотологам? На что обращать внимание. Сомневаюсь что с зубом чет серьзёное, пушо он не болит ни на что не реагирует, я просто не хочу ждать пока он сгниет. Базару ноль бабок отдать придется, просто не хочу чтобы меня прогрели или чето не долечили.
Аноним 16/07/25 Срд 21:17:10 1632091 428
>>1632078
Поддвачну вопрос.
Если гуглить рейтинги то всплывают всякие prodoctorov с явно ботовыми отзывами
Аноним 17/07/25 Чтв 09:17:23 1632141 429
>>1632078
Выбираю по рейтингу клиники на гугл и яндекс картах, в отзывах ищу самого популярного врача. Иду к нему.
Аноним 17/07/25 Чтв 09:56:18 1632146 430
>>1632141
Почему не продокторов? И где найти рейтинг врачей в яндекс.картах?
Аноним 17/07/25 Чтв 10:08:26 1632148 431
>>1632146
> где найти рейтинг врачей в яндекс.картах?
Нет никакого рейтинга врачей.
Аноним 25/08/25 Пнд 03:09:43 1637529 432
Кто-нибудь фиксил ноющий здоровый зуб? После удаления восьмерки сверху через несколько недель повысилась чувствительность на семерке, иногда даже перекидывается на шестой. Ходил к нескольким стоматологам после этого - все говорят, что никаких патологий нет.
Уезжал тут на несколько недель в поход и совсем забыл про эту боль, но стоило только вернуться в город -все началось опять. Причин подозреваю множество, от какого-нибудь воспаления в пазухах, до пережатой челюсти из-за сидячего образа жизни, но вдруг у кого-нибудь был похожий опыт?
Аноним 12/12/25 Птн 09:02:36 1652031 433
>>1637529
Ты как-то решил эту проблему? А то я уже почти два года хожу и мучаюсь, врачи говорят все норм по рентгену
Аноним 12/12/25 Птн 10:49:44 1652033 434
>>1652031
В каком месте. Что болит. Когда болит. При каких обстоятельствах.
После чего началось. Какие манипуляции у стоматолога до этого делали.
Заебали по одному предложению писать, тут экстрасенсов нет.
Аноним 12/12/25 Птн 13:22:42 1652056 435
>>1652033
Болит зуб 2 года, пришел к врачу, говорит оголилась шейка зуба, поставил пломбу. Зуб стал болеть еще больше, до этого болел во врем приема холодного и сладкого, после пломбы начал болеть сам по себе. Врач сказал, что задел нерв, его пришлось удалить. После удаления нерва зуб не беспокоил месяца 3, потом начал ныть сам по себе. Пришел к другому врачу, он сказал, что 3 мм канала до конца не заделаны, заделал мне, но прошло недели 3, а зуб продолжает болеть. Проблема в том, что такая же боль появилась на зубе снизу, чищу зубы и как-то не так провожу щеткой и пронзает боль. До этого мне врач осмотрел все зубы и визуально на них не было кариеса. Я уже боюсь даже думать о лечении и уж точно не буду заделывать его пломбой. Но я не из Москвы и у нас пластику десен не делают.
Аноним 12/12/25 Птн 16:17:13 1652072 436
>>1652056

>Пришел к другому врачу, он сказал, что 3 мм канала до конца не заделаны, заделал мне,

Лекарство в каналы закладывал? Лечение периодонтита по стандартам должно проводиться в 2 этапа.

Кароче тебе 2 раза лечили неправильно зуб. Будь морально готов его удалять.
Но если кто-то возьмется его перелечить в третий раз, лучше перелечить.
Только иди сразу к ХОРОШЕМУ специалисту, лучше сразу к эндодонтисту, и кто работает с микроскопом. Лечение будет стоить существенно дороже.

И надо сделать КЛКТ - диагностическая ценность намного выше, нежели у обычного снимка.
Аноним 12/12/25 Птн 17:08:20 1652074 437
>>1652072
Ну да, 2 раза, между ними было около 10 дней, ходил с лекарством
Аноним 12/12/25 Птн 18:11:08 1652078 438
>>1652074
Воспаление не ушло.
Может в зубе скрытые каналы есть, их не прошли. Если КЛКТ ты не делал, то на обычном снимке их и не увидишь.
КЛКТ делай, там видно будет.
Аноним 12/12/25 Птн 20:50:59 1652100 439
1754617825430536.jpg 556Кб, 3000x4000
3000x4000
11к за капу от бруксизма, норм?
Что-то ахуел с куска резины, конечно
Аноним 14/12/25 Вск 16:13:55 1652264 440
>>1652078
кт это штука, которая вертится вокруг головы? Если да, то мне делали его и сказали, что все ок, но есть какая-то остаточная инфекция. Сказали терпеть 2-3 месяца и если не пройдет, то перелечивать. Не прошло, я перелечил, но оно все еще не прошло. И я кстати чувствую этим зубом и холод, и горячее, и когда до десны над ним дотрагиваюсь, то ощущаю боль
Аноним 16/12/25 Втр 09:29:06 1652370 441
>>1652072
> иди сразу к ХОРОШЕМУ специалисту
Как найти хорошего специалиста?
В моих пердях есть пару клиник с большим количеством отзывов на продокторов. Зашёл посмотреть, что там за специалисты, а там какие-то прошлогодние студенты с опытом от одного года до трёх лет и пару тёток с опытом 20+ лет.
Сижу думаю к кому идти.

Мимо с такой же проблемой. Только ещё не ходил по врачам, терплю эту боль. Вернее ходил, делали снимки, сказали всё тут нормально и лечить тут нечего. Но при этом постоянная боль и реакция на холодное.
Аноним 16/12/25 Втр 13:45:49 1652393 442
стоматология это такой наёб я ходил с больным зубом, мне вообще другой зуб запломбировали, а потом под пломбой ещё и кариес появился. пидорасы. стоматологов надо вешать на столбах и сжигать в ямах
Аноним 17/12/25 Срд 18:17:24 1652497 443
Аноним 17/12/25 Срд 19:40:19 1652500 444
Почему зуб леченый, а постукивать по нему больно?
Аноним 18/12/25 Чтв 14:12:48 1652551 445
>>1652500
Задай этот вопрос стоматологу который лечил. Болеть не должно.
Аноним 19/12/25 Птн 11:11:30 1652632 446
>>1652500
ты зачем по нему стучишь, еблан?
Аноним 20/12/25 Суб 01:59:20 1652701 447
Пиздос, что с ценами в ДС на простую профчисточку?
Буквально весной делал за 5к, и это вторая клиника, куда я ходил с прошлого года, потому что в той, где чистил до этого, вместо 5к стало 7к полтора года назад, ну я и решил сэкономить 2к, в принципе разницы не почувствовал. Сейчас, когда говняк всякий накопился, особенно на нижней челюсти (у меня скученность + некоторая дистопия обеих 2-шек), решил записаться в эту же самую клинику на эту же самую чистку, зашёл на сайт, и тут на те, 9.5к профчистка, чивоблять???? Сказать, что я охуел от такого - в сотни раз преуменьшить моё реальное психоэмоциональное состояние в тот момент. Решил написать им в зелёном мессенджере, который не ловит на парковке, типа, сколько у вас сейчас стоит профчистка, ответ тот же самый, 9.5к. Ебануться! Ладно, думаю я, зайду на сайт первой своей стоматологии, сколько там сейчас стоит. Захожу. 14к. Ровно в 2 раза за полтора года подорожала. Пиздец. Ладно бы это какая-то мегасложная процедура была бы, или ладно бы доллар-евро скаканули бы в 2 раза с тех пор, что теперь всё оборудование в 2 раза дороже стало, но ведь нет, ничего такого не было. Ладно, едем дальше. Начинаю прочёсывать другие клиники поблизости, потом уже не очень поблизости, потом почти весь ДС прочесал, выставив фильтр 4.5, потом 4.0 звезды. Бляяяяя, как я понял, сейчас самое дешёвое предложение - это 8к, и это, что самое смешное, чисто эйрфлоу + удаление камня, и это со скидкой на первой посещение (без скидки типа 11к), то есть ни ультразвука, ни полировки, ничего, про фторирование я вообще молчу, его теперь, как я понимаю, вообще везде из комплексной чистки в отдельную процедуру вывели. Чисто воздухом с содовым раствором подуть и самый крупный камень счистить - извольте 8к. Без продувания промежутков между зубами и десной (карманов, да?), чтобы оттуда все эти залежи вычистить, без удаления вот этой белёсой херни, которая у меня на обоих дистопированных зубах образовалась с внешней стороны и бросается в глаза. О-ху-еть!

И вот что мне дальше с этим делать? Ну ладно бы 5.5к, ну даже 6к терпимо было бы отдать, потому что уже начинается неприятное ощущение на десне, не боль, но я думаю, знаете, что я имею в виду.

И ещё. Погуглил цены на брекеты, и мне как бы ещё в первой клинике говорили и подтверждали 3д-снимочком моих челюстей, что если ставить брекеты, то придётся сразу на обе челюсти, пусть сверху заметных смещений нет, как и скученности, в отличие от низа, но типа, если выравнивать низ, то потом коронки передних нижних зубов будут слегка попадать по верхним зубам, когда буду смыкать челюсти, и, соответственно, и те и другие будут из-за этого стачиваться понемногу, ну это я сейчас пересказываю слегка по-дилетантски, как я это понял, может быть я уже что-то подзабыл или напутал. Проблема в том, что брекеты в среднем уже от 200к на челюсть стоят, и это не керамика, ни кручёные-верчёные самолигирующие дэймоны, не лингвальные а мне их и не рекомендуют, потому что к моей ситуации они не подойдут а самые простенькие, с мануальной подкруткой раз в месяц, и причём это цены без установки-снятия, только с 12 месяцами подкрутки (а у меня там получится года на полтора, низ точно, верх может и побыстрее), итого, 400к чисто за самые простенькие брекеты + минимум 100к на поддержание после года + по 8к минимум отдавать раз в 2-3 месяца за профчистку, потому что если с брекетами её не делать, то через полтора года там куча кариесов может повылезать под дужками и под самими замочками. Пиздос, и как я на это всё копить должен с такими постоянно растущими ценами? Пока я 400к накоплю, они будут уже 800к стоить, наверное, если не лям, кредит я взять не могу, да мне и не дадут столько, в такие моменты задаёшься вообще вопросом, а нахуя я вообще родился таким криво-скученнозубым нищуком?
Аноним 20/12/25 Суб 02:10:18 1652702 448
fG8uwda5.jpg 35Кб, 519x491
519x491
>>1652031

Начальствовавшее тарифный
Аноним 24/02/26 Втр 17:29:29 1659838 449
Аноним 24/02/26 Втр 17:43:05 1659842 450
image.png 1213Кб, 1080x1325
1080x1325
Сап аноны, помогите пожалуйста, отвалился кусочек зуба, болит, жевать не могу :(
скорее всего нужно пломбировать, но вот куда идти? Почитал тред, одни аноны говорят что по ОМС лечить зубы не стоит, сделают ещё хуже, другие наоборот что в таких простых случаях не стоит так заморачиваться и идти в оверпрайснутую хачеклинику, третьи какую-то пикассо советуют, четвертые говорят искать студенческо-практикантсие клиники (чтобы не переплачивать). Знакомых стоматологов нет, даже спросить особо не у кого...

Алсо я хотел записаться в больничку к которой прикреплен (в ДС), но мне сказали "мы бесплатно не делаем кококо если вам надо по омс идите в ближайшую по месту жительства может там помогут!!" (имаджинировали ебала тех, кто живёт рядом с этой поликлиникой?) Прописан я в подмосковье, а фактически живу на другом краю под-ДСья в пердях в деревне.

Правильно сказал один анон - стоматология в РФ это та ещё рулетка, везде ж наебалово на наебалове и наебаловом погоняет.
Аноним 24/02/26 Втр 19:43:03 1659880 451
>>1659842

В детстве мама водила в гос-ку, потом пару раз возила по каким-то платным, в последний раз (больше двух лет назад) привезла в какую-то оверпрайс хачеклинику где нам навязали "чистку" за 20 мин, содрав 7к и поцарапав мне дёсна до крови, на что хачиха-врач сказала "ой это у вас дёсна слабые))0)", выписала какую-то мазь и на этом всё.

Особенно пугают такие случаи, когда, например, этим врачам-палачам удалось наебать даже мамину очень богатую подругу (но тоже ебанутую), которой удалили сразу 8(!) зубов и вставили импланты, хотя хороший врач всегда должен до последнего пытаться вылечить твои настоящие зубы, импланты - последний выход. Я конечно не знаю, насколько всё плохо было во рту у этой леди...
Настройки X
Ответить в тред X
15000
Добавить файл/ctrl-v
Стикеры X
Избранное / Топ тредов